THOC5 Rabbit Polyclonal Antibody
cat.: HA500129
Product Type: Rabbit polyclonal IgG, primary antibodies
Species reactivity: Human, Mouse, Rat
Applications: WB, IHC-P
Clonality: Polyclonal
Form: Liquid
Storage condition: Shipped at 4℃. Store at +4℃ short term (1-2 weeks). It is recommended to aliquot into single-use upon delivery. Store at -20℃ long term.
Storage buffer: 1*TBS (pH7.4), 0.2% BSA, 50% Glycerol. Preservative: 0.05% Sodium Azide.
Concentration: 1ug/ul
Purification: Immunogen affinity purified.
Molecular weight: Predicted band size: 79 kDa
Isotype: IgG
Immunogen: Recombinant protein within human THOC5 aa 1-200.
Positive control: 293T cell lysate, HepG2 cell lysate, HeLa cell lysate, NIH/3T3 cell lysate, PC-12 cell lysate, human lung carcinoma tissue, human lung tissue, mouse lung tissue, rat lung tissue, human ovarian tumor tissue, mouse brain tissue.
Subcellular location: Nucleus, Cytoplasm.
Recommended Dilutions:
  WB
  IHC-P

1:5,000
1:200-1:1,000
Uniprot #: SwissProt: Q13769 Human | Q8BKT7 Mouse | Q68FX7 Rat
Alternative names: C22orf19 Chromosome 22 open reading frame 19 Fmip Fms interacting protein fSAP79 Functional spliceosome-associated protein 79 hTREX90 KIAA0983 LOC400922 NF2/meningioma region protein pK1.3 PK1.3 Placental protein 39.2 PP39.2 THO complex 5 THO complex subunit 5 THO complex subunit 5 homolog thoc5 THOC5_HUMAN
Images
HA500129_1.jpg Fig1: Western blot analysis of THOC5 on different lysates with Rabbit anti-THOC5 antibody (HA500129) at 1/5,000 dilution.

Lane 1: 293T cell lysate (20 µg/Lane)
Lane 2: HepG2 cell lysate (20 µg/Lane)
Lane 3: HeLa cell lysate (20 µg/Lane)
Lane 4: NIH/3T3 cell lysate (20 µg/Lane)
Lane 5: PC-12 cell lysate (20 µg/Lane)

Predicted band size: 79 kDa
Observed band size: 75 kDa

Exposure time: 7 seconds; ECL: K1801;
4-20% SDS-PAGE gel.

Proteins were transferred to a PVDF membrane and blocked with 5% NFDM/TBST for 1 hour at room temperature. The primary antibody (HA500129) at 1/5,000 dilution was used in primary antibody dilution (K1803) at 4℃ overnight. Goat Anti-Rabbit IgG - HRP Secondary Antibody (HA1001) at 1/50,000 dilution was used for 1 hour at room temperature.
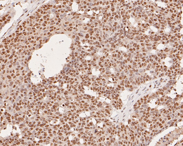
HA500129_2.jpg Fig2: Immunohistochemical analysis of paraffin-embedded human lung carcinoma tissue with Rabbit anti-THOC5 antibody (HA500129) at 1/200 dilution.

The section was pre-treated using heat mediated antigen retrieval with Tris-EDTA buffer (pH 9.0) for 20 minutes. The tissues were blocked in 1% BSA for 20 minutes at room temperature, washed with ddH2O and PBS, and then probed with the primary antibody (HA500129) at 1/200 dilution for 1 hour at room temperature. The detection was performed using an HRP conjugated compact polymer system. DAB was used as the chromogen. Tissues were counterstained with hematoxylin and mounted with DPX.
HA500129_3.jpg Fig3: Immunohistochemical analysis of paraffin-embedded human lung tissue with Rabbit anti-THOC5 antibody (HA500129) at 1/200 dilution.

