SNRPD3 Rabbit Polyclonal Antibody
cat.: HA500254
Product Type: Rabbit polyclonal IgG, primary antibodies
Species reactivity: Human, Mouse, Rat
Applications: WB, IF-Cell, IHC-P
Clonality: Polyclonal
Form: Liquid
Storage condition: Shipped at 4℃. Store at +4℃ short term (1-2 weeks). It is recommended to aliquot into single-use upon delivery. Store at -20℃ long term.
Storage buffer: 1*TBS (pH7.4), 0.2% BSA, 50% Glycerol. Preservative: 0.05% Sodium Azide.
Concentration: 1ug/ul
Purification: Immunogen affinity purified.
Molecular weight: Predicted band size: 14 kDa
Isotype: IgG
Immunogen: Recombinant protein within C-terminal human SNRPD3.
Positive control: MCF7 cell lysate, Jurkat cell lysate, 293T cell lysate, NIH/3T3 cell lysate, PC-12 cell lysate, MCF7, NIH/3T3, human colorectal carcinoma tissue, human kidney tissue.
Subcellular location: Cytoplasm, cytosol, Nucleus.
Recommended Dilutions:
  WB
  IF-Cell
  IHC-P

1:5,000
1:100
1:100-1:400
Uniprot #: SwissProt: P62318 Human | P62320 Mouse
Entrez Gene: 687711 Rat
Alternative names: Sm D3 Sm-D3 small nuclear ribonucleoprotein D3 polypeptide 18kDa Small nuclear ribonucleoprotein Sm D3 SmD3 SMD3_HUMAN snRNP core protein D3 SNRPD3
Images
HA500254_1.jpg Fig1: Western blot analysis of SNRPD3 on different lysates with Rabbit anti-SNRPD3 antibody (HA500254) at 1/5,000 dilution.

Lane 1: MCF7 cell lysate
Lane 2: Jurkat cell lysate
Lane 3: 293T cell lysate
Lane 4: NIH/3T3 cell lysate
Lane 5: PC-12 cell lysate

Lysates/proteins at 15 µg/Lane.

Predicted band size: 14 kDa
Observed band size: 14 kDa

Exposure time: 14 seconds; ECL: K1801;

4-20% SDS-PAGE gel.

Proteins were transferred to a PVDF membrane and blocked with 5% NFDM/TBST for 1 hour at room temperature. The primary antibody (HA500254) at 1/5,000 dilution was used in primary antibody dilution (K1803) at 4℃ overnight. Goat Anti-Rabbit IgG - HRP Secondary Antibody (HA1001) at 1/50,000 dilution was used for 1 hour at room temperature.
HA500254_2.jpg Fig2: Immunocytochemistry analysis of MCF7 cells labeling SNRPD3 with Rabbit anti-SNRPD3 antibody (HA500254) at 1/100 dilution.

Cells were fixed in 4% paraformaldehyde for 15 minutes at room temperature, permeabilized with 0.1% Triton X-100 in PBS for 15 minutes at room temperature, then blocked with 1% BSA in 10% negative goat serum for 1 hour at room temperature. Cells were then incubated with Rabbit anti-SNRPD3 antibody (HA500254) at 1/100 dilution in 1% BSA in PBST overnight at 4 ℃. Goat Anti-Rabbit IgG H&L (iFluor™ 488, HA1121) was used as the secondary antibody at 1/1,000 dilution. PBS instead of the primary antibody was used as the secondary antibody only control. Nuclear DNA was labelled in blue with DAPI.

Beta tubulin (HA601187, red) was stained at 1/100 dilution overnight at +4℃. Goat Anti-Mouse IgG H&L (iFluor™ 594, HA1126) was used as the secondary antibody at 1/1,000 dilution.
HA500254_3.jpg Fig3: Immunocytochemistry analysis of NIH/3T3 cells labeling SNRPD3 with Rabbit anti-SNRPD3 antibody (HA500254) at 1/100 dilution.

Cells were fixed in 4% paraformaldehyde for 15 minutes at room temperature, permeabilized with 0.1% Triton X-100 in PBS for 15 minutes at room temperature, then blocked with 1% BSA in 10% negative goat serum for 1 hour at room temperature. Cells were then incubated with Rabbit anti-SNRPD3 antibody (HA500254) at 1/100 dilution in 1% BSA in PBST overnight at 4 ℃. Goat Anti-Rabbit IgG H&L (iFluor™ 488, HA1121) was used as the secondary antibody at 1/1,000 dilution. PBS instead of the primary antibody was used as the secondary antibody only control. Nuclear DNA was labelled in blue with DAPI.

Beta tubulin (HA601187, red) was stained at 1/100 dilution overnight at +4℃. Goat Anti-Mouse IgG H&L (iFluor™ 594, HA1126) was used as the secondary antibody at 1/1,000 dilution.
HA500254_4.jpg Fig4: Immunohistochemical analysis of paraffin-embedded human colorectal carcinoma tissue using anti-SNRPD3 antibody. The section was pre-treated using heat mediated antigen retrieval with sodium citrate buffer (pH 6.0) for 20 minutes. The tissues were blocked in 5% BSA for 30 minutes at room temperature, washed with ddH2O and PBS, and then probed with the primary antibody (HA500254, 1/100) for 30 minutes at room temperature. The detection was performed using an HRP conjugated compact polymer system. DAB was used as the chromogen. Tissues were counterstained with hematoxylin and mounted with DPX.
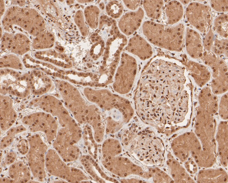
HA500254_5.jpg Fig5: Immunohistochemical analysis of paraffin-embedded human kidney tissue using anti-SNRPD3 antibody. The section was pre-treated using heat mediated antigen retrieval with sodium citrate buffer (pH 6.0) for 20 minutes. The tissues were blocked in 5% BSA for 30 minutes at room temperature, washed with ddH2O and PBS, and then probed with the primary antibody (HA500254, 1/100) for 30 minutes at room temperature. The detection was performed using an HRP conjugated compact polymer system. DAB was used as the chromogen. Tissues were counterstained with hematoxylin and mounted with DPX.
Note: All products are “FOR RESEARCH USE ONLY AND ARE NOT INTENDED FOR DIAGNOSTIC OR THERAPEUTIC USE”.