PEPT1 Rabbit Polyclonal Antibody
cat.: HA500444
Product Type: Rabbit polyclonal IgG, primary antibodies
Species reactivity: Human, Mouse, Rat
Applications: WB, IHC-P, IF-Tissue
Clonality: Polyclonal
Form: Liquid
Storage condition: Shipped at 4℃. Store at -20 ℃ for one year. Avoid repeated freeze/thaw cycles.
Storage buffer: 0.01M TBS(pH7.4) with 1% BSA, 0.03% Proclin300 and 50% Glycerol.
Concentration: 1ug/ul
Purification: Protein A affinity purified.
Molecular weight: 79 kDa
Isotype: IgG
Immunogen: KLH conjugated synthetic peptide derived from human PEPT1: 101-200/714(chk) <Cytoplasmic>
Subcellular location: Membrane.
Recommended Dilutions:
  WB
  IHC-P
  IF-tissue

1:500-2000
1:100-500
1:100-500
Uniprot #: SwissProt: P46059 Human
Alternative names: +peptide cotransporter HPECT1 HPEPT1 Human peptide transporter (HPEPT1) mRNA complete cds Intestinal H Intestinal H(+)/peptide cotransporter Oligopeptide transporter Oligopeptide transporter small intestine isoform PEPT1 Peptide transporter 1 S15A1_HUMAN Slc15a1 small intestine isoform Solute carrier family 15 (oligopeptide transporter) member 1 Solute carrier family 15 member 1
Images
HA500444_1.jpg Fig1: Sample:
Lane 1: Liver (Mouse) Lysate at 40 ug
Lane 2: Liver (Rat) Lysate at 40 ug
Lane 3: Panc-1 (Human) Cell Lysate at 30 ug
Primary: Anti-SLC15A1 (bs-0689R) at 1/1000 dilution
Secondary: IRDye800CW Goat Anti-Rabbit IgG at 1/20000 dilution
Predicted band size: 80 kD
Observed band size: 83 kD
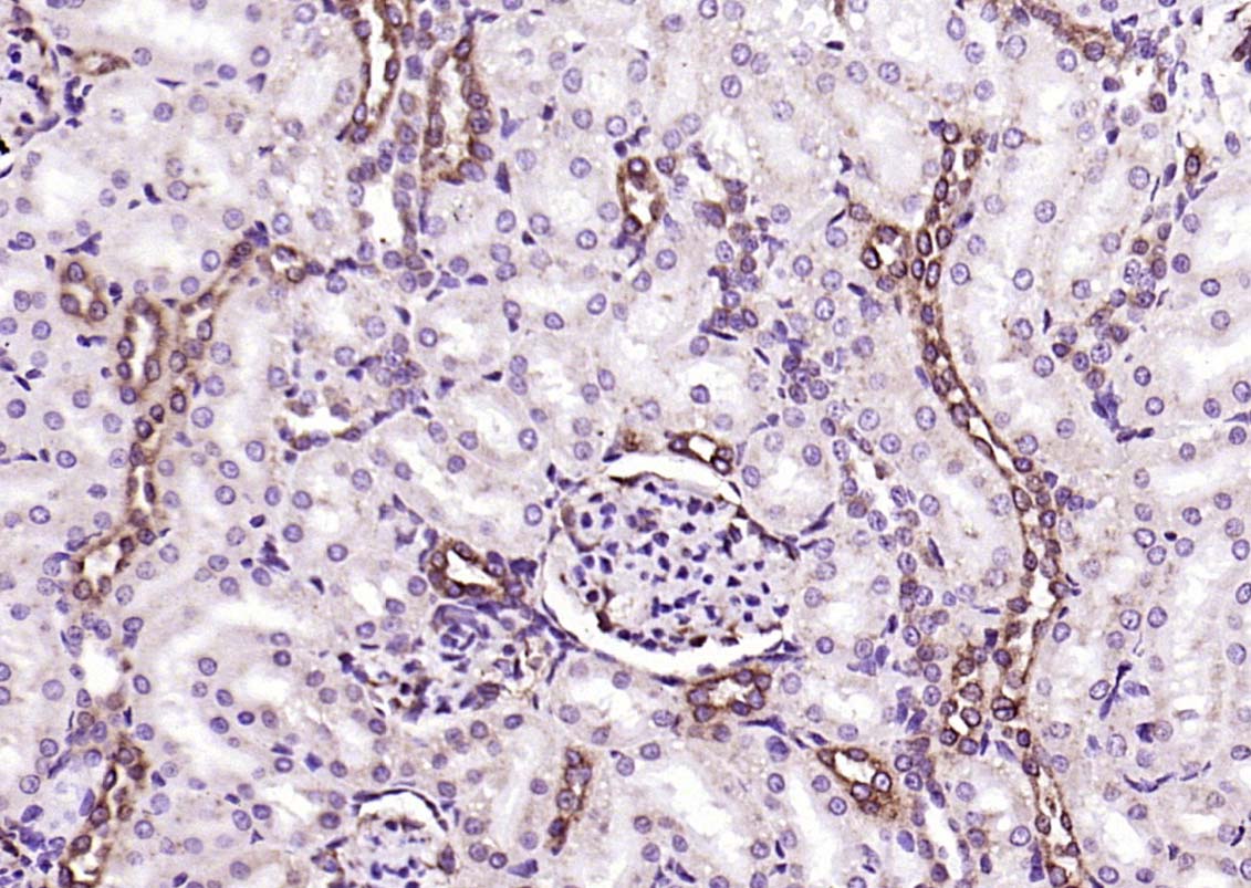
HA500444_2.jpg Fig2: Paraformaldehyde-fixed, paraffin embedded Mouse Kidney; Antigen retrieval by boiling in sodium citrate buffer (pH6.0) for 15 min; Antibody incubation with PEPT1 Polyclonal Antibody, Unconjugated (bs-0689R) at 1:200 overnight at 4°C, followed by conjugation to the SP Kit (Rabbit, SP-0023) and DAB (C-0010) staining.