The section was pre-treated using heat mediated antigen retrieval with Tris-EDTA buffer (pH 9.0) for 20 minutes. The tissues were blocked in 1% BSA for 20 minutes at room temperature, washed with ddH2O and PBS, and then probed with the primary antibody (HA500129) at 1/200 dilution for 1 hour at room temperature. The detection was performed using an HRP conjugated compact polymer system. DAB was used as the chromogen. Tissues were counterstained with hematoxylin and mounted with DPX.
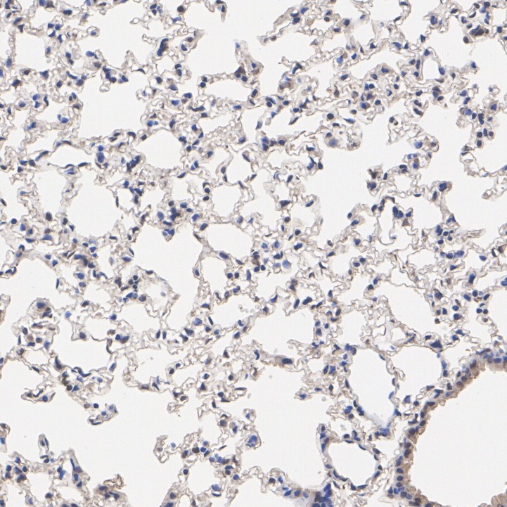
HA500129_4.jpg Fig4: Immunohistochemical analysis of paraffin-embedded mouse lung tissue with Rabbit anti-THOC5 antibody (HA500129) at 1/200 dilution.

The section was pre-treated using heat mediated antigen retrieval with Tris-EDTA buffer (pH 9.0) for 20 minutes. The tissues were blocked in 1% BSA for 20 minutes at room temperature, washed with ddH2O and PBS, and then probed with the primary antibody (HA500129) at 1/200 dilution for 1 hour at room temperature. The detection was performed using an HRP conjugated compact polymer system. DAB was used as the chromogen. Tissues were counterstained with hematoxylin and mounted with DPX.
HA500129_5.jpg Fig5: Immunohistochemical analysis of paraffin-embedded rat lung tissue with Rabbit anti-THOC5 antibody (HA500129) at 1/200 dilution.

The section was pre-treated using heat mediated antigen retrieval with Tris-EDTA buffer (pH 9.0) for 20 minutes. The tissues were blocked in 1% BSA for 20 minutes at room temperature, washed with ddH2O and PBS, and then probed with the primary antibody (HA500129) at 1/200 dilution for 1 hour at room temperature. The detection was performed using an HRP conjugated compact polymer system. DAB was used as the chromogen. Tissues were counterstained with hematoxylin and mounted with DPX.
HA500129_6.jpg Fig6: Immunohistochemical analysis of paraffin-embedded human ovarian tumor tissue using anti-THOC5 antibody. The section was pre-treated using heat mediated antigen retrieval with sodium citrate buffer (pH 6.0) for 20 minutes. The tissues were blocked in 5% BSA for 30 minutes at room temperature, washed with ddH2O and PBS, and then probed with the primary antibody (HA500129, 1/800) for 30 minutes at room temperature. The detection was performed using an HRP conjugated compact polymer system. DAB was used as the chromogen. Tissues were counterstained with hematoxylin and mounted with DPX.
HA500129_7.jpg Fig7: Immunohistochemical analysis of paraffin-embedded mouse brain tissue using anti-THOC5 antibody. The section was pre-treated using heat mediated antigen retrieval with sodium citrate buffer (pH 6.0) for 20 minutes. The tissues were blocked in 5% BSA for 30 minutes at room temperature, washed with ddH2O and PBS, and then probed with the primary antibody (HA500129, 1/200) for 30 minutes at room temperature. The detection was performed using an HRP conjugated compact polymer system. DAB was used as the chromogen. Tissues were counterstained with hematoxylin and mounted with DPX.
Note: All products are “FOR RESEARCH USE ONLY AND ARE NOT INTENDED FOR DIAGNOSTIC OR THERAPEUTIC USE”.