CLIC5 Rabbit Polyclonal Antibody
cat.: HA500510
Product Type: Rabbit polyclonal IgG, primary antibodies
Species reactivity: Human, Mouse
Applications: WB, IHC-P
Clonality: Polyclonal
Form: Liquid
Storage condition: Shipped at 4℃. Store at +4℃ short term (1-2 weeks). It is recommended to aliquot into single-use upon delivery. Store at -20℃ long term.
Storage buffer: 1*TBS (pH7.4), 0.2% BSA, 50% Glycerol. Preservative: 0.05% Sodium Azide.
Concentration: 1ug/ul
Purification: Immunogen affinity purified.
Molecular weight: Predicted band size: 47/28 kDa.
Isotype: IgG
Immunogen: Recombinant protein within human CLIC5 aa 41-240 / 251 (Q9NZA1-2).
Positive control: Human lung tissue lysates, mouse small intestine tissue.
Subcellular location: Cytoplasm, cytoskeleton, apical cell membrane, cell cortex, membrane; centrosome, golgi apparatus.
Recommended Dilutions:
  WB
  IHC-P

1:500
1:200
Uniprot #: SwissProt: Q9NZA1 Human | Q8BXK9 Mouse
Alternative names: Chloride intracellular channel 5 Chloride intracellular channel 5A Chloride intracellular channel protein 5 CLIC 5 CLIC 5B CLIC5 CLIC5_HUMAN CLIC5B dJ447E21.4 FLJ90663 MST 130 MST130 MSTP 130 MSTP130
Images
HA500510_1.jpg Fig1: Western blot analysis of CLIC5 on human lung tissue lysates. Proteins were transferred to a PVDF membrane and blocked with 5% BSA in PBS for 1 hour at room temperature. The primary antibody (HA500510, 1/500) was used in 5% BSA at room temperature for 2 hours. Goat Anti-Rabbit IgG - HRP Secondary Antibody (HA1001) at 1:200,000 dilution was used for 1 hour at room temperature.
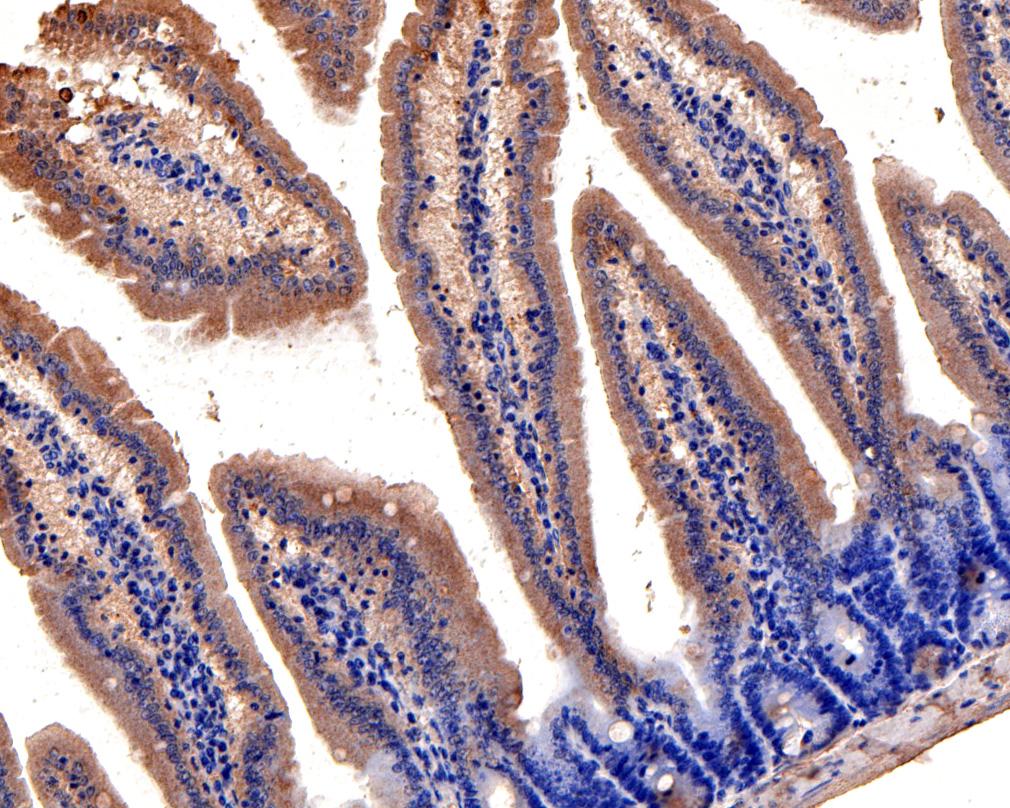
HA500510_2.jpg Fig2: Immunohistochemical analysis of paraffin-embedded mouse small intestine tissue using anti-CLIC5 antibody. The section was pre-treated using heat mediated antigen retrieval with Tris-EDTA buffer (pH 9.0) for 20 minutes.The tissues were blocked in 1% BSA for 30 minutes at room temperature, washed with ddH2O and PBS, and then probed with the primary antibody (HA500510, 1/200) for 30 minutes at room temperature. The detection was performed using an HRP conjugated compact polymer system. DAB was used as the chromogen. Tissues were counterstained with hematoxylin and mounted with DPX.
Note: All products are “FOR RESEARCH USE ONLY AND ARE NOT INTENDED FOR DIAGNOSTIC OR THERAPEUTIC USE”.