STAM1 Rabbit Polyclonal Antibody
cat.: HA500166
Product Type: Rabbit polyclonal IgG, primary antibodies
Species reactivity: Human, Mouse
Applications: WB, IF-Cell, IHC-P
Clonality: Polyclonal
Form: Liquid
Storage condition: Shipped at 4℃. Store at +4℃ short term (1-2 weeks). It is recommended to aliquot into single-use upon delivery. Store at -20℃ long term.
Storage buffer: PBS (pH7.4), 0.05% BSA, 40% Glycerol. Preservative: 0.05% Sodium Azide.
Concentration: 1ug/ul
Purification: Immunogen affinity purified.
Molecular weight: Predicted band size: 59 kDa
Isotype: IgG
Immunogen: Synthetic peptide within human STAM1 aa 451-500.
Positive control: Mouse small intestine tissue lysates, human kidney tissue, Hela, SH-SY5Y.
Subcellular location: Early endosome membrane, Cytoplasm.
Recommended Dilutions:
  WB
  IF-Cell
  IHC-P

1:500
1:200
1:600
Uniprot #: SwissProt: Q92783 Human | P70297 Mouse
Alternative names: DKFZp686J2352 HSE1 homolog OTTHUMP00000019237 Signal transducing adapter molecule 1 signal transducing adaptor molecule (SH3 domain and ITAM motif) 1 STAM 1 STAM STAM-1 STAM1_HUMAN
Images
HA500166_1.jpg Fig1: Western blot analysis of STAM1 on mouse small intestine tissue lysates. Proteins were transferred to a PVDF membrane and blocked with 5% BSA in PBS for 1 hour at room temperature. The primary antibody (HA500166, 1/500) was used in 5% BSA at room temperature for 2 hours. Goat Anti-Rabbit IgG - HRP Secondary Antibody (HA1001) at 1:200,000 dilution was used for 1 hour at room temperature.

Predicted band size: 59 kDa
Observed band size: 70 kDa
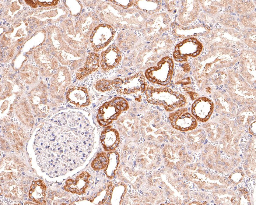
HA500166_2.jpg Fig2: Immunohistochemical analysis of paraffin-embedded human kidney tissue using anti-STAM1 antibody. The section was pre-treated using heat mediated antigen retrieval with Tris-EDTA buffer (pH 9.0) for 20 minutes.The tissues were blocked in 1% BSA for 30 minutes at room temperature, washed with ddH2O and PBS, and then probed with the primary antibody (HA500166, 1/600) for 30 minutes at room temperature. The detection was performed using an HRP conjugated compact polymer system. DAB was used as the chromogen. Tissues were counterstained with hematoxylin and mounted with DPX.
HA500166_3.jpg Fig3: ICC staining of STAM1 in Hela cells (green). Formalin fixed cells were permeabilized with 0.1% Triton X-100 in TBS for 10 minutes at room temperature and blocked with 10% negative goat serum for 15 minutes at room temperature. Cells were probed with the primary antibody (HA500166, 1/200) for 1 hour at room temperature, washed with PBS. Alexa Fluor®488 conjugate-Goat anti-Rabbit IgG was used as the secondary antibody at 1/1,000 dilution. The nuclear counter stain is DAPI (blue).
HA500166_4.jpg Fig4: ICC staining of STAM1 in SH-SY5Y cells (green). Formalin fixed cells were permeabilized with 0.1% Triton X-100 in TBS for 10 minutes at room temperature and blocked with 10% negative goat serum for 15 minutes at room temperature. Cells were probed with the primary antibody (HA500166, 1/200) for 1 hour at room temperature, washed with PBS. Alexa Fluor®488 conjugate-Goat anti-Rabbit IgG was used as the secondary antibody at 1/1,000 dilution. The nuclear counter stain is DAPI (blue).
Note: All products are “FOR RESEARCH USE ONLY AND ARE NOT INTENDED FOR DIAGNOSTIC OR THERAPEUTIC USE”.