PER1 Rabbit Polyclonal Antibody
cat.: HA500097
Product Type: Rabbit polyclonal IgG, primary antibodies
Species reactivity: Human, Mouse, Rat
Applications: WB, IHC-P, IF-Cell
Clonality: Polyclonal
Form: Liquid
Storage condition: Shipped at 4℃. Store at +4℃ short term (1-2 weeks). It is recommended to aliquot into single-use upon delivery. Store at -20℃ long term.
Storage buffer: PBS (pH7.4), 0.1% BSA, 40% Glycerol. Preservative: 0.05% Sodium Azide.
Concentration: 2ug/ul
Purification: Immunogen affinity purified.
Molecular weight: Predicted band size: 136 kDa.
Isotype: IgG
Immunogen: Synthetic peptide within human PER1 aa 291-340.
Positive control: PC-3 cell lysate, A549 cell lysate, Mouse colon tissue lysate, Rat testis tissue lysate, human brain tissue, human breast cancer tissue, human testis tissue, mouse testis tissue, rat testis tissue, PC-3.
Subcellular location: Nucleus, Cytoplasm.
Recommended Dilutions:
  WB
  IHC-P
  IF-Cell

1:3,000
1:200-1:1,000
1:200
Uniprot #: SwissProt: O15534 Human | O35973 Mouse | Q8CHI5 Rat
Alternative names: Circadian clock protein PERIOD 1 Circadian clock protein PERIOD1 Circadian pacemaker protein Rigui hPER 1 hPER hPER1 KIAA0482 MGC88021 PER 1 PER PER1 PER1 protein PER1_HUMAN Period 1 Period circadian protein homolog 1 Period drosophila homolog of Period homolog 1 Period1 RIGUI
Images
HA500097_1.jpg Fig1: Western blot analysis of PER1 on different lysates with Rabbit anti-PER1 antibody (HA500097) at 1/3,000 dilution.

Lane 1: PC-3 cell lysate (20 µg/Lane)
Lane 2: A549 cell lysate (20 µg/Lane)
Lane 3: Mouse colon tissue lysate (30 µg/Lane)
Lane 4: Rat testis tissue lysate (30 µg/Lane)

Predicted band size: 136 kDa
Observed band size: 136 kDa

Exposure time: 40 seconds; ECL: K1801;

4-20% SDS-PAGE gel.

Proteins were transferred to a PVDF membrane and blocked with 5% NFDM/TBST for 1 hour at room temperature. The primary antibody (HA500097) at 1/3,000 dilution was used in 5% BSA at 4℃ overnight. Goat Anti-Rabbit IgG - HRP Secondary Antibody (HA1001) at 1/50,000 dilution was used for 1 hour at room temperature.
HA500097_2.jpg Fig2: Immunohistochemical analysis of paraffin-embedded human brain tissue with Rabbit anti-PER1 antibody (HA500097) at 1/200 dilution.

The section was pre-treated using heat mediated antigen retrieval with Tris-EDTA buffer (pH 9.0) for 20 minutes. The tissues were blocked in 1% BSA for 20 minutes at room temperature, washed with ddH2O and PBS, and then probed with the primary antibody (HA500097) at 1/200 dilution for 1 hour at room temperature. The detection was performed using an HRP conjugated compact polymer system. DAB was used as the chromogen. Tissues were counterstained with hematoxylin and mounted with DPX.
HA500097_3.jpg Fig3: Immunohistochemical analysis of paraffin-embedded human breast cancer tissue with Rabbit anti-PER1 antibody (HA500097) at 1/200 dilution.

The section was pre-treated using heat mediated antigen retrieval with Tris-EDTA buffer (pH 9.0) for 20 minutes. The tissues were blocked in 1% BSA for 20 minutes at room temperature, washed with ddH2O and PBS, and then probed with the primary antibody (HA500097) at 1/200 dilution for 1 hour at room temperature. The detection was performed using an HRP conjugated compact polymer system. DAB was used as the chromogen. Tissues were counterstained with hematoxylin and mounted with DPX.
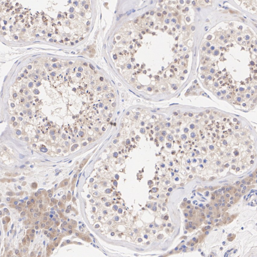
HA500097_4.jpg Fig4: Immunohistochemical analysis of paraffin-embedded human testis tissue with Rabbit anti-PER1 antibody (HA500097) at 1/1,000 dilution.

The section was pre-treated using heat mediated antigen retrieval with Tris-EDTA buffer (pH 9.0) for 20 minutes. The tissues were blocked in 1% BSA for 20 minutes at room temperature, washed with ddH2O and PBS, and then probed with the primary antibody (HA500097) at 1/1,000 dilution for 1 hour at room temperature. The detection was performed using an HRP conjugated compact polymer system. DAB was used as the chromogen. Tissues were counterstained with hematoxylin and mounted with DPX.
HA500097_5.jpg Fig5: Immunohistochemical analysis of paraffin-embedded mouse testis tissue with Rabbit anti-PER1 antibody (HA500097) at 1/1,000 dilution.

The section was pre-treated using heat mediated antigen retrieval with Tris-EDTA buffer (pH 9.0) for 20 minutes. The tissues were blocked in 1% BSA for 20 minutes at room temperature, washed with ddH2O and PBS, and then probed with the primary antibody (HA500097) at 1/1,000 dilution for 1 hour at room temperature. The detection was performed using an HRP conjugated compact polymer system. DAB was used as the chromogen. Tissues were counterstained with hematoxylin and mounted with DPX.
HA500097_6.jpg Fig6: Immunohistochemical analysis of paraffin-embedded rat testis tissue with Rabbit anti-PER1 antibody (HA500097) at 1/1,000 dilution.

The section was pre-treated using heat mediated antigen retrieval with Tris-EDTA buffer (pH 9.0) for 20 minutes. The tissues were blocked in 1% BSA for 20 minutes at room temperature, washed with ddH2O and PBS, and then probed with the primary antibody (HA500097) at 1/1,000 dilution for 1 hour at room temperature. The detection was performed using an HRP conjugated compact polymer system. DAB was used as the chromogen. Tissues were counterstained with hematoxylin and mounted with DPX.
HA500097_7.jpg Fig7: Immunocytochemistry analysis of PC-3 cells labeling PER1 with Rabbit anti-PER1 antibody (HA500097) at 1/200 dilution.

Cells were fixed in 4% paraformaldehyde for 15 minutes at room temperature, permeabilized with 0.1% Triton X-100 in PBS for 15 minutes at room temperature, then blocked with 1% BSA in 10% negative goat serum for 1 hour at room temperature. Cells were then incubated with Rabbit anti-PER1 antibody (HA500097) at 1/200 dilution in 1% BSA in PBST overnight at 4 ℃. Goat Anti-Rabbit IgG H&L (iFluor™ 488, HA1121) was used as the secondary antibody at 1/1,000 dilution. PBS instead of the primary antibody was used as the secondary antibody only control. Nuclear DNA was labelled in blue with DAPI.

Beta tubulin (HA601187, red) was stained at 1/100 dilution overnight at +4℃. Goat Anti-Mouse IgG H&L (iFluor™ 594, HA1126) was used as the secondary antibody at 1/1,000 dilution.
Note: All products are “FOR RESEARCH USE ONLY AND ARE NOT INTENDED FOR DIAGNOSTIC OR THERAPEUTIC USE”.