FAM13C1 Rabbit Polyclonal Antibody
cat.: HA500274
Product Type: Rabbit polyclonal IgG, primary antibodies
Species reactivity: Human, Mouse, Rat
Applications: IHC-P, IF-Cell
Clonality: Polyclonal
Form: Liquid
Storage condition: Shipped at 4℃. Store at +4℃ short term (1-2 weeks). It is recommended to aliquot into single-use upon delivery. Store at -20℃ long term.
Storage buffer: 1*TBS (pH7.4), 0.2% BSA, 50% Glycerol. Preservative: 0.05% Sodium Azide.
Concentration: 1ug/ul
Purification: Immunogen affinity purified.
Molecular weight: Predicted band size: 66 kDa
Isotype: IgG
Immunogen: Synthetic peptide within human FAM13C1 aa 100-150 / 585.
Positive control: Human colon tissue, mouse colon tissue, rat colon tissue, HT-29.
Subcellular location: Nuclear and/or cytoplasmic expression in most tissues, some also show membranous expression.
Recommended Dilutions:
  IHC-P
  IF-Cell

1:1,000
1:50-1:100
Uniprot #: SwissProt: Q8NE31 Human | Q9DBR2 Mouse
Entrez Gene: 294565 Rat
Alternative names: Protein FAM13C FAM13C FAM13C1 FAM13C FAM13C1
Images
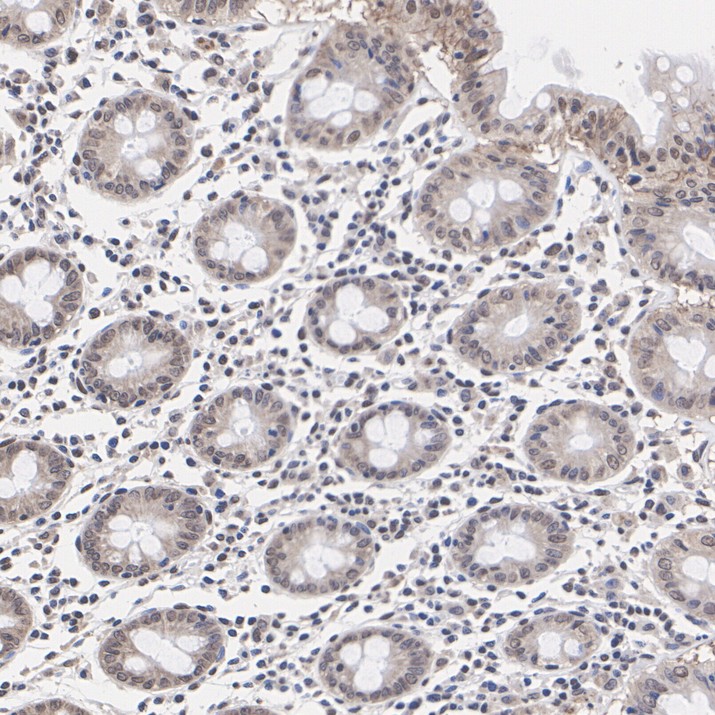
HA500274_1.jpg Fig1: Immunohistochemical analysis of paraffin-embedded human colon tissue with Rabbit anti-FAM13C1 antibody (HA500274) at 1/1,000 dilution.

The section was pre-treated using heat mediated antigen retrieval with Tris-EDTA buffer (pH 9.0) for 20 minutes. The tissues were blocked in 1% BSA for 20 minutes at room temperature, washed with ddH2O and PBS, and then probed with the primary antibody (HA500274) at 1/1,000 dilution for 1 hour at room temperature. The detection was performed using an HRP conjugated compact polymer system. DAB was used as the chromogen. Tissues were counterstained with hematoxylin and mounted with DPX.
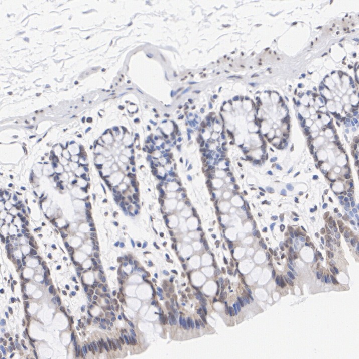
HA500274_2.jpg Fig2: Immunohistochemical analysis of paraffin-embedded mouse colon tissue with Rabbit anti-FAM13C1 antibody (HA500274) at 1/1,000 dilution.

The section was pre-treated using heat mediated antigen retrieval with Tris-EDTA buffer (pH 9.0) for 20 minutes. The tissues were blocked in 1% BSA for 20 minutes at room temperature, washed with ddH2O and PBS, and then probed with the primary antibody (HA500274) at 1/1,000 dilution for 1 hour at room temperature. The detection was performed using an HRP conjugated compact polymer system. DAB was used as the chromogen. Tissues were counterstained with hematoxylin and mounted with DPX.
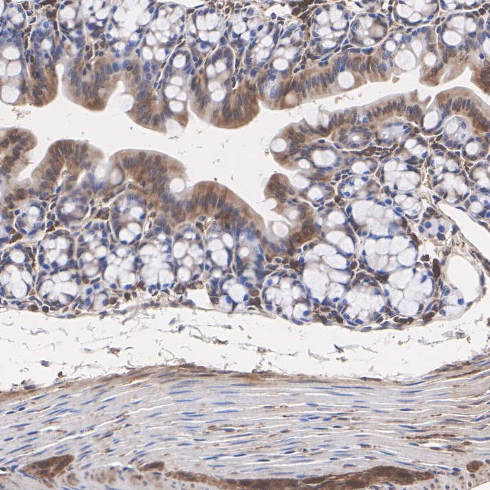
HA500274_3.jpg Fig3: Immunohistochemical analysis of paraffin-embedded rat colon tissue with Rabbit anti-FAM13C1 antibody (HA500274) at 1/1,000 dilution.

The section was pre-treated using heat mediated antigen retrieval with Tris-EDTA buffer (pH 9.0) for 20 minutes. The tissues were blocked in 1% BSA for 20 minutes at room temperature, washed with ddH2O and PBS, and then probed with the primary antibody (HA500274) at 1/1,000 dilution for 1 hour at room temperature. The detection was performed using an HRP conjugated compact polymer system. DAB was used as the chromogen. Tissues were counterstained with hematoxylin and mounted with DPX.
HA500274_4.jpg Fig4: ICC staining of FAM13C1 in HT-29 cells (green). Formalin fixed cells were permeabilized with 0.1% Triton X-100 in TBS for 10 minutes at room temperature and blocked with 10% negative goat serum for 15 minutes at room temperature. Cells were probed with the primary antibody (HA500274, 1/50) for 1 hour at room temperature, washed with PBS. Alexa Fluor®488 conjugate-Goat anti-Rabbit IgG was used as the secondary antibody at 1/1,000 dilution. The nuclear counter stain is DAPI (blue).
Note: All products are “FOR RESEARCH USE ONLY AND ARE NOT INTENDED FOR DIAGNOSTIC OR THERAPEUTIC USE”.