PSMC2 Rabbit Polyclonal Antibody
cat.: HA500404
Product Type: Rabbit polyclonal IgG, primary antibodies
Species reactivity: Human, Mouse, Rat, Monkey
Applications: WB, IF-Cell, IHC-P, FC
Clonality: Polyclonal
Form: Liquid
Storage condition: Shipped at 4℃. Store at +4℃ short term (1-2 weeks). It is recommended to aliquot into single-use upon delivery. Store at -20℃ long term.
Storage buffer: PBS (pH7.4), 0.1% BSA, 40% Glycerol. Preservative: 0.05% Sodium Azide.
Concentration: 1.70ug/ul
Purification: Immunogen affinity purified.
Molecular weight: Predicted band size: 49 kDa
Isotype: IgG
Immunogen: Recombinant protein within human PSMC2 aa 2-251.
Positive control: HeLa cell lysate, T-47D cell lysate, COS-1 cell lysate, 3T3-L1 cell lysate, C6 cell lysate, PC-12 cell lysate, SiHa, 3T3-L1, C6, human kidney tissue, mouse kidney tissue, rat kidney tissue.
Subcellular location: Cytoplasm.
Recommended Dilutions:
  WB
  IF-Cell
  IHC-P
  FC

1:5,000
1:200
1:1,000
1:1,000
Uniprot #: SwissProt: P35998 Human | P46471 Mouse | Q63347 Rat
Alternative names: 26S protease complex 26S protease regulatory subunit 7 26S proteasome AAA-ATPase subunit RPT1 mammalian suppressor of sgv-1 of yeast MSS1 Nbla10058 protease 26S subunit 7 Proteasome 19S S7 proteasome 26S ATPase subunit 2 Proteasome 26S subunit ATPase 2 Proteasome 26S subunit ATPase 2 Protein MSS1 PRS7_HUMAN PSMC2 putative protein product of Nbla10058 S7
Images
HA500404_1.jpg Fig1: Western blot analysis of PSMC2 on different lysates with Rabbit anti-PSMC2 antibody (HA500404) at 1/5,000 dilution.

Lane 1: HeLa cell lysate
Lane 2: T-47D cell lysate
Lane 3: COS-1 cell lysate
Lane 4: 3T3-L1 cell lysate
Lane 5: C6 cell lysate
Lane 6: PC-12 cell lysate

Lysates/proteins at 20 µg/Lane.

Predicted band size: 49 kDa
Observed band size: 49 kDa

Exposure time: 10 seconds; ECL: K1801;

4-20% SDS-PAGE gel.

Proteins were transferred to a PVDF membrane and blocked with 5% NFDM/TBST for 1 hour at room temperature. The primary antibody (HA500404) at 1/5,000 dilution was used in primary antibody dilution (K1803) at 4℃ overnight. Goat Anti-Rabbit IgG - HRP Secondary Antibody (HA1001) at 1/50,000 dilution was used for 1 hour at room temperature.
HA500404_2.jpg Fig2: Immunocytochemistry analysis of SiHa cells labeling PSMC2 with Rabbit anti-PSMC2 antibody (HA500404) at 1/200 dilution.

Cells were fixed in 4% paraformaldehyde for 10 minutes at 37 ℃, permeabilized with 0.05% Triton X-100 in PBS for 20 minutes, and then blocked with 2% negative goat serum for 30 minutes at room temperature. Cells were then incubated with Rabbit anti-PSMC2 antibody (HA500404) at 1/200 dilution in 2% negative goat serum overnight at 4 ℃. Goat Anti-Rabbit IgG H&L (iFluor™ 488, HA1121) was used as the secondary antibody at 1/1,000 dilution. Nuclear DNA was labelled in blue with DAPI.

Beta tubulin (M1305-2, red) was stained at 1/100 dilution overnight at +4℃. Goat Anti-Mouse IgG H&L (iFluor™ 647, HA1127) were used as the secondary antibody at 1/1,000 dilution.
HA500404_3.jpg Fig3: Immunocytochemistry analysis of 3T3-L1 cells labeling PSMC2 with Rabbit anti-PSMC2 antibody (HA500404) at 1/100 dilution.

Cells were fixed in 4% paraformaldehyde for 15 minutes at room temperature, permeabilized with 0.1% Triton X-100 in PBS for 15 minutes at room temperature, then blocked with 1% BSA in 10% negative goat serum for 1 hour at room temperature. Cells were then incubated with Rabbit anti-PSMC2 antibody (HA500404) at 1/100 dilution in 1% BSA in PBST overnight at 4 ℃. Goat Anti-Rabbit IgG H&L (iFluor™ 488, HA1121) was used as the secondary antibody at 1/1,000 dilution. PBS instead of the primary antibody was used as the secondary antibody only control. Nuclear DNA was labelled in blue with DAPI.

Beta tubulin (HA601187, red) was stained at 1/100 dilution overnight at +4℃. Goat Anti-Mouse IgG H&L (iFluor™ 594, HA1126) was used as the secondary antibody at 1/1,000 dilution.
HA500404_4.jpg Fig4: Immunocytochemistry analysis of C6 cells labeling PSMC2 with Rabbit anti-PSMC2 antibody (HA500404) at 1/100 dilution.

