PSMD11 Rabbit Polyclonal Antibody
cat.: HA500414
Product Type: Rabbit polyclonal IgG, primary antibodies
Species reactivity: Human, Mouse, Rat
Applications: WB, IHC-P, IF-Cell
Clonality: Polyclonal
Form: Liquid
Storage condition: Shipped at 4℃. Store at +4℃ short term (1-2 weeks). It is recommended to aliquot into single-use upon delivery. Store at -20℃ long term.
Storage buffer: PBS (pH7.4), 0.1% BSA, 40% Glycerol. Preservative: 0.05% Sodium Azide.
Concentration: 2ug/ul
Purification: Immunogen affinity purified.
Molecular weight: Predicted band size: 47 kDa
Isotype: IgG
Immunogen: Synthetic peptide within human PSMD11 aa 200-500.
Positive control: 293T cell lysate, HepG2 cell lysate, Jurkat cell lysate, NIH/3T3 cell lysate, PC-3 cell lysate, Hela cell lysate, Mouse testis tissue lysate, Rat testis tissue lysate, Mouse brain tissue lysate, Rat brain tissue lysate, 293T, C6, NIH/3T3, human lung tissue, human testis tissue, mouse lung tissue, mouse testis tissue, rat lung tissue, rat testis tissue.
Subcellular location: Cytoplasm, Nucleus.
Recommended Dilutions:
  WB
  IHC-P
  IF-Cell

1:2,000
1:1,000
1:100-1:200
Uniprot #: SwissProt: O00231 Human | Q8BG32 Mouse | F1LMZ8 Rat
Alternative names: 26S proteasome non-ATPase regulatory subunit 11 26S proteasome regulatory subunit 9 26S proteasome regulatory subunit p44.5 26S proteasome regulatory subunit RPN6 26S proteasome regulatory subunit S9 MGC3844 p44.5 protease 26S, subunit, 9 proteasome (prosome, macropain) 26S subunit, non-ATPase, 11 proteasome 26S subunit, non-ATPase, 11 PSD11_HUMAN PSMD 11 PSMD11 Rpn6 S9
Images
HA500414_1.jpg Fig1: Western blot analysis of PSMD11 on different lysates with Rabbit anti-PSMD11 antibody (HA500414) at 1/2,000 dilution.

Lane 1: 293T cell lysate (10 µg/Lane)
Lane 2: HepG2 cell lysate (10 µg/Lane)
Lane 3: Jurkat cell lysate (10 µg/Lane)
Lane 4: NIH/3T3 cell lysate (10 µg/Lane)
Lane 5: PC-3 cell lysate (10 µg/Lane)
Lane 6: Hela cell lysate (10 µg/Lane)
Lane 7: Mouse testis tissue lysate (20 µg/Lane)
Lane 8: Rat testis tissue lysate (20 µg/Lane)
Lane 9: Mouse brain tissue lysate (20 µg/Lane)
Lane 10: Rat brain tissue lysate (20 µg/Lane)

Predicted band size: 47 kDa
Observed band size: 47/100 kDa

Exposure time: 30 seconds;

4-20% SDS-PAGE gel.

Proteins were transferred to a PVDF membrane and blocked with 5% NFDM/TBST for 1 hour at room temperature. The primary antibody (HA500414) at 1/2,000 dilution was used in 5% NFDM/TBST at room temperature for 2 hours. Goat Anti-Rabbit IgG - HRP Secondary Antibody (HA1001) at 1:300,000 dilution was used for 1 hour at room temperature.
HA500414_2.jpg Fig2: Immunocytochemistry analysis of 293T cells labeling PSMD11 with Rabbit anti-PSMD11 antibody (HA500414) at 1/200 dilution.

Cells were fixed in 4% paraformaldehyde for 15 minutes at room temperature, permeabilized with 0.1% Triton X-100 in PBS for 15 minutes at room temperature, then blocked with 1% BSA in 10% negative goat serum for 1 hour at room temperature. Cells were then incubated with Rabbit anti-PSMD11 antibody (HA500414) at 1/200 dilution in 1% BSA in PBST overnight at 4 ℃. Goat Anti-Rabbit IgG H&L (iFluor™ 488, HA1121) was used as the secondary antibody at 1/1,000 dilution. PBS instead of the primary antibody was used as the secondary antibody only control. Nuclear DNA was labelled in blue with DAPI.

