KCNK6 Rabbit Polyclonal Antibody
cat.: HA500213
Product Type: Rabbit polyclonal IgG, primary antibodies
Species reactivity: Human, Mouse, Rat
Applications: WB, IHC-P
Clonality: Polyclonal
Form: Liquid
Storage condition: Shipped at 4℃. Store at +4℃ short term (1-2 weeks). It is recommended to aliquot into single-use upon delivery. Store at -20℃ long term.
Storage buffer: 1*TBS (pH7.4), 0.2% BSA, 50% Glycerol. Preservative: 0.05% Sodium Azide.
Concentration: 1ug/ul
Purification: Immunogen affinity purified.
Molecular weight: 34 kDa
Isotype: IgG
Immunogen: Synthetic peptide within C-terminal human KCNK6 from aa 291-aa313.
Positive control: Jurkat cell lysate, rat ovary tissue lysate, human kidney tissue, human placenta tissue, mouse small intestine tissue, rat brain tissue.
Subcellular location: Membrane.
Recommended Dilutions:
  WB
  IHC-P

1:500-1:2,000
1:50-1:200
Uniprot #: SwissProt: Q9Y257 Human
Entrez Gene: 52150 Mouse | 116491 Rat
Alternative names: D7Ertd764e FLJ12282 Inward rectifying potassium channel protein TWIK 2 Inward rectifying potassium channel protein TWIK-2 K2p6.1 K2P6.1 potassium channel KCNK6 KCNK6_HUMAN KCNK8 Potassium channel subfamily K member 6 Potassium channel, subfamily K, member 6 (TWIK 2) Potassium channel, subfamily K, member 6 TOSS TWIK 2 TWIK 2 two pore domain K+ channel TWIK originated sodium similarity sequence TWIK-originated similarity sequence TWIK2
Images
HA500213_1.jpg Fig1: Western blot analysis of KCNK6 on different lysates. Proteins were transferred to a PVDF membrane and blocked with 5% BSA in PBS for 1 hour at room temperature. The primary antibody (HA500213, 1/1,000) was used in 5% BSA at room temperature for 2 hours. Goat Anti-Rabbit IgG - HRP Secondary Antibody (HA1001) at 1:200,000 dilution was used for 1 hour at room temperature.
Positive control:
Lane 1: Jurkat cell lysate
Lane 2: Rat ovary tissue lysate
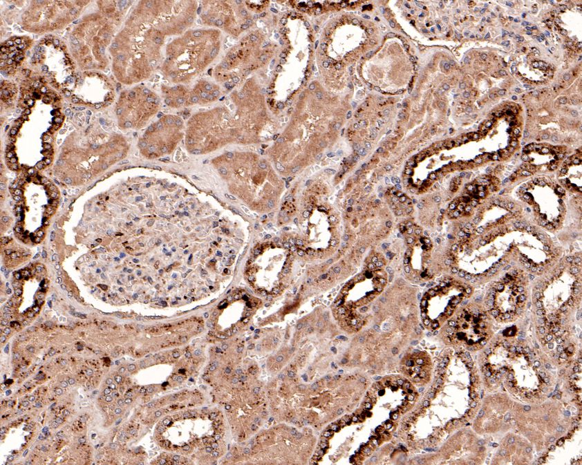
HA500213_2.jpg Fig2: Immunohistochemical analysis of paraffin-embedded human kidney tissue using anti-KCNK6 antibody. The section was pre-treated using heat mediated antigen retrieval with Tris-EDTA buffer (pH 8.0-8.4) for 20 minutes.The tissues were blocked in 5% BSA for 30 minutes at room temperature, washed with ddH2O and PBS, and then probed with the primary antibody (HA500213, 1/100) for 30 minutes at room temperature. The detection was performed using an HRP conjugated compact polymer system. DAB was used as the chromogen. Tissues were counterstained with hematoxylin and mounted with DPX.
HA500213_3.jpg Fig3: Immunohistochemical analysis of paraffin-embedded human placenta tissue using anti-KCNK6 antibody. The section was pre-treated using heat mediated antigen retrieval with Tris-EDTA buffer (pH 8.0-8.4) for 20 minutes.The tissues were blocked in 5% BSA for 30 minutes at room temperature, washed with ddH2O and PBS, and then probed with the primary antibody (HA500213, 1/100) for 30 minutes at room temperature. The detection was performed using an HRP conjugated compact polymer system. DAB was used as the chromogen. Tissues were counterstained with hematoxylin and mounted with DPX.
