GNAO1 Rabbit Polyclonal Antibody
cat.: HA500136
Product Type: Rabbit polyclonal IgG, primary antibodies
Species reactivity: Human, Mouse, Rat
Applications: WB, IHC-P
Clonality: Polyclonal
Form: Liquid
Storage condition: Shipped at 4℃. Store at +4℃ short term (1-2 weeks). It is recommended to aliquot into single-use upon delivery. Store at -20℃ long term.
Storage buffer: 1*TBS (pH7.4), 0.2% BSA, 50% Glycerol. Preservative: 0.05% Sodium Azide.
Concentration: 1ug/ul
Purification: Immunogen affinity purified.
Molecular weight: Predicted band size: 40 kDa
Isotype: IgG
Immunogen: Recombinant protein within human GNAO1 aa 1-200.
Positive control: Mouse brain tissue lysate, Mouse cerebellum tissue lysate, Rat brain tissue lysate, Rat cerebellum tissue lysate, human brain tissue, mouse brain tissue, rat brain tissue.
Subcellular location: Cell membrane, Membrane.
Recommended Dilutions:
  WB
  IHC-P

1:20,000
1:2,000
Uniprot #: SwissProt: P09471 Human | P18872 Mouse | P59215 Rat
Alternative names: DKFZp686O0962 G alpha o G protein alpha 0 Galphao GNAO 1 GNAO GNAO_HUMAN GNAO1 Go alpha Guanine nucleotide binding protein (G protein) alpha activating activity polypeptide O Guanine nucleotide binding protein alpha activating polypeptide Guanine nucleotide binding protein G(o) subunit alpha Guanine nucleotide-binding protein G(o) subunit alpha
Images
HA500136_1.jpg Fig1: Western blot analysis of GNAO1 on different lysates with Rabbit anti-GNAO1 antibody (HA500136) at 1/20,000 dilution.

Lane 1: Mouse brain tissue lysate (10 µg/Lane)
Lane 2: Mouse cerebellum tissue lysate (10 µg/Lane)
Lane 3: Rat brain tissue lysate (10 µg/Lane)
Lane 4: Rat cerebellum tissue lysate (10 µg/Lane)

Predicted band size: 40 kDa
Observed band size: 37 kDa

Exposure time: 2 seconds; ECL: K1801;

4-20% SDS-PAGE gel.

Proteins were transferred to a PVDF membrane and blocked with 5% NFDM/TBST for 1 hour at room temperature. The primary antibody (HA500136) at 1/20,000 dilution was used in primary antibody dilution (K1803) at 4℃ overnight. Goat Anti-Rabbit IgG - HRP Secondary Antibody (HA1001) at 1/50,000 dilution was used for 1 hour at room temperature.
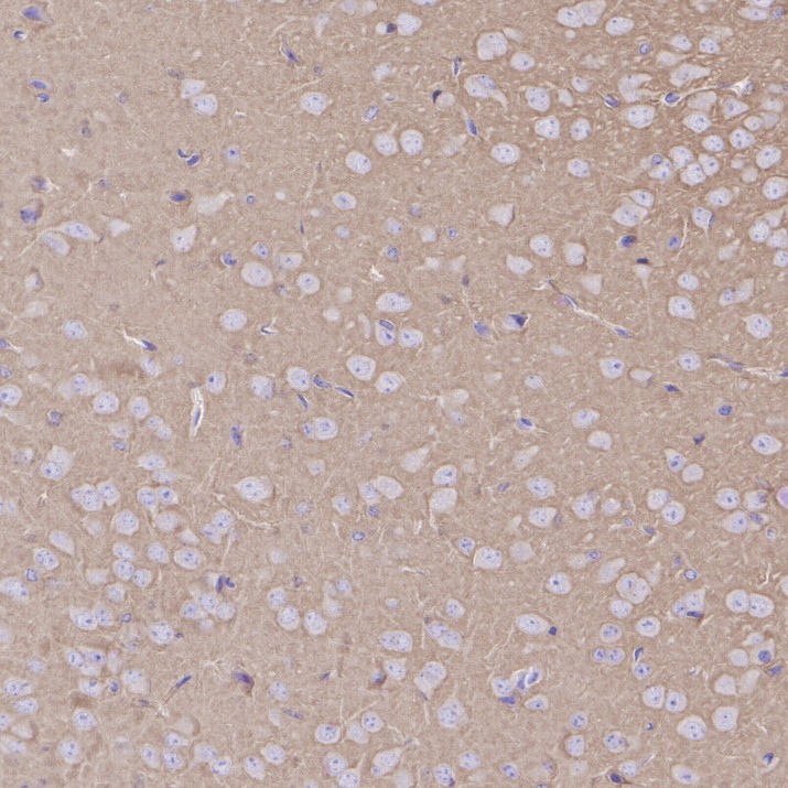
HA500136_2.jpg Fig2: Immunohistochemical analysis of paraffin-embedded human brain tissue with Rabbit anti-GNAO1 antibody (HA500136) at 1/2,000 dilution.

The section was pre-treated using heat mediated antigen retrieval with Tris-EDTA buffer (pH 9.0) for 20 minutes. The tissues were blocked in 1% BSA for 20 minutes at room temperature, washed with ddH2O and PBS, and then probed with the primary antibody (HA500136) at 1/2,000 dilution for 1 hour at room temperature. The detection was performed using an HRP conjugated compact polymer system. DAB was used as the chromogen. Tissues were counterstained with hematoxylin and mounted with DPX.
HA500136_3.jpg Fig3: Immunohistochemical analysis of paraffin-embedded mouse brain tissue with Rabbit anti-GNAO1 antibody (HA500136) at 1/2,000 dilution.

The section was pre-treated using heat mediated antigen retrieval with Tris-EDTA buffer (pH 9.0) for 20 minutes. The tissues were blocked in 1% BSA for 20 minutes at room temperature, washed with ddH2O and PBS, and then probed with the primary antibody (HA500136) at 1/2,000 dilution for 1 hour at room temperature. The detection was performed using an HRP conjugated compact polymer system. DAB was used as the chromogen. Tissues were counterstained with hematoxylin and mounted with DPX.
HA500136_4.jpg Fig4: Immunohistochemical analysis of paraffin-embedded rat brain tissue with Rabbit anti-GNAO1 antibody (HA500136) at 1/2,000 dilution.

The section was pre-treated using heat mediated antigen retrieval with Tris-EDTA buffer (pH 9.0) for 20 minutes. The tissues were blocked in 1% BSA for 20 minutes at room temperature, washed with ddH2O and PBS, and then probed with the primary antibody (HA500136) at 1/2,000 dilution for 1 hour at room temperature. The detection was performed using an HRP conjugated compact polymer system. DAB was used as the chromogen. Tissues were counterstained with hematoxylin and mounted with DPX.
Note: All products are “FOR RESEARCH USE ONLY AND ARE NOT INTENDED FOR DIAGNOSTIC OR THERAPEUTIC USE”.