Integrin alpha 3 Rabbit Polyclonal Antibody
cat.: HA500111
Product Type: Rabbit polyclonal IgG, primary antibodies
Species reactivity: Human, Rat
Applications: WB, IHC-P
Clonality: Polyclonal
Form: Liquid
Storage condition: Shipped at 4℃. Store at +4℃ short term (1-2 weeks). It is recommended to aliquot into single-use upon delivery. Store at -20℃ long term.
Storage buffer: 1*TBS (pH7.4), 0.2% BSA, 50% Glycerol. Preservative: 0.05% Sodium Azide.
Concentration: 1ug/ul
Purification: Immunogen affinity purified.
Molecular weight: Predicted band size: 117 kDa.
Isotype: IgG
Immunogen: Recombinant protein within human Integrin alpha 3 aa 33-220.
Positive control: A549 cell lysate, human stomach tissue lysate, rat kidney tissue.
Subcellular location: Cell membrane, invadopodium membrane, filopodium membrane.
Recommended Dilutions:
  WB
  IHC-P

1:500-1:2,000
1:10-1:500
Uniprot #: SwissProt: P26006 Human | D3ZCG9 Rat
Alternative names: AA407068 Antigen identified by monoclonal J143 CD49 antigen like family member C CD49 antigen-like family member C CD49c CD49c antigen FLJ34631 FLJ34704 FRP 2 FRP-2 FRP2 Galactoprotein B3 GAP B3 GAPB3 Integrin alpha 3 Integrin alpha-3 light chain Integrin, alpha 3 (antigen CD49C, alpha 3 subunit of VLA-3 receptor) ITA3_HUMAN ITGA 3 Itga3 MSK18 VCA 2 VCA2 Very late activation protein 3 receptor alpha 3 subunit VL3A VLA 3 alpha chain VLA 3 subunit alpha VLA-3 subunit alpha VLA3a
Images
HA500111_1.jpg Fig1: Western blot analysis of Integrin alpha 3 on different lysates. Proteins were transferred to a PVDF membrane and blocked with 5% BSA in PBS for 1 hour at room temperature. The primary antibody (HA500111, 1/1,000) was used in 5% BSA at room temperature for 2 hours. Goat Anti-Rabbit IgG - HRP Secondary Antibody (HA1001) at 1:200,000 dilution was used for 1 hour at room temperature.
Positive control:
Lane 1: A549 cell lysate
Lane 2: Human stomach tissue lysate
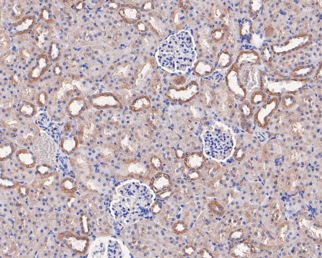
HA500111_2.jpg Fig2: Immunohistochemical analysis of paraffin-embedded rat kidney tissue using anti-Integrin alpha 3 antibody. The section was pre-treated using heat mediated antigen retrieval with Tris-EDTA buffer (pH 8.0-8.4) for 20 minutes.The tissues were blocked in 5% BSA for 30 minutes at room temperature, washed with ddH2O and PBS, and then probed with the primary antibody (HA500111, 1/400) for 30 minutes at room temperature. The detection was performed using an HRP conjugated compact polymer system. DAB was used as the chromogen. Tissues were counterstained with hematoxylin and mounted with DPX.
Note: All products are “FOR RESEARCH USE ONLY AND ARE NOT INTENDED FOR DIAGNOSTIC OR THERAPEUTIC USE”.