Cells were fixed in 4% paraformaldehyde for 15 minutes at room temperature, permeabilized with 0.1% Triton X-100 in PBS for 15 minutes at room temperature, then blocked with 1% BSA in 10% negative goat serum for 1 hour at room temperature. Cells were then incubated with Rabbit anti-PSMC2 antibody (HA500404) at 1/100 dilution in 1% BSA in PBST overnight at 4 ℃. Goat Anti-Rabbit IgG H&L (iFluor™ 488, HA1121) was used as the secondary antibody at 1/1,000 dilution. PBS instead of the primary antibody was used as the secondary antibody only control. Nuclear DNA was labelled in blue with DAPI.

Beta tubulin (HA601187, red) was stained at 1/100 dilution overnight at +4℃. Goat Anti-Mouse IgG H&L (iFluor™ 594, HA1126) was used as the secondary antibody at 1/1,000 dilution.
HA500404_5.jpg Fig5: Immunohistochemical analysis of paraffin-embedded human kidney tissue with Rabbit anti-PSMC2 antibody (HA500404) at 1/1,000 dilution.

The section was pre-treated using heat mediated antigen retrieval with Tris-EDTA buffer (pH 9.0) for 20 minutes. The tissues were blocked in 1% BSA for 20 minutes at room temperature, washed with ddH2O and PBS, and then probed with the primary antibody (HA500404) at 1/1,000 dilution for 1 hour at room temperature. The detection was performed using an HRP conjugated compact polymer system. DAB was used as the chromogen. Tissues were counterstained with hematoxylin and mounted with DPX.
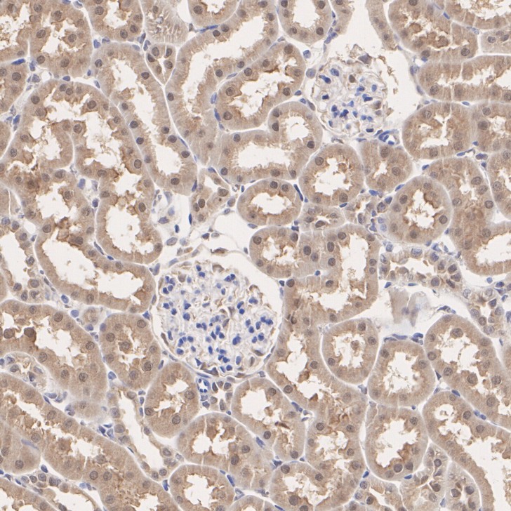
HA500404_6.jpg Fig6: Immunohistochemical analysis of paraffin-embedded mouse kidney tissue with Rabbit anti-PSMC2 antibody (HA500404) at 1/1,000 dilution.

The section was pre-treated using heat mediated antigen retrieval with Tris-EDTA buffer (pH 9.0) for 20 minutes. The tissues were blocked in 1% BSA for 20 minutes at room temperature, washed with ddH2O and PBS, and then probed with the primary antibody (HA500404) at 1/1,000 dilution for 1 hour at room temperature. The detection was performed using an HRP conjugated compact polymer system. DAB was used as the chromogen. Tissues were counterstained with hematoxylin and mounted with DPX.
HA500404_7.jpg Fig7: Immunohistochemical analysis of paraffin-embedded rat kidney tissue with Rabbit anti-PSMC2 antibody (HA500404) at 1/1,000 dilution.

The section was pre-treated using heat mediated antigen retrieval with Tris-EDTA buffer (pH 9.0) for 20 minutes. The tissues were blocked in 1% BSA for 20 minutes at room temperature, washed with ddH2O and PBS, and then probed with the primary antibody (HA500404) at 1/1,000 dilution for 1 hour at room temperature. The detection was performed using an HRP conjugated compact polymer system. DAB was used as the chromogen. Tissues were counterstained with hematoxylin and mounted with DPX.
HA500404_8.jpg Fig8: Flow cytometric analysis of 3T3-L1 cells labeling PSMC2.

Cells were fixed and permeabilized. Then stained with the primary antibody (HA500404, 1/1,000) (red) compared with Rabbit IgG Isotype Control (green). After incubation of the primary antibody at +4℃ for an hour, the cells were stained with a iFluor™ 488 conjugate-Goat anti-Rabbit IgG Secondary antibody (HA1121) at 1/1,000 dilution for 30 minutes at +4℃. Unlabelled sample was used as a control (cells without incubation with primary antibody; black).
HA500404_9.jpg Fig9: Flow cytometric analysis of C6 cells labeling PSMC2.

Cells were fixed and permeabilized. Then stained with the primary antibody (HA500404, 1/1,000) (red) compared with Rabbit IgG Isotype Control (green). After incubation of the primary antibody at +4℃ for an hour, the cells were stained with a iFluor™ 488 conjugate-Goat anti-Rabbit IgG Secondary antibody (HA1121) at 1/1,000 dilution for 30 minutes at +4℃. Unlabelled sample was used as a control (cells without incubation with primary antibody; black).
Note: All products are “FOR RESEARCH USE ONLY AND ARE NOT INTENDED FOR DIAGNOSTIC OR THERAPEUTIC USE”.