ASIC4 Rabbit Polyclonal Antibody
cat.: HA500151
Product Type: Rabbit polyclonal IgG, primary antibodies
Species reactivity: Human, Mouse, Rat
Applications: WB, IHC-P, FC
Clonality: Polyclonal
Form: Liquid
Storage condition: Shipped at 4℃. Store at +4℃ short term (1-2 weeks). It is recommended to aliquot into single-use upon delivery. Store at -20℃ long term.
Storage buffer: 1*TBS (pH7.4), 0.2% BSA, 50% Glycerol. Preservative: 0.05% Sodium Azide.
Concentration: 1ug/ul
Purification: Immunogen affinity purified.
Molecular weight: 70 kDa
Isotype: IgG
Immunogen: Recombinant protein within human ASIC4 aa 250-450.
Positive control: HepG2 cell lysate, human brain tissue lysate, K562 cell lysate, rat brain tissue, mouse pituitary tissue, SH-SY5Y.
Subcellular location: Membrane.
Recommended Dilutions:
  WB
  IHC-P
  FC

1:1,000-1:2,000
1:100-1:500
1:100-1:500
Uniprot #: SwissProt: Q96FT7 Human | Q7TNS7 Mouse | Q9JHS6 Rat
Alternative names: Acid-sensing ion channel 4 ASIC4 Amiloride-sensitive cation channel 4 Amiloride-sensitive cation channel 4, pituitary ACCN4
Images
HA500151_1.jpg Fig1: Western blot analysis of ASIC4 on different lysates. Proteins were transferred to a PVDF membrane and blocked with 5% BSA in PBS for 1 hour at room temperature. The primary antibody (HA500151, 1/1,000) was used in 5% BSA at room temperature for 2 hours. Goat Anti-Rabbit IgG - HRP Secondary Antibody (HA1001) at 1:200,000 dilution was used for 1 hour at room temperature.
Positive control:
Lane 1: HepG2 cell lysate
Lane 2: Human brain tissue lysate
Lane 3: K562 cell lysate
HA500151_2.jpg Fig2: Immunohistochemical analysis of paraffin-embedded rat brain tissue using anti-ASIC4 antibody. The section was pre-treated using heat mediated antigen retrieval with Tris-EDTA buffer (pH 9.0) for 20 minutes.The tissues were blocked in 5% BSA for 30 minutes at room temperature, washed with ddH2O and PBS, and then probed with the primary antibody (HA500151, 1/400) for 30 minutes at room temperature. The detection was performed using an HRP conjugated compact polymer system. DAB was used as the chromogen. Tissues were counterstained with hematoxylin and mounted with DPX.
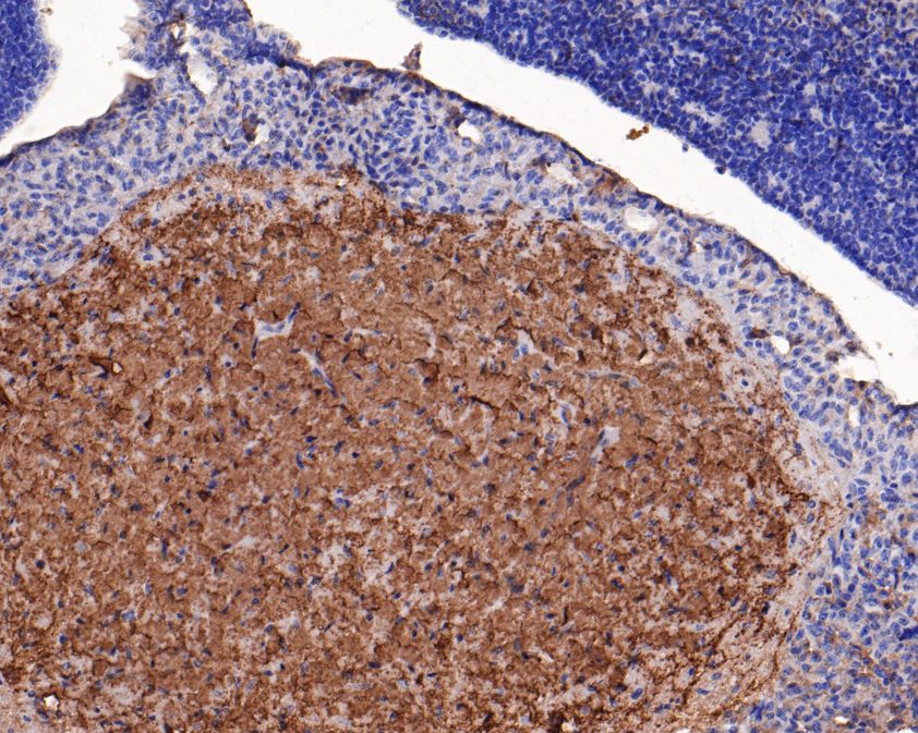
HA500151_3.jpg Fig3: Immunohistochemical analysis of paraffin-embedded mouse pituitary tissue using anti-ASIC4 antibody. The section was pre-treated using heat mediated antigen retrieval with Tris-EDTA buffer (pH 9.0) for 20 minutes.The tissues were blocked in 5% BSA for 30 minutes at room temperature, washed with ddH2O and PBS, and then probed with the primary antibody (HA500151, 1/400) for 30 minutes at room temperature. The detection was performed using an HRP conjugated compact polymer system. DAB was used as the chromogen. Tissues were counterstained with hematoxylin and mounted with DPX.
HA500151_4.jpg Fig4: Flow cytometric analysis of ASIC4 was done on SH-SY5Y cells. The cells were stained with the primary antibody (HA500151, 1ug/ml) (red) compared with Rabbit IgG, monoclonal - Isotype Control (green). After incubation of the primary antibody at at +4℃ for 1 hour, the cells were stained with a Alexa Fluor®488 conjugate-Goat anti-Rabbit IgG Secondary antibody at 1/1,000 dilution for 30 min at +4℃ (dark incubation).Unlabelled sample was used as a control (cells without incubation with primary antibody; black).
Note: All products are “FOR RESEARCH USE ONLY AND ARE NOT INTENDED FOR DIAGNOSTIC OR THERAPEUTIC USE”.