GNG4 Rabbit Polyclonal Antibody
cat.: HA500259
Product Type: Rabbit polyclonal IgG, primary antibodies
Species reactivity: Human, Mouse
Applications: WB, IF-Cell, IHC-P
Clonality: Polyclonal
Form: Liquid
Storage condition: Shipped at 4℃. Store at +4℃ short term (1-2 weeks). It is recommended to aliquot into single-use upon delivery. Store at -20℃ long term.
Storage buffer: PBS (pH7.4), 0.05% BSA, 40% Glycerol. Preservative: 0.05% Sodium Azide.
Concentration: 1ug/ul
Purification: Immunogen affinity purified.
Molecular weight: Predicted band size: 8 kDa
Isotype: IgG
Immunogen: Recombinant protein within human GNG4 aa 1-75.
Positive control: SiHa, human pancreas tissue, human kidney tissue, mouse kidney tissue.
Subcellular location: Cell membrane.
Recommended Dilutions:
  WB
  IF-Cell
  IHC-P

1:500
1:200
1:200
Uniprot #: SwissProt: P50150 Human | P50153 Mouse
Alternative names: GNG4 GNGT4 Guanine nucleotide-binding protein G(I)/G(S)/G(O) gamma-4 subunit
Images
HA500259_1.jpg Fig1: Western blot analysis of GNG4 on HDG11 recombinant protein. Proteins were transferred to a PVDF membrane and blocked with 5% NFDM/TBST for 1 hour at room temperature. The primary antibody (HA500259, 1/500) was used in 5% NFDM/TBST at room temperature for 2 hours. Goat Anti-Rabbit IgG - HRP Secondary Antibody (HA1001) at 1:200,000 dilution was used for 1 hour at room temperature.
HA500259_2.jpg Fig2: ICC staining of GNG4 in SiHa cells (green). Formalin fixed cells were permeabilized with 0.1% Triton X-100 in TBS for 10 minutes at room temperature and blocked with 10% negative goat serum for 15 minutes at room temperature. Cells were probed with the primary antibody (HA500259, 1/200) for 1 hour at room temperature, washed with PBS. Alexa Fluor®488 conjugate-Goat anti-Rabbit IgG was used as the secondary antibody at 1/1,000 dilution. The nuclear counter stain is DAPI (blue).
HA500259_3.jpg Fig3: Immunohistochemical analysis of paraffin-embedded human pancreas tissue using anti-GNG4 antibody. The section was pre-treated using heat mediated antigen retrieval with Tris-EDTA buffer (pH 9.0) for 20 minutes.The tissues were blocked in 1% BSA for 30 minutes at room temperature, washed with ddH2O and PBS, and then probed with the primary antibody (HA500259, 1/200) for 30 minutes at room temperature. The detection was performed using an HRP conjugated compact polymer system. DAB was used as the chromogen. Tissues were counterstained with hematoxylin and mounted with DPX.
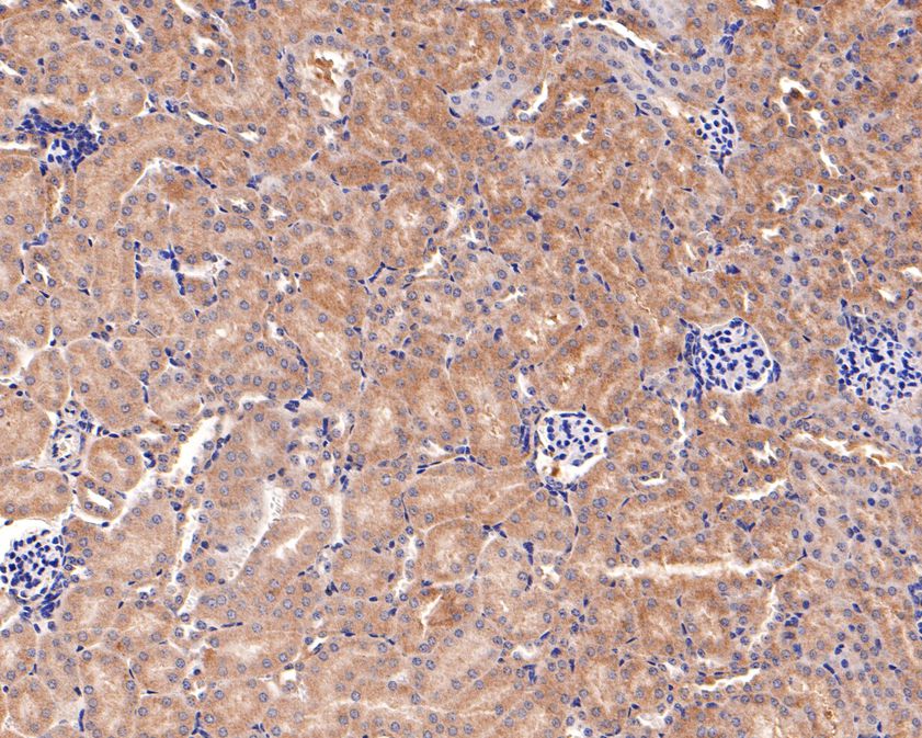
HA500259_4.jpg Fig4: Immunohistochemical analysis of paraffin-embedded human kidney tissue using anti-GNG4 antibody. The section was pre-treated using heat mediated antigen retrieval with Tris-EDTA buffer (pH 9.0) for 20 minutes.The tissues were blocked in 1% BSA for 30 minutes at room temperature, washed with ddH2O and PBS, and then probed with the primary antibody (HA500259, 1/200) for 30 minutes at room temperature. The detection was performed using an HRP conjugated compact polymer system. DAB was used as the chromogen. Tissues were counterstained with hematoxylin and mounted with DPX.
HA500259_5.jpg Fig5: Immunohistochemical analysis of paraffin-embedded mouse kidney tissue using anti-GNG4 antibody. The section was pre-treated using heat mediated antigen retrieval with Tris-EDTA buffer (pH 9.0) for 20 minutes.The tissues were blocked in 1% BSA for 30 minutes at room temperature, washed with ddH2O and PBS, and then probed with the primary antibody (HA500259, 1/200) for 30 minutes at room temperature. The detection was performed using an HRP conjugated compact polymer system. DAB was used as the chromogen. Tissues were counterstained with hematoxylin and mounted with DPX.
Note: All products are “FOR RESEARCH USE ONLY AND ARE NOT INTENDED FOR DIAGNOSTIC OR THERAPEUTIC USE”.