Beta tubulin (HA601187, red) was stained at 1/100 dilution overnight at +4℃. Goat Anti-Mouse IgG H&L (iFluor™ 594, HA1126) was used as the secondary antibody at 1/1,000 dilution.
HA500414_3.jpg Fig3: Immunocytochemistry analysis of C6 cells labeling PSMD11 with Rabbit anti-PSMD11 antibody (HA500414) at 1/100 dilution.

Cells were fixed in 4% paraformaldehyde for 15 minutes at room temperature, permeabilized with 0.1% Triton X-100 in PBS for 15 minutes at room temperature, then blocked with 1% BSA in 10% negative goat serum for 1 hour at room temperature. Cells were then incubated with Rabbit anti-PSMD11 antibody (HA500414) at 1/100 dilution in 1% BSA in PBST overnight at 4 ℃. Goat Anti-Rabbit IgG H&L (iFluor™ 488, HA1121) was used as the secondary antibody at 1/1,000 dilution. PBS instead of the primary antibody was used as the secondary antibody only control. Nuclear DNA was labelled in blue with DAPI.

Beta tubulin (HA601187, red) was stained at 1/100 dilution overnight at +4℃. Goat Anti-Mouse IgG H&L (iFluor™ 594, HA1126) was used as the secondary antibody at 1/1,000 dilution.
HA500414_4.jpg Fig4: Immunocytochemistry analysis of NIH/3T3 cells labeling PSMD11 with Rabbit anti-PSMD11 antibody (HA500414) at 1/200 dilution.

Cells were fixed in 4% paraformaldehyde for 10 minutes at 37 ℃, permeabilized with 0.05% Triton X-100 in PBS for 20 minutes, and then blocked with 2% negative goat serum for 30 minutes at room temperature. Cells were then incubated with Rabbit anti-PSMD11 antibody (HA500414) at 1/200 dilution in 2% negative goat serum overnight at 4 ℃. Goat Anti-Rabbit IgG H&L (iFluor™ 488, HA1121) was used as the secondary antibody at 1/1,000 dilution. PBS instead of the primary antibody was used as the secondary antibody only control. Nuclear DNA was labelled in blue with DAPI.
HA500414_5.jpg Fig5: Immunohistochemical analysis of paraffin-embedded human lung tissue with Rabbit anti-PSMD11 antibody (HA500414) at 1/1,000 dilution.

The section was pre-treated using heat mediated antigen retrieval with Tris-EDTA buffer (pH 9.0) for 20 minutes. The tissues were blocked in 1% BSA for 20 minutes at room temperature, washed with ddH2O and PBS, and then probed with the primary antibody (HA500414) at 1/1,000 dilution for 1 hour at room temperature. The detection was performed using an HRP conjugated compact polymer system. DAB was used as the chromogen. Tissues were counterstained with hematoxylin and mounted with DPX.
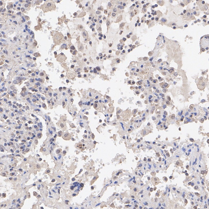
HA500414_6.jpg Fig6: Immunohistochemical analysis of paraffin-embedded human testis tissue with Rabbit anti-PSMD11 antibody (HA500414) at 1/1,000 dilution.

The section was pre-treated using heat mediated antigen retrieval with Tris-EDTA buffer (pH 9.0) for 20 minutes. The tissues were blocked in 1% BSA for 20 minutes at room temperature, washed with ddH2O and PBS, and then probed with the primary antibody (HA500414) at 1/1,000 dilution for 1 hour at room temperature. The detection was performed using an HRP conjugated compact polymer system. DAB was used as the chromogen. Tissues were counterstained with hematoxylin and mounted with DPX.
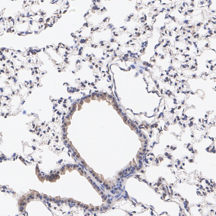
HA500414_7.jpg Fig7: Immunohistochemical analysis of paraffin-embedded mouse lung tissue with Rabbit anti-PSMD11 antibody (HA500414) at 1/1,000 dilution.

The section was pre-treated using heat mediated antigen retrieval with Tris-EDTA buffer (pH 9.0) for 20 minutes. The tissues were blocked in 1% BSA for 20 minutes at room temperature, washed with ddH2O and PBS, and then probed with the primary antibody (HA500414) at 1/1,000 dilution for 1 hour at room temperature. The detection was performed using an HRP conjugated compact polymer system. DAB was used as the chromogen. Tissues were counterstained with hematoxylin and mounted with DPX.
HA500414_8.jpg Fig8: Immunohistochemical analysis of paraffin-embedded mouse testis tissue with Rabbit anti-PSMD11 antibody (HA500414) at 1/1,000 dilution.