HA500444_3.jpg Fig3: Paraformaldehyde-fixed, paraffin embedded Rat Kidney; Antigen retrieval by boiling in sodium citrate buffer (pH6.0) for 15 min; Antibody incubation with PEPT1 Polyclonal Antibody, Unconjugated (bs-0689R) at 1:200 overnight at 4°C, followed by conjugation to the SP Kit (Rabbit, SP-0023) and DAB (C-0010) staining.
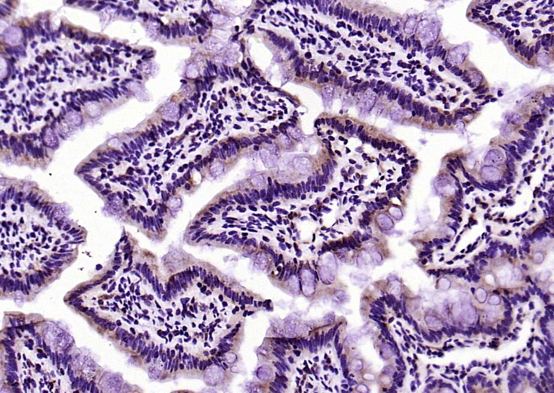
HA500444_4.jpg Fig4: Paraformaldehyde-fixed, paraffin embedded Rat Small Intestine; Antigen retrieval by boiling in sodium citrate buffer (pH6.0) for 15 min; Antibody incubation with PEPT1 Polyclonal Antibody, Unconjugated (bs-0689R) at 1:200 overnight at 4°C, followed by conjugation to the SP Kit (Rabbit, SP-0023) and DAB (C-0010) staining.
HA500444_5.jpg Fig5: Paraformaldehyde-fixed, paraffin embedded Mouse Small Intestine; Antigen retrieval by boiling in sodium citrate buffer (pH6.0) for 15 min; Antibody incubation with PEPT1 Polyclonal Antibody, Unconjugated (bs-0689R) at 1:200 overnight at 4°C, followed by conjugation to the SP Kit (Rabbit, SP-0023) and DAB (C-0010) staining.
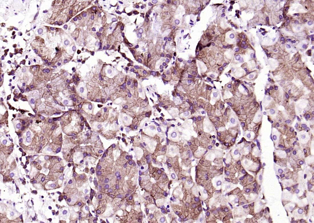
HA500444_6.jpg Fig6: Paraformaldehyde-fixed, paraffin embedded Human Gastric Cancer; Antigen retrieval by boiling in sodium citrate buffer (pH6.0) for 15 min; Antibody incubation with PEPT1 Polyclonal Antibody, Unconjugated (bs-0689R) at 1:200 overnight at 4°C, followed by conjugation to the SP Kit (Rabbit, SP-0023) and DAB (C-0010) staining.
HA500444_7.jpg Fig7: Paraformaldehyde-fixed, paraffin embedded Human Colon Cancer; Antigen retrieval by boiling in sodium citrate buffer (pH6.0) for 15 min; Antibody incubation with PEPT1 Polyclonal Antibody, Unconjugated (bs-0689R) at 1:200 overnight at 4°C, followed by conjugation to the SP Kit (Rabbit, SP-0023) and DAB (C-0010) staining.
Note: All products are “FOR RESEARCH USE ONLY AND ARE NOT INTENDED FOR DIAGNOSTIC OR THERAPEUTIC USE”.