Hexokinase II Rabbit Polyclonal Antibody
cat.: HA500186
Product Type: Rabbit polyclonal IgG, primary antibodies
Species reactivity: Human, Mouse, Rat
Applications: WB, IF-Cell, IHC-P, FC
Clonality: Polyclonal
Form: Liquid
Storage condition: Shipped at 4℃. Store at +4℃ short term (1-2 weeks). It is recommended to aliquot into single-use upon delivery. Store at -20℃ long term.
Storage buffer: 1*TBS (pH7.4), 0.2% BSA, 50% Glycerol. Preservative: 0.05% Sodium Azide.
Concentration: 1ug/ul
Purification: Immunogen affinity purified.
Molecular weight: Predicted band size: 102 kDa
Isotype: IgG
Immunogen: Recombinant protein within human Hexokinase II aa 1-200.
Positive control: 293 cell lysate, Jurkat cell lysate, PC-12 cell lysate, NIH/3T3 cell lysate, rat skeletal muscle tissue lysate, SiHa, rat testis tissue, human fetal skeletal muscle tissue, mouse kidney tissue, Hela, PC-12.
Subcellular location: Cytosol, Mitochondrion outer membrane.
Recommended Dilutions:
  WB
  IF-Cell
  IHC-P
  FC

1:500-1:1,000
1:50-1:100
1:100-1:500
1:500-1:1,000
Uniprot #: SwissProt: P52789 Human | O08528 Mouse | P27881 Rat
Alternative names: DKFZp686M1669 Hexokinase 2 Hexokinase 2 muscle Hexokinase type II Hexokinase-2 HK 2 HK II HK2 HKII HxK 2 HxK2 HXK2_HUMAN Muscle form hexokinase
Images
HA500186_1.jpg Fig1: Western blot analysis of Hexokinase II on different lysates with Rabbit anti-Hexokinase II antibody (HA500186) at 1/500 dilution.

Lane 1: 293 cell lysate (10 µg/Lane)
Lane 2: Jurkat cell lysate (10 µg/Lane)
Lane 3: PC-12 cell lysate (10 µg/Lane)
Lane 4: NIH/3T3 cell lysate (10 µg/Lane)
Lane 5: Rat skeletal muscle tissue lysate (20 µg/Lane)

Predicted band size: 102 kDa
Observed band size: 102 kDa

Exposure time: 2 minutes;

8% SDS-PAGE gel.

Proteins were transferred to a PVDF membrane and blocked with 5% NFDM/TBST for 1 hour at room temperature. The primary antibody (HA500186) at 1/500 dilution was used in 5% NFDM/TBST at room temperature for 2 hours. Goat Anti-Rabbit IgG - HRP Secondary Antibody (HA1001) at 1:300,000 dilution was used for 1 hour at room temperature.
HA500186_2.jpg Fig2: ICC staining of Hexokinase II in SiHa cells (green). Methanol fixed cells were blocked with 10% negative goat serum for 15 minutes at room temperature. Cells were probed with the primary antibody (HA500186, 1/50) for 1 hour at room temperature, washed with PBS. Alexa Fluor®488 conjugate-Goat anti-Rabbit IgG was used as the secondary antibody at 1/1,000 dilution. The nuclear counter stain is DAPI (blue).
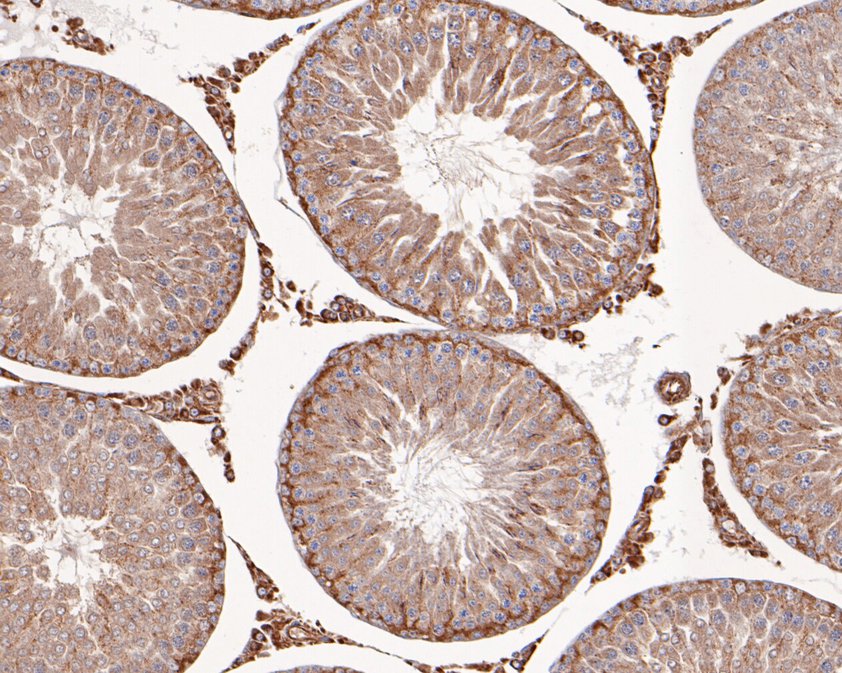
HA500186_3.jpg Fig3: Immunohistochemical analysis of paraffin-embedded rat testis tissue using anti-Hexokinase II antibody. The section was pre-treated using heat mediated antigen retrieval with Tris-EDTA buffer (pH 9.0) for 20 minutes.The tissues were blocked in 5% BSA for 30 minutes at room temperature, washed with ddH2O and PBS, and then probed with the primary antibody (HA500186, 1/400) for 30 minutes at room temperature. The detection was performed using an HRP conjugated compact polymer system. DAB was used as the chromogen. Tissues were counterstained with hematoxylin and mounted with DPX.
HA500186_4.jpg Fig4: Immunohistochemical analysis of paraffin-embedded human fetal skeletal muscle tissue using anti-Hexokinase II antibody. The section was pre-treated using heat mediated antigen retrieval with Tris-EDTA buffer (pH 9.0) for 20 minutes.The tissues were blocked in 5% BSA for 30 minutes at room temperature, washed with ddH2O and PBS, and then probed with the primary antibody (HA500186, 1/400) for 30 minutes at room temperature. The detection was performed using an HRP conjugated compact polymer system. DAB was used as the chromogen. Tissues were counterstained with hematoxylin and mounted with DPX.
HA500186_5.jpg Fig5: Immunohistochemical analysis of paraffin-embedded mouse kidney tissue using anti-Hexokinase II antibody. The section was pre-treated using heat mediated antigen retrieval with Tris-EDTA buffer (pH 9.0) for 20 minutes.The tissues were blocked in 5% BSA for 30 minutes at room temperature, washed with ddH2O and PBS, and then probed with the primary antibody (HA500186, 1/400) for 30 minutes at room temperature. The detection was performed using an HRP conjugated compact polymer system. DAB was used as the chromogen. Tissues were counterstained with hematoxylin and mounted with DPX.
HA500186_6.jpg Fig6: Immunocytochemistry analysis of PC-12 cells labeling Hexokinase II with Rabbit anti-Hexokinase II antibody (HA500186) at 1/500 dilution.

Cells were fixed in 4% paraformaldehyde for 15 minutes at room temperature, permeabilized with 0.1% Triton X-100 in PBS for 15 minutes at room temperature, then blocked with 1% BSA in 10% negative goat serum for 1 hour at room temperature. Cells were then incubated with Rabbit anti-Hexokinase II antibody (HA500186) at 1/500 dilution in 1% BSA in PBST overnight at 4 ℃. Goat Anti-Rabbit IgG H&L (iFluor™ 488, HA1121) was used as the secondary antibody at 1/1,000 dilution. PBS instead of the primary antibody was used as the secondary antibody only control. Nuclear DNA was labelled in blue with DAPI.

Beta tubulin (HA601187, red) was stained at 1/100 dilution overnight at +4℃. Goat Anti-Mouse IgG H&L (iFluor™ 594, HA1126) was used as the secondary antibody at 1/1,000 dilution.
HA500186_7.jpg Fig7: Flow cytometric analysis of Hexokinase II was done on Hela cells. The cells were fixed, permeabilized and stained with the primary antibody (HA500186, 1ug/ml) (red) compared with Rabbit IgG, monoclonal - Isotype Control (green). After incubation of the primary antibody at +4℃ for 1 hour, the cells were stained with a Alexa Fluor®488 conjugate-Goat anti-Rabbit IgG Secondary antibody at 1/1,000 dilution for 30 minutes at +4℃ (dark incubation).Unlabelled sample was used as a control (cells without incubation with primary antibody; black).
Note: All products are “FOR RESEARCH USE ONLY AND ARE NOT INTENDED FOR DIAGNOSTIC OR THERAPEUTIC USE”.