KDM2A Rabbit Polyclonal Antibody
cat.: HA500515
Product Type: Rabbit polyclonal IgG, primary antibodies
Species reactivity: Human, Mouse, Rat
Applications: WB, IHC-P
Clonality: Polyclonal
Form: Liquid
Storage condition: Shipped at 4℃. Store at +4℃ short term (1-2 weeks). It is recommended to aliquot into single-use upon delivery. Store at -20℃ long term.
Storage buffer: PBS (pH7.4), 0.1% BSA, 40% Glycerol. Preservative: 0.05% Sodium Azide.
Concentration: 1ug/ul
Purification: Immunogen affinity purified.
Molecular weight: Predicted band size: 133 kDa
Isotype: IgG
Immunogen: Recombinant protein within human KDM2A aa 381-580 / 1,162.
Positive control: MCF-7 cell lysate, Jurkat cell lysate, PC-12 cell lysate, Human brain tissue lysate, HeLa cell lysate, K-562 cell lysate, NIH/3T3 cell lysate, human stomach tissue, mouse colon tissue, rat colon tissue.
Subcellular location: Nucleus, nucleoplasm, Chromosome.
Recommended Dilutions:
  WB
  IHC-P

1:1,000
1:1,000
Uniprot #: SwissProt: Q9Y2K7 Human | P59997 Mouse
Entrez Gene: 361700 Rat
Alternative names: [Histone-H3]-lysine-36 demethylase 1A CXXC-type zinc finger protein 8 CXXC8 F box / LRR repeat protein 11 F box and leucine rich repeat protein 11 F box protein FBL7 F-box and leucine-rich repeat protein 11 F-box protein FBL7 F-box protein Lilina F-box/LRR-repeat protein 11 FBL11 FBL7 FBXL11 JHDM1A JmjC domain-containing histone demethylation protein 1A Jumonji C domain containing histone demethylase 1A kdm2a KDM2A_HUMAN LILINA Lysine (K) specific demethylase 2A Lysine-specific demethylase 2A
Images
HA500515_1.jpg Fig1: Western blot analysis of KDM2A on different lysates with Rabbit anti-KDM2A antibody (HA500515) at 1/1,000 dilution.

Lane 1: MCF-7 cell lysate (10 µg/Lane)
Lane 2: Jurkat cell lysate (10 µg/Lane)
Lane 3: PC-12 cell lysate (10 µg/Lane)
Lane 4: Human brain tissue lysate (20 µg/Lane)

Predicted band size: 133 kDa
Observed band size: 133 kDa

Exposure time: 2 minutes;

8% SDS-PAGE gel.

Proteins were transferred to a PVDF membrane and blocked with 5% NFDM/TBST for 1 hour at room temperature. The primary antibody (HA500515) at 1/1,000 dilution was used in 5% NFDM/TBST at room temperature for 2 hours. Goat Anti-Rabbit IgG - HRP Secondary Antibody (HA1001) at 1:300,000 dilution was used for 1 hour at room temperature.
HA500515_2.jpg Fig2: Western blot analysis of KDM2A on different lysates with Rabbit anti-KDM2A antibody (HA500515) at 1/1,000 dilution.

Lane 1: HeLa cell lysate
Lane 2: K-562 cell lysate
Lane 3: NIH/3T3 cell lysate
Lane 4: PC-12 cell lysate

Lysates/proteins at 20 µg/Lane.

Predicted band size: 133 kDa
Observed band size: 133 kDa

Exposure time: 10 seconds; ECL: K1801;

4-20% SDS-PAGE gel.

Proteins were transferred to a PVDF membrane and blocked with 5% NFDM/TBST for 1 hour at room temperature. The primary antibody (HA500515) at 1/1,000 dilution was used in 5% NFDM/TBST at 4℃ overnight. Goat Anti-Rabbit IgG - HRP Secondary Antibody (HA1001) at 1/50,000 dilution was used for 1 hour at room temperature.
HA500515_3.jpg Fig3: Immunohistochemical analysis of paraffin-embedded human stomach tissue with Rabbit anti-KDM2A antibody (HA500515) at 1/1,000 dilution.

The section was pre-treated using heat mediated antigen retrieval with sodium citrate buffer (