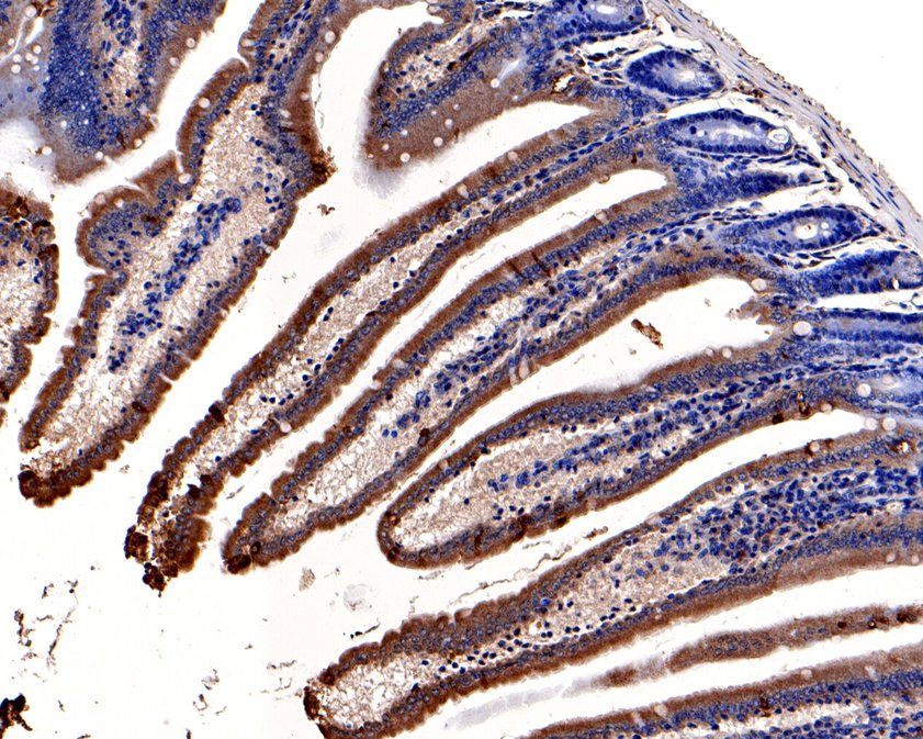
HA500213_4.jpg Fig4: Immunohistochemical analysis of paraffin-embedded mouse small intestine tissue using anti-KCNK6 antibody. The section was pre-treated using heat mediated antigen retrieval with Tris-EDTA buffer (pH 8.0-8.4) for 20 minutes.The tissues were blocked in 5% BSA for 30 minutes at room temperature, washed with ddH2O and PBS, and then probed with the primary antibody (HA500213, 1/100) for 30 minutes at room temperature. The detection was performed using an HRP conjugated compact polymer system. DAB was used as the chromogen. Tissues were counterstained with hematoxylin and mounted with DPX.
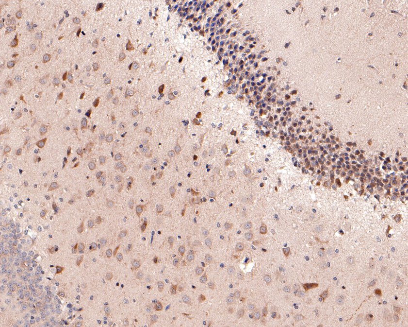
HA500213_5.jpg Fig5: Immunohistochemical analysis of paraffin-embedded rat brain tissue using anti-KCNK6 antibody. The section was pre-treated using heat mediated antigen retrieval with Tris-EDTA buffer (pH 8.0-8.4) for 20 minutes.The tissues were blocked in 5% BSA for 30 minutes at room temperature, washed with ddH2O and PBS, and then probed with the primary antibody (HA500213, 1/100) for 30 minutes at room temperature. The detection was performed using an HRP conjugated compact polymer system. DAB was used as the chromogen. Tissues were counterstained with hematoxylin and mounted with DPX.
Note: All products are “FOR RESEARCH USE ONLY AND ARE NOT INTENDED FOR DIAGNOSTIC OR THERAPEUTIC USE”.