Cytokeratin 5+6 Rabbit Polyclonal Antibody
cat.: HA500508
Product Type: Rabbit polyclonal IgG, primary antibodies
Species reactivity: Human
Applications: WB, IHC-P
Clonality: Polyclonal
Form: Liquid
Storage condition: Shipped at 4℃. Store at +4℃ short term (1-2 weeks). It is recommended to aliquot into single-use upon delivery. Store at -20℃ long term.
Storage buffer: 1*TBS (pH7.4), 0.2% BSA, 50% Glycerol. Preservative: 0.05% Sodium Azide.
Concentration: 1ug/ul
Purification: Immunogen affinity purified.
Molecular weight: 62/60 kDa
Isotype: IgG
Immunogen: Synthetic peptide within human Cytokeratin 5 aa 191-240.
Positive control: Human skin tissue lysate, A431 cell lysate, human tonsil tissue, human lung adenocarcinoma tissue.
Subcellular location: Intermediate filament, Keratin.
Recommended Dilutions:
  WB
  IHC-P

1:1,000
1:600
Uniprot #: SwissProt: P13647 Human | P02538 Human | P04259 Human | P48668 Human
Alternative names: 58 kDa cytokeratin CK-5 CK5 Cytokeratin-5 Cytokeratin5 DDD DDD1 EBS2 epidermolysis bullosa simplex 2 Dowling-Meara/Kobner/Weber-Cockayne types K2C5_HUMAN K5 keratin 5 (epidermolysis bullosa simplex, Dowling-Meara/Kobner/Weber-Cockayne types) Keratin 5 Keratin keratin complex 2, basic, gene 5 keratin, type II cytoskeletal 5 Keratin-5 Keratin5 KRT 5 Krt5 KRT5A type II cytoskeletal 5 Type-II keratin Kb5 CK6 CK 6A CK 6B CK 6C CK 6D CK 6E CK-6B CK-6C CK-6E Cytokeratin 6a Cytokeratin 6B Cytokeratin 6C Cytokeratin 6D Cytokeratin 6E Cytokeratin-6B Cytokeratin-6C Cytokeratin-6E K2C6C_HUMAN K6a keratin K6b keratin K6C K6c keratin K6d keratin K6e keratin Keratin Keratin K6h Keratin type II cytoskeletal 6A Keratin type II cytoskeletal 6B Keratin type II cytoskeletal 6C Keratin type II cytoskeletal 6D Keratin type II cytoskeletal 6E Keratin-6C KRT6A KRT6B KRT6C KRT6D KRT6E type II......
Images
HA500508_1.jpg Fig1: Western blot analysis of Cytokeratin 5+6 on different lysates. Proteins were transferred to a PVDF membrane and blocked with 5% BSA in PBS for 1 hour at room temperature. The primary antibody (HA500508, 1/1,000) was used in 5% BSA at room temperature for 2 hours. Goat Anti-Rabbit IgG - HRP Secondary Antibody (HA1001) at 1:200,000 dilution was used for 1 hour at room temperature.
Positive control:
Lane 1: Human skin tissue lysate
Lane 2: A431 cell lysate
HA500508_2.jpg Fig2: Immunohistochemical analysis of paraffin-embedded human tonsil tissue using anti-Cytokeratin 5+6 antibody. The section was pre-treated using heat mediated antigen retrieval with sodium citrate buffer (pH 6.0) for 20 minutes. The tissues were blocked in 1% BSA for 30 minutes at room temperature, washed with ddH2O and PBS, and then probed with the primary antibody (HA500508, 1/600) for 30 minutes at room temperature. The detection was performed using an HRP conjugated compact polymer system. DAB was used as the chromogen. Tissues were counterstained with hematoxylin and mounted with DPX.
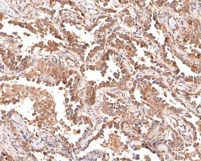
HA500508_3.jpg Fig3: Immunohistochemical analysis of paraffin-embedded human lung adenocarcinoma tissue using anti-Cytokeratin 5+6 antibody. The section was pre-treated using heat mediated antigen retrieval with sodium citrate buffer (pH 6.0) for 20 minutes. The tissues were blocked in 1% BSA for 30 minutes at room temperature, washed with ddH2O and PBS, and then probed with the primary antibody (HA500508, 1/600) for 30 minutes at room temperature. The detection was performed using an HRP conjugated compact polymer system. DAB was used as the chromogen. Tissues were counterstained with hematoxylin and mounted with DPX.
Note: All products are “FOR RESEARCH USE ONLY AND ARE NOT INTENDED FOR DIAGNOSTIC OR THERAPEUTIC USE”.