PSMB7 Rabbit Polyclonal Antibody
cat.: HA500345
Product Type: Rabbit polyclonal IgG, primary antibodies
Species reactivity: Human, Mouse, Rat, Monkey
Applications: WB, IHC-P, IF-Cell, FC
Clonality: Polyclonal
Form: Liquid
Storage condition: Shipped at 4℃. Store at +4℃ short term (1-2 weeks). It is recommended to aliquot into single-use upon delivery. Store at -20℃ long term.
Storage buffer: PBS (pH7.4), 0.1% BSA, 40% Glycerol. Preservative: 0.05% Sodium Azide.
Concentration: 1ug/ul
Purification: Immunogen affinity purified.
Molecular weight: Predicted band size: 30 kDa
Isotype: IgG
Immunogen: Recombinant protein within Human PSMB7 aa 1-277 / 277.
Positive control: COS-1 cell lysate, Neuro-2a cell lysate, C2C12 cell lysate, Rat testis tissue lysate, Rat kidney tissue lysate, SW480 cell lysate, HepG2 cell lysate, HeLa cell lysate, mouse small intestine tissue, rat small intestine tissue, human lung carcinoma tissue, human colon tissue, C2C12.
Subcellular location: Cytoplasm, Nucleus.
Recommended Dilutions:
  WB
  IHC-P
  IF-Cell
  FC

1:500-1:5,000
1:600-1:1,000
1:200
1:1,000
Uniprot #: SwissProt: Q99436 Human | P70195 Mouse | Q9JHW0 Rat
Alternative names: Macropain chain Z Multicatalytic endopeptidase complex chain Z Proteasome (prosome macropain) subunit beta type 7 Proteasome beta 7 subunit Proteasome catalytic subunit 2 Proteasome subunit alpha Proteasome subunit beta 7 Proteasome subunit beta type-7 Proteasome subunit Z PSB7_HUMAN PSMB7 PUP1 Z
Images
HA500345_1.jpg Fig1: Western blot analysis of PSMB7 on different lysates with Rabbit anti-PSMB7 antibody (HA500345) at 1/5,000 dilution.

Lane 1: COS-1 cell lysate (20 µg/Lane)
Lane 2: Neuro-2a cell lysate (20 µg/Lane)
Lane 3: C2C12 cell lysate (20 µg/Lane)
Lane 4: Rat testis tissue lysate (40 µg/Lane)
Lane 5: Rat kidney tissue lysate (40 µg/Lane)

Predicted band size: 30 kDa
Observed band size: 27 kDa

Exposure time: 4 seconds; ECL: K1801;

4-20% SDS-PAGE gel.

Proteins were transferred to a PVDF membrane and blocked with 5% NFDM/TBST for 1 hour at room temperature. The primary antibody (HA500345) at 1/5,000 dilution was used in primary antibody dilution (K1803) at 4℃ overnight. Goat Anti-Rabbit IgG - HRP Secondary Antibody (HA1001) at 1/50,000 dilution was used for 1 hour at room temperature.
HA500345_2.jpg Fig2: Western blot analysis of PSMB7 on different lysates with Rabbit anti-PSMB7 antibody (HA500345) at 1/500 dilution.

Lane 1: SW480 cell lysate
Lane 2: HepG2 cell lysate
Lane 3: HeLa cell lysate

Lysates/proteins at 10 µg/Lane.

Predicted band size: 30 kDa
Observed band size: 30 kDa

Exposure time: 2 minutes;

15% SDS-PAGE gel.

Proteins were transferred to a PVDF membrane and blocked with 5% NFDM/TBST for 1 hour at room temperature. The primary antibody (HA500345) at 1/500 dilution was used in 5% NFDM/TBST at room temperature for 2 hours. Goat Anti-Rabbit IgG - HRP Secondary Antibody (HA1001) at 1/300,000 dilution was used for 1 hour at room temperature.
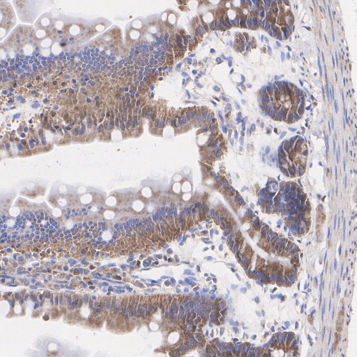
HA500345_3.jpg Fig3: Immunohistochemical analysis of paraffin-embedded mouse small intestine tissue with Rabbit anti-PSMB7 antibody (HA500345) at 1/1,000 dilution.

The section was pre-treated using heat mediated antigen retrieval with Tris-EDTA buffer (pH 9.0) for 20 minutes. The tissues were blocked in 1% BSA for 20 minutes at room temperature, washed with ddH2O and PBS, and then probed with the primary antibody (HA500345) at 1/1,000 dilution for 1 hour at room temperature. The detection was performed using an HRP conjugated compact polymer system. DAB was used as the chromogen. Tissues were counterstained with hematoxylin and mounted with DPX.
HA500345_4.jpg Fig4: Immunohistochemical analysis of paraffin-embedded rat small intestine tissue with Rabbit anti-PSMB7 antibody (HA500345) at 1/1,000 dilution.

The section was pre-treated using heat mediated antigen retrieval with Tris-EDTA buffer (pH 9.0) for 20 minutes. The tissues were blocked in 1% BSA for 20 minutes at room temperature, washed with ddH2O and PBS, and then probed with the primary antibody (HA500345) at 1/1,000 dilution for 1 hour at room temperature. The detection was performed using an HRP conjugated compact polymer system. DAB was used as the chromogen. Tissues were counterstained with hematoxylin and mounted with DPX.
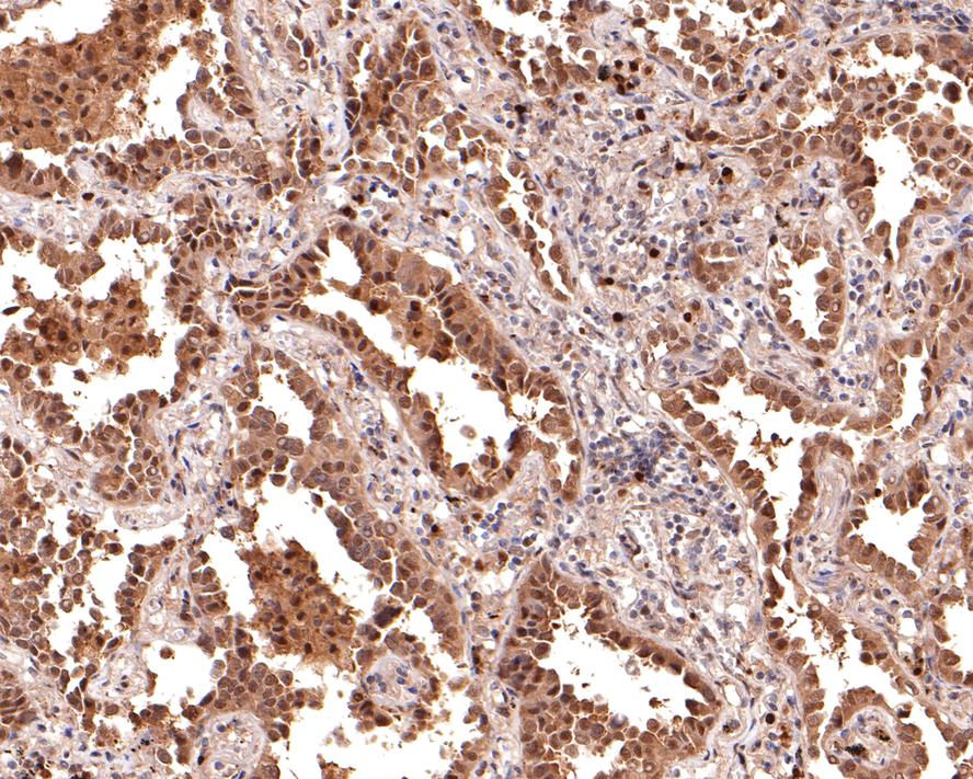
HA500345_5.jpg Fig5: Immunohistochemical analysis of paraffin-embedded human lung carcinoma tissue with Rabbit anti-PSMB7 antibody (HA500345) at 1/600 dilution.

The section was pre-treated using heat mediated antigen retrieval with sodium citrate buffer (pH 6.0) for 2 minutes. The tissues were blocked in 1% BSA for 20 minutes at room temperature, washed with ddH2O and PBS, and then probed with the primary antibody (HA500345) at 1/600 dilution for 1 hour at room temperature. The detection was performed using an HRP conjugated compact polymer system. DAB was used as the chromogen. Tissues were counterstained with hematoxylin and mounted with DPX.
HA500345_6.jpg Fig6: Immunohistochemical analysis of paraffin-embedded human colon tissue with Rabbit anti-PSMB7 antibody (HA500345) at 1/600 dilution.

The section was pre-treated using heat mediated antigen retrieval with sodium citrate buffer (pH 6.0) for 2 minutes. The tissues were blocked in 1% BSA for 20 minutes at room temperature, washed with ddH2O and PBS, and then probed with the primary antibody (HA500345) at 1/600 dilution for 1 hour at room temperature. The detection was performed using an HRP conjugated compact polymer system. DAB was used as the chromogen. Tissues were counterstained with hematoxylin and mounted with DPX.
HA500345_7.jpg Fig7: Immunocytochemistry analysis of C2C12 cells labeling PSMB7 with Rabbit anti-PSMB7 antibody (HA500345) at 1/200 dilution.

Cells were fixed in 4% paraformaldehyde for 15 minutes at room temperature, permeabilized with 0.1% Triton X-100 in PBS for 15 minutes at room temperature, then blocked with 1% BSA in 10% negative goat serum for 1 hour at room temperature. Cells were then incubated with Rabbit anti-PSMB7 antibody (HA500345) at 1/200 dilution in 1% BSA in PBST overnight at 4 ℃. Goat Anti-Rabbit IgG H&L (iFluor™ 488, HA1121) was used as the secondary antibody at 1/1,000 dilution. PBS instead of the primary antibody was used as the secondary antibody only control. Nuclear DNA was labelled in blue with DAPI.

Beta tubulin (HA601187, red) was stained at 1/100 dilution overnight at +4℃. Goat Anti-Mouse IgG H&L (iFluor™ 594, HA1126) was used as the secondary antibody at 1/1,000 dilution.
HA500345_8.jpg Fig8: Flow cytometric analysis of C2C12 cells labeling PSMB7.

Cells were fixed and permeabilized. Then stained with the primary antibody (HA500345, 1/1,000) (red) compared with Rabbit IgG Isotype Control (green). After incubation of the primary antibody at +4℃ for an hour, the cells were stained with a iFluor™ 488 conjugate-Goat anti-Rabbit IgG Secondary antibody (HA1121) at 1/1,000 dilution for 30 minutes at +4℃. Unlabelled sample was used as a control (cells without incubation with primary antibody; black).
Note: All products are “FOR RESEARCH USE ONLY AND ARE NOT INTENDED FOR DIAGNOSTIC OR THERAPEUTIC USE”.