FAM13C1 Rabbit Polyclonal Antibody
cat.: HA500122
Product Type: Rabbit polyclonal IgG, primary antibodies
Species reactivity: Human, Mouse, Rat
Applications: WB, IHC-P
Clonality: Polyclonal
Form: Liquid
Storage condition: Shipped at 4℃. Store at +4℃ short term (1-2 weeks). It is recommended to aliquot into single-use upon delivery. Store at -20℃ long term.
Storage buffer: 1*TBS (pH7.4), 0.2% BSA, 50% Glycerol. Preservative: 0.05% Sodium Azide.
Concentration: 1ug/ul
Purification: Immunogen affinity purified.
Molecular weight: Predicted band size: 66 kDa
Isotype: IgG
Immunogen: Synthetic peptide within human FAM13C1 aa 241-270.
Positive control: HepG2 cell lysate, Rat brain tissue lysate, human colon tissue, mouse colon tissue, rat colon tissue.
Recommended Dilutions:
  WB
  IHC-P

1:500-1:1,000
1:1,000
Uniprot #: SwissProt: Q8NE31 Human | Q9DBR2 Mouse
Entrez Gene: 294565 Rat
Alternative names: Protein FAM13C FAM13C FAM13C1 FAM13C FAM13C1
Images
HA500122_1.jpg Fig1: Western blot analysis of FAM13C1 on different lysates. Proteins were transferred to a PVDF membrane and blocked with 5% BSA in PBS for 1 hour at room temperature. The primary antibody (HA500122, 1/1,000) was used in 5% BSA at room temperature for 2 hours. Goat Anti-Rabbit IgG - HRP Secondary Antibody (HA1001) at 1:200,000 dilution was used for 1 hour at room temperature.
Positive control:
Lane 1: HepG2 cell lysate
Lane 2: Rat brain tissue lysate
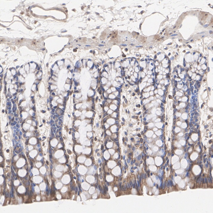
HA500122_2.jpg Fig2: Immunohistochemical analysis of paraffin-embedded human colon tissue with Rabbit anti-FAM13C1 antibody (HA500122) at 1/1,000 dilution.

The section was pre-treated using heat mediated antigen retrieval with Tris-EDTA buffer (pH 9.0) for 20 minutes. The tissues were blocked in 1% BSA for 20 minutes at room temperature, washed with ddH2O and PBS, and then probed with the primary antibody (HA500122) at 1/1,000 dilution for 1 hour at room temperature. The detection was performed using an HRP conjugated compact polymer system. DAB was used as the chromogen. Tissues were counterstained with hematoxylin and mounted with DPX.
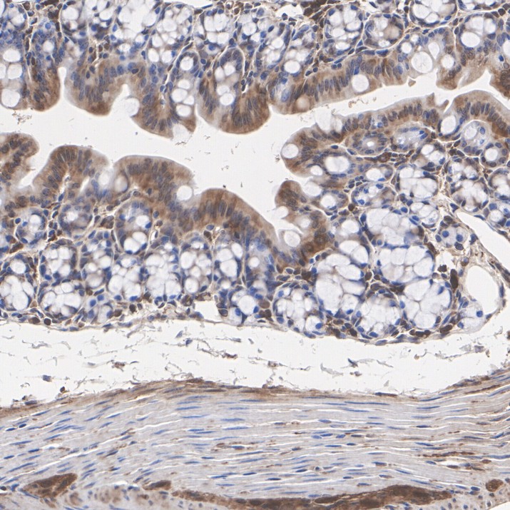
HA500122_3.jpg Fig3: Immunohistochemical analysis of paraffin-embedded mouse colon tissue with Rabbit anti-FAM13C1 antibody (HA500122) at 1/1,000 dilution.

The section was pre-treated using heat mediated antigen retrieval with Tris-EDTA buffer (pH 9.0) for 20 minutes. The tissues were blocked in 1% BSA for 20 minutes at room temperature, washed with ddH2O and PBS, and then probed with the primary antibody (HA500122) at 1/1,000 dilution for 1 hour at room temperature. The detection was performed using an HRP conjugated compact polymer system. DAB was used as the chromogen. Tissues were counterstained with hematoxylin and mounted with DPX.
HA500122_4.jpg Fig4: Immunohistochemical analysis of paraffin-embedded rat colon tissue with Rabbit anti-FAM13C1 antibody (HA500122) at 1/1,000 dilution.

The section was pre-treated using heat mediated antigen retrieval with Tris-EDTA buffer (pH 9.0) for 20 minutes. The tissues were blocked in 1% BSA for 20 minutes at room temperature, washed with ddH2O and PBS, and then probed with the primary antibody (HA500122) at 1/1,000 dilution for 1 hour at room temperature. The detection was performed using an HRP conjugated compact polymer system. DAB was used as the chromogen. Tissues were counterstained with hematoxylin and mounted with DPX.
Note: All products are “FOR RESEARCH USE ONLY AND ARE NOT INTENDED FOR DIAGNOSTIC OR THERAPEUTIC USE”.