Rab3D Rabbit Polyclonal Antibody
cat.: HA500165
Product Type: Rabbit polyclonal IgG, primary antibodies
Species reactivity: Human, Mouse, Rat
Applications: WB, IHC-P, FC
Clonality: Polyclonal
Form: Liquid
Storage condition: Shipped at 4℃. Store at +4℃ short term (1-2 weeks). It is recommended to aliquot into single-use upon delivery. Store at -20℃ long term.
Storage buffer: PBS (pH7.4), 0.05% BSA, 40% Glycerol. Preservative: 0.05% Sodium Azide.
Concentration: 1ug/ul
Purification: Immunogen affinity purified.
Molecular weight: Predicted band size: 24 kDa
Isotype: IgG
Immunogen: Recombinant protein within human Rab3D aa 64-219.
Positive control: Mouse pancreas tissue lysate, rat pancreas tissue lysate, PC-3 cell lysates, rat pancreas tissue, human prostate tissue, HUVEC.
Subcellular location: Cell membrane.
Recommended Dilutions:
  WB
  IHC-P
  FC

1:500
1:600
1:500-1:1,000
Uniprot #: SwissProt: O95716 Human | P35276 Mouse | Q63942 Rat
Alternative names: D2-2 Glioblastoma overexpressed GOV RAB 16 RAB16 Rab3d Rab3D upregulated with myeloid differentiation RAB3D, member RAS oncogene family RAB3D_HUMAN RAD3D Ras-related protein Rab-3D
Images
HA500165_1.jpg Fig1: Western blot analysis of Rab3D on different lysates. Proteins were transferred to a PVDF membrane and blocked with 5% NFDM/TBST for 1 hour at room temperature. The primary antibody (HA500165, 1/500) was used in 5% NFDM/TBST at room temperature for 2 hours. Goat Anti-Rabbit IgG - HRP Secondary Antibody (HA1001) at 1:200,000 dilution was used for 1 hour at room temperature.

Positive control:
Lane 1: Mouse pancreas tissue lysate
Lane 2: Rat pancreas tissue lysate

Predicted band size: 24 kDa
Observed band size: 24 kDa
HA500165_2.jpg Fig2: Western blot analysis of Rab3D on PC-3 cell lysates. Proteins were transferred to a PVDF membrane and blocked with 5% NFDM/TBST for 1 hour at room temperature. The primary antibody (HA500165, 1/500) was used in 5% NFDM/TBST at room temperature for 2 hours. Goat Anti-Rabbit IgG - HRP Secondary Antibody (HA1001) at 1:200,000 dilution was used for 1 hour at room temperature.

Predicted band size: 24 kDa
Observed band size: 25 kDa
HA500165_3.jpg Fig3: Immunohistochemical analysis of paraffin-embedded rat pancreas tissue using anti-Rab3D antibody. The section was pre-treated using heat mediated antigen retrieval with Tris-EDTA buffer (pH 9.0) for 20 minutes.The tissues were blocked in 1% BSA for 30 minutes at room temperature, washed with ddH2O and PBS, and then probed with the primary antibody (HA500165, 1/600) for 30 minutes at room temperature. The detection was performed using an HRP conjugated compact polymer system. DAB was used as the chromogen. Tissues were counterstained with hematoxylin and mounted with DPX.
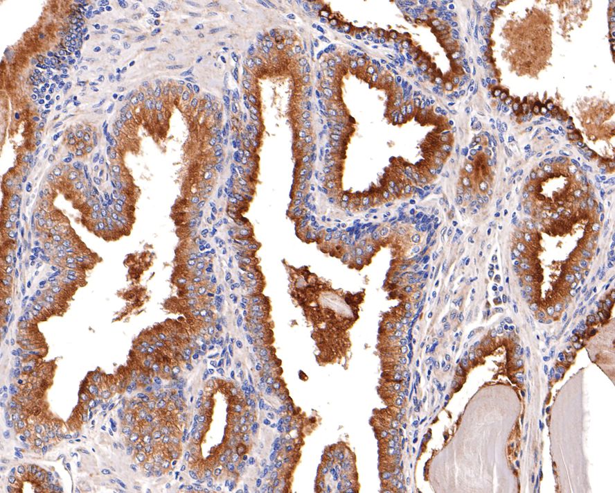
HA500165_4.jpg Fig4: Immunohistochemical analysis of paraffin-embedded human prostate tissue using anti-Rab3D antibody. The section was pre-treated using heat mediated antigen retrieval with Tris-EDTA buffer (pH 9.0) for 20 minutes.The tissues were blocked in 1% BSA for 30 minutes at room temperature, washed with ddH2O and PBS, and then probed with the primary antibody (HA500165, 1/600) for 30 minutes at room temperature. The detection was performed using an HRP conjugated compact polymer system. DAB was used as the chromogen. Tissues were counterstained with hematoxylin and mounted with DPX.
HA500165_5.jpg Fig5: Flow cytometric analysis of HUVEC cells labeling Rab3D.

Cells were fixed and permeabilized. Then stained with the primary antibody (HA500165, 1ug/ml) (red) compared with Rabbit IgG Isotype Control (green). After incubation of the primary antibody at +4℃ for an hour, the cells were stained with a iFluor™ 488 conjugate-Goat anti-Rabbit IgG Secondary antibody (HA1121) at 1/1,000 dilution for 30 minutes at +4℃. Unlabelled sample was used as a control (cells without incubation with primary antibody; black).
Note: All products are “FOR RESEARCH USE ONLY AND ARE NOT INTENDED FOR DIAGNOSTIC OR THERAPEUTIC USE”.