BCL9L Rabbit Polyclonal Antibody
cat.: HA500459
Product Type: Rabbit polyclonal IgG, primary antibodies
Species reactivity: Human, Mouse, Rat
Applications: WB, IHC-P
Clonality: Polyclonal
Form: Liquid
Storage condition: Shipped at 4℃. Store at +4℃ short term (1-2 weeks). It is recommended to aliquot into single-use upon delivery. Store at -20℃ long term.
Storage buffer: PBS (pH7.4), 0.1% BSA, 40% Glycerol. Preservative: 0.05% Sodium Azide.
Concentration: 1.861ug/ul
Purification: Immunogen affinity purified.
Molecular weight: Predicted band size: 157 kDa
Isotype: IgG
Immunogen: Recombinant protein within Human BCL9L aa 351-550 / 1,499.
Positive control: Hela cell lysate, MCF-7 cell lysate, NIH/3T3 cell lysate, mouse skin tissue, rat skin tissue, human cervical cancer tissue, human lung carcinoma tissue, human liver tissue.
Subcellular location: Nucleus.
Recommended Dilutions:
  WB
  IHC-P

1:1,000
1:1,000
Uniprot #: SwissProt: Q86UU0 Human | Q67FY2 Mouse
Entrez Gene: 300673 Rat
Alternative names: B-cell CLL B-cell CLL/lymphoma 9-like protein B-cell lymphoma 9-like protein B9L BCL9-2 BCL9-like protein BCL9-related beta-catenin-binding protein Bcl9l BCL9L_HUMAN DLNB11 Nuclear co factor of beta catenin signalling Protein BCL9-2
Images
HA500459_1.jpg Fig1: Western blot analysis of BCL9L on different lysates with Rabbit anti-BCL9L antibody (HA500459) at 1/1,000 dilution.

Lane 1: Hela cell lysate
Lane 2: MCF-7 cell lysate
Lane 3: NIH/3T3 cell lysate

Lysates/proteins at 10 µg/Lane.

Predicted band size: 157 kDa
Observed band size: 200 kDa

Exposure time: 30 seconds;
6% SDS-PAGE gel.

Proteins were transferred to a PVDF membrane and blocked with 5% NFDM/TBST for 1 hour at room temperature. The primary antibody (HA500459) at 1/1,000 dilution was used in 5% NFDM/TBST at room temperature for 2 hours. Goat Anti-Rabbit IgG - HRP Secondary Antibody (HA1001) at 1:300,000 dilution was used for 1 hour at room temperature.
HA500459_2.jpg Fig2: Immunohistochemical analysis of paraffin-embedded mouse skin tissue with Rabbit anti-BCL9L antibody (HA500459) at 1/1,000 dilution.

The section was pre-treated using heat mediated antigen retrieval with Tris-EDTA buffer (pH 9.0) for 20 minutes. The tissues were blocked in 1% BSA for 20 minutes at room temperature, washed with ddH2O and PBS, and then probed with the primary antibody (HA500459) at 1/1,000 dilution for 1 hour at room temperature. The detection was performed using an HRP conjugated compact polymer system. DAB was used as the chromogen. Tissues were counterstained with hematoxylin and mounted with DPX.
HA500459_3.jpg Fig3: Immunohistochemical analysis of paraffin-embedded rat skin tissue with Rabbit anti-BCL9L antibody (HA500459) at 1/1,000 dilution.

The section was pre-treated using heat mediated antigen retrieval with Tris-EDTA buffer (pH 9.0) for 20 minutes. The tissues were blocked in 1% BSA for 20 minutes at room temperature, washed with ddH2O and PBS, and then probed with the primary antibody (HA500459) at 1/1,000 dilution for 1 hour at room temperature. The detection was performed using an HRP conjugated compact polymer system. DAB was used as the chromogen. Tissues were counterstained with hematoxylin and mounted with DPX.
HA500459_4.jpg Fig4: Immunohistochemical analysis of paraffin-embedded human cervical cancer tissue with Rabbit anti-BCL9L antibody (HA500459) at 1/1,000 dilution.

The section was pre-treated using heat mediated antigen retrieval with Tris-EDTA buffer (pH 9.0) for 20 minutes. The tissues were blocked in 1% BSA for 20 minutes at room temperature, washed with ddH2O and PBS, and then probed with the primary antibody (HA500459) at 1/1,000 dilution for 1 hour at room temperature. The detection was performed using an HRP conjugated compact polymer system. DAB was used as the chromogen. Tissues were counterstained with hematoxylin and mounted with DPX.
HA500459_5.jpg Fig5: Immunohistochemical analysis of paraffin-embedded human lung carcinoma tissue with Rabbit anti-BCL9L antibody (HA500459) at 1/1,000 dilution.

The section was pre-treated using heat mediated antigen retrieval with sodium citrate buffer (pH 6.0) for 2 minutes. The tissues were blocked in 1% BSA for 20 minutes at room temperature, washed with ddH2O and PBS, and then probed with the primary antibody (HA500459) at 1/1,000 dilution for 1 hour at room temperature. The detection was performed using an HRP conjugated compact polymer system. DAB was used as the chromogen. Tissues were counterstained with hematoxylin and mounted with DPX.
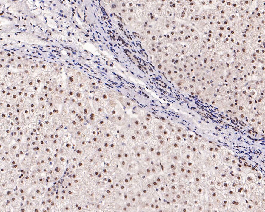
HA500459_6.jpg Fig6: Immunohistochemical analysis of paraffin-embedded human liver tissue with Rabbit anti-BCL9L antibody (HA500459) at 1/1,000 dilution.

The section was pre-treated using heat mediated antigen retrieval with sodium citrate buffer (pH 6.0) for 2 minutes. The tissues were blocked in 1% BSA for 20 minutes at room temperature, washed with ddH2O and PBS, and then probed with the primary antibody (HA500459) at 1/1,000 dilution for 1 hour at room temperature. The detection was performed using an HRP conjugated compact polymer system. DAB was used as the chromogen. Tissues were counterstained with hematoxylin and mounted with DPX.
Note: All products are “FOR RESEARCH USE ONLY AND ARE NOT INTENDED FOR DIAGNOSTIC OR THERAPEUTIC USE”.