The section was pre-treated using heat mediated antigen retrieval with Tris-EDTA buffer (pH 9.0) for 20 minutes. The tissues were blocked in 1% BSA for 20 minutes at room temperature, washed with ddH2O and PBS, and then probed with the primary antibody (HA500414) at 1/1,000 dilution for 1 hour at room temperature. The detection was performed using an HRP conjugated compact polymer system. DAB was used as the chromogen. Tissues were counterstained with hematoxylin and mounted with DPX.
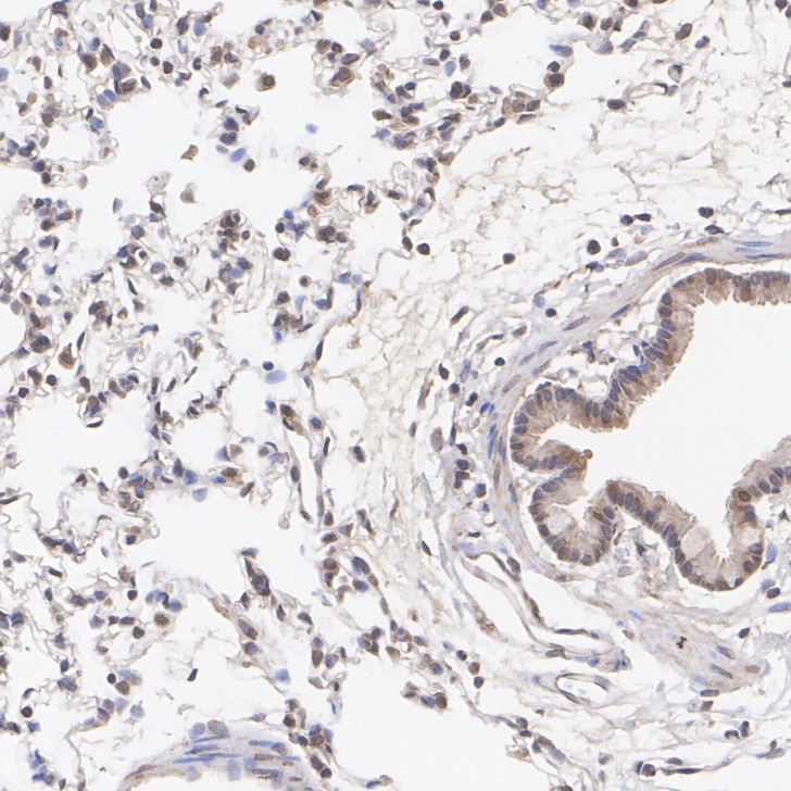
HA500414_9.jpg Fig9: Immunohistochemical analysis of paraffin-embedded rat lung tissue with Rabbit anti-PSMD11 antibody (HA500414) at 1/1,000 dilution.

The section was pre-treated using heat mediated antigen retrieval with Tris-EDTA buffer (pH 9.0) for 20 minutes. The tissues were blocked in 1% BSA for 20 minutes at room temperature, washed with ddH2O and PBS, and then probed with the primary antibody (HA500414) at 1/1,000 dilution for 1 hour at room temperature. The detection was performed using an HRP conjugated compact polymer system. DAB was used as the chromogen. Tissues were counterstained with hematoxylin and mounted with DPX.
HA500414_10.jpg Fig10: Immunohistochemical analysis of paraffin-embedded rat testis tissue with Rabbit anti-PSMD11 antibody (HA500414) at 1/1,000 dilution.

The section was pre-treated using heat mediated antigen retrieval with Tris-EDTA buffer (pH 9.0) for 20 minutes. The tissues were blocked in 1% BSA for 20 minutes at room temperature, washed with ddH2O and PBS, and then probed with the primary antibody (HA500414) at 1/1,000 dilution for 1 hour at room temperature. The detection was performed using an HRP conjugated compact polymer system. DAB was used as the chromogen. Tissues were counterstained with hematoxylin and mounted with DPX.
Note: All products are “FOR RESEARCH USE ONLY AND ARE NOT INTENDED FOR DIAGNOSTIC OR THERAPEUTIC USE”.