PSMD2 Rabbit Polyclonal Antibody
cat.: HA500353
Product Type: Rabbit polyclonal IgG, primary antibodies
Species reactivity: Human, Mouse, Rat
Applications: WB, IF-Cell, IHC-P, FC
Clonality: Polyclonal
Form: Liquid
Storage condition: Shipped at 4℃. Store at +4℃ short term (1-2 weeks). It is recommended to aliquot into single-use upon delivery. Store at -20℃ long term.
Storage buffer: PBS (pH7.4), 0.1% BSA, 40% Glycerol. Preservative: 0.05% Sodium Azide.
Concentration: 1ug/ul
Purification: Immunogen affinity purified.
Molecular weight: Predicted band size: 100 kDa
Isotype: IgG
Immunogen: Recombinant protein within Human PSMD2 aa 1-200 / 908.
Positive control: 293T cell lysate, Jurkat cell lysate, Hela cell lysate, NIH/3T3 cell lysate, Mouse heart tissue lysate, Rat testis tissue lysate, Rat heart tissue lysate, HeLa, NIH/3T3, human lung carcinoma tissue, human striated muscle tissue, mouse heart tissue, rat large intestine tissue.
Subcellular location: Cytosol, extracellular exosome, extracellular region, nucleoplasm, nucleus, proteasome storage granule.
Recommended Dilutions:
  WB
  IF-Cell
  IHC-P
  FC

1:1,000
1:100
1:1,000-1:1,500
1:1,000
Uniprot #: SwissProt: Q13200 Human | Q8VDM4 Mouse | Q4FZT9 Rat
Alternative names: 26S proteasome non-ATPase regulatory subunit 2 26S proteasome regulatory subunit RPN1 26S proteasome regulatory subunit S2 26S proteasome subunit p97 55.11 protein MGC14274 P97 Proteasome (prosome macropain) 26S subunit non ATPase 2 Proteasome 26S subunit, non-ATPase, 2 Proteasome 26S, subunit 2 Protein 55.11 Psmd2 PSMD2_HUMAN Rpn1 S2 TNFR associated protein 2 TRAP2 Tumor necrosis factor receptor associated protein 2 Tumor necrosis factor type 1 receptor-associated protein 2
Images
HA500353_1.jpg Fig1: Western blot analysis of PSMD2 on different lysates with Rabbit anti-PSMD2 antibody (HA500353) at 1/1,000 dilution.

Lane 1: 293T cell lysate (20 µg/Lane)
Lane 2: Jurkat cell lysate (20 µg/Lane)
Lane 3: Hela cell lysate (20 µg/Lane)
Lane 4: NIH/3T3 cell lysate (20 µg/Lane)
Lane 5: Mouse heart tissue lysate (27 µg/Lane)
Lane 6: Rat testis tissue lysate (40 µg/Lane)
Lane 7: Rat heart tissue lysate (20 µg/Lane)

Predicted band size: 100 kDa
Observed band size: 90 kDa

Exposure time: 29 seconds;

4-20% SDS-PAGE gel.

Proteins were transferred to a PVDF membrane and blocked with 5% NFDM/TBST for 1 hour at room temperature. The primary antibody (HA500353) at 1/1,000 dilution was used in 5% NFDM/TBST at room temperature for 2 hours. Goat Anti-Rabbit IgG - HRP Secondary Antibody (HA1001) at 1:100,000 dilution was used for 1 hour at room temperature.
HA500353_2.jpg Fig2: Immunocytochemistry analysis of HeLa cells labeling PSMD2 with Rabbit anti-PSMD2 antibody (HA500353) at 1/100 dilution.

Cells were fixed in 4% paraformaldehyde for 15 minutes at room temperature, permeabilized with 0.1% Triton X-100 in PBS for 15 minutes at room temperature, then blocked with 1% BSA in 10% negative goat serum for 1 hour at room temperature. Cells were then incubated with Rabbit anti-PSMD2 antibody (HA500353) at 1/100 dilution in 1% BSA in PBST overnight at 4 ℃. Goat Anti-Rabbit IgG H&L (iFluor™ 488, HA1121) was used as the secondary antibody at 1/1,000 dilution. PBS instead of the primary antibody was used as the secondary antibody only control. Nuclear DNA was labelled in blue with DAPI.

Beta tubulin (HA601187, red) was stained at 1/100 dilution overnight at +4℃. Goat Anti-Mouse IgG H&L (iFluor™ 594, HA1126) was used as the secondary antibody at 1/1,000 dilution.
HA500353_3.jpg Fig3: Immunocytochemistry analysis of NIH/3T3 cells labeling PSMD2 with Rabbit anti-PSMD2 antibody (HA500353) at 1/100 dilution.

Cells were fixed in 4% paraformaldehyde for 15 minutes at room temperature, permeabilized with 0.1% Triton X-100 in PBS for 15 minutes at room temperature, then blocked with 1% BSA in 10% negative goat serum for 1 hour at room temperature. Cells were then incubated with Rabbit anti-PSMD2 antibody (HA500353) at 1/100 dilution in 1% BSA in PBST overnight at 4 ℃. Goat Anti-Rabbit IgG H&L (iFluor™ 488, HA1121) was used as the secondary antibody at 1/1,000 dilution. PBS instead of the primary antibody was used as the secondary antibody only control. Nuclear DNA was labelled in blue with DAPI.

Beta tubulin (HA601187, red) was stained at 1/100 dilution overnight at +4℃. Goat Anti-Mouse IgG H&L (iFluor™ 594, HA1126) was used as the secondary antibody at 1/1,000 dilution.
HA500353_4.jpg Fig4: Immunohistochemical analysis of paraffin-embedded human lung carcinoma tissue with Rabbit anti-PSMD2 antibody (HA500353) at 1/1,000 dilution.

The section was pre-treated using heat mediated antigen retrieval with Tris-EDTA buffer (pH 9.0) for 20 minutes. The tissues were blocked in 1% BSA for 20 minutes at room temperature, washed with ddH2O and PBS, and then probed with the primary antibody (HA500353) at 1/1,000 dilution for 1 hour at room temperature. The detection was performed using an HRP conjugated compact polymer system. DAB was used as the chromogen. Tissues were counterstained with hematoxylin and mounted with DPX.
HA500353_5.jpg Fig5: Immunohistochemical analysis of paraffin-embedded human striated muscle tissue with Rabbit anti-PSMD2 antibody (HA500353) at 1/1,500 dilution.

The section was pre-treated using heat mediated antigen retrieval with Tris-EDTA buffer (pH 9.0) for 20 minutes. The tissues were blocked in 1% BSA for 20 minutes at room temperature, washed with ddH2O and PBS, and then probed with the primary antibody (HA500353) at 1/1,500 dilution for 1 hour at room temperature. The detection was performed using an HRP conjugated compact polymer system. DAB was used as the chromogen. Tissues were counterstained with hematoxylin and mounted with DPX.
HA500353_6.jpg Fig6: Immunohistochemical analysis of paraffin-embedded mouse heart tissue with Rabbit anti-PSMD2 antibody (HA500353) at 1/1,500 dilution.

The section was pre-treated using heat mediated antigen retrieval with Tris-EDTA buffer (pH 9.0) for 20 minutes. The tissues were blocked in 1% BSA for 20 minutes at room temperature, washed with ddH2O and PBS, and then probed with the primary antibody (HA500353) at 1/1,500 dilution for 1 hour at room temperature. The detection was performed using an HRP conjugated compact polymer system. DAB was used as the chromogen. Tissues were counterstained with hematoxylin and mounted with DPX.
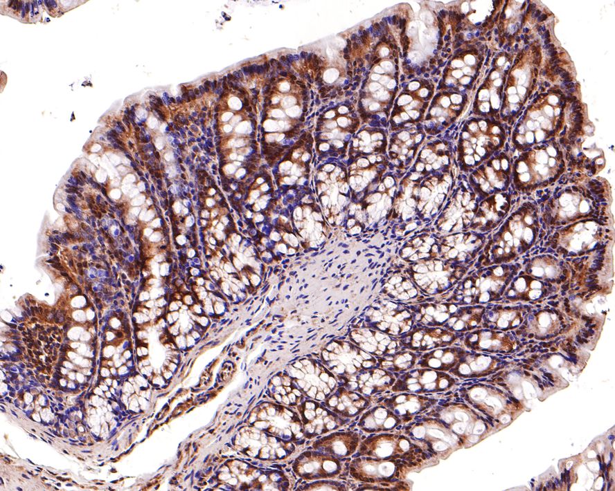
HA500353_7.jpg Fig7: Immunohistochemical analysis of paraffin-embedded rat large intestine tissue with Rabbit anti-PSMD2 antibody (HA500353) at 1/1,000 dilution.

The section was pre-treated using heat mediated antigen retrieval with Tris-EDTA buffer (pH 9.0) for 20 minutes. The tissues were blocked in 1% BSA for 20 minutes at room temperature, washed with ddH2O and PBS, and then probed with the primary antibody (HA500353) at 1/1,000 dilution for 1 hour at room temperature. The detection was performed using an HRP conjugated compact polymer system. DAB was used as the chromogen. Tissues were counterstained with hematoxylin and mounted with DPX.
HA500353_8.jpg Fig8: Flow cytometric analysis of HeLa cells labeling PSMD2.

Cells were fixed and permeabilized. Then stained with the primary antibody (HA500353, 1/1,000) (red) compared with Rabbit IgG Isotype Control (green). After incubation of the primary antibody at +4℃ for an hour, the cells were stained with a iFluor™ 488 conjugate-Goat anti-Rabbit IgG Secondary antibody (HA1121) at 1/1,000 dilution for 30 minutes at +4℃. Unlabelled sample was used as a control (cells without incubation with primary antibody; black).
HA500353_9.jpg Fig9: Flow cytometric analysis of NIH/3T3 cells labeling PSMD2.

Cells were fixed and permeabilized. Then stained with the primary antibody (HA500353, 1/1,000) (red) compared with Rabbit IgG Isotype Control (green). After incubation of the primary antibody at +4℃ for an hour, the cells were stained with a iFluor™ 488 conjugate-Goat anti-Rabbit IgG Secondary antibody (HA1121) at 1/1,000 dilution for 30 minutes at +4℃. Unlabelled sample was used as a control (cells without incubation with primary antibody; black).
Note: All products are “FOR RESEARCH USE ONLY AND ARE NOT INTENDED FOR DIAGNOSTIC OR THERAPEUTIC USE”.