CYP24A1 Rabbit Polyclonal Antibody
cat.: HA500196
Product Type: Rabbit polyclonal IgG, primary antibodies
Species reactivity: Mouse, Rat, Human
Applications: WB, IHC-P
Clonality: Polyclonal
Form: Liquid
Storage condition: Shipped at 4℃. Store at +4℃ short term (1-2 weeks). It is recommended to aliquot into single-use upon delivery. Store at -20℃ long term.
Storage buffer: 1*TBS (pH7.4), 0.2% BSA, 50% Glycerol. Preservative: 0.05% Sodium Azide.
Concentration: 1ug/ul
Purification: Immunogen affinity purified.
Molecular weight: Predicted band size: 59 kDa
Isotype: IgG
Immunogen: Recombinant protein within human aa 50-250.
Positive control: Rat kidney tissue lysates, rat bladder tissue lysates, mouse lung tissue lysates, mouse kidney tissue.
Subcellular location: Mitochondrion.
Recommended Dilutions:
  WB
  IHC-P

1:2,000-1:10,000
1:100-1:500
Uniprot #: SwissProt: Q07973 Human | Q64441 Mouse | Q09128 Rat
Alternative names: 1 25 @dihydroxyvitamin D3 24 hydroxylase 1 25 dihydroxyvitamin D(3) 24 hydroxylase 1 1,25-dihydroxyvitamin D(3) 24-hydroxylase, mitochondrial 24 OHase 24-OHase 25-dihydroxyvitamin D(3) 24-hydroxylase CP 24 CP24 CP24A_HUMAN CYP 24 CYP24 CYP24A1 Cytochrome P450 24A1 Cytochrome P450 24A1 mitochondrial cytochrome P450 CC24 Cytochrome P450 family 24 Cytochrome P450 family 24 subfamily A member 1 Cytochrome P450 family 24 subfamily A polypeptide 1 Cytochrome P450 subfamily XXIV Cytochrome P450, subfamily XXIV (vitamin D 24-hydroxylase) Cytochrome P450-CC24 EC 1.14.13.n4 Exo mitochondrial protein HCAI HCINF1 MGC126273 MGC126274 mitochondrial P450 CC24 Vitamin D 24 hydroxylase Vitamin D(3) 24 hydroxylase Vitamin D(3) 24-hydroxylase
Images
HA500196_1.jpg Fig1: Western blot analysis of CYP24A1 on rat kidney tissue lysates with Rabbit anti-CYP24A1 antibody (HA500196) at 1/5,000 dilution.

Lysates/proteins at 40 µg/Lane.

Predicted band size: 59 kDa
Observed band size: 59 kDa

Exposure time: 25 seconds; ECL: K1801;
4-20% SDS-PAGE gel.

Proteins were transferred to a PVDF membrane and blocked with 5% NFDM/TBST for 1 hour at room temperature. The primary antibody (HA500196) at 1/5,000 dilution was used in primary antibody dilution (K1803) at 4℃ overnight. Goat Anti-Rabbit IgG - HRP Secondary Antibody (HA1001) at 1/50,000 dilution was used for 1 hour at room temperature.
HA500196_2.jpg Fig2: Western blot analysis of CYP24A1 on rat bladder tissue lysates. Proteins were transferred to a PVDF membrane and blocked with 5% BSA in PBS for 1 hour at room temperature. The primary antibody (HA500196, 1/5,000) was used in 5% BSA at room temperature for 2 hours. Goat Anti-Rabbit IgG - HRP Secondary Antibody (HA1001) at 1:200,000 dilution was used for 1 hour at room temperature.
HA500196_3.jpg Fig3: Western blot analysis of CYP24A1 on mouse lung tissue lysates. Proteins were transferred to a PVDF membrane and blocked with 5% BSA in PBS for 1 hour at room temperature. The primary antibody (HA500196, 1/5,000) was used in 5% BSA at room temperature for 2 hours. Goat Anti-Rabbit IgG - HRP Secondary Antibody (HA1001) at 1:200,000 dilution was used for 1 hour at room temperature.
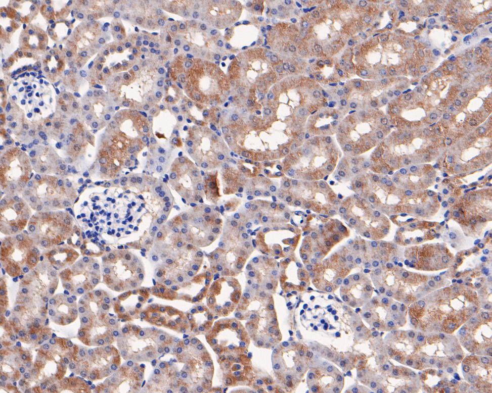
HA500196_4.jpg Fig4: Immunohistochemical analysis of paraffin-embedded mouse kidney tissue using anti-CYP24A1 antibody. The section was pre-treated using heat mediated antigen retrieval with Tris-EDTA buffer (pH 8.0-8.4) for 20 minutes.The tissues were blocked in 5% BSA for 30 minutes at room temperature, washed with ddH2O and PBS, and then probed with the primary antibody (HA500196, 1/400) for 30 minutes at room temperature. The detection was performed using an HRP conjugated compact polymer system. DAB was used as the chromogen. Tissues were counterstained with hematoxylin and mounted with DPX.
Note: All products are “FOR RESEARCH USE ONLY AND ARE NOT INTENDED FOR DIAGNOSTIC OR THERAPEUTIC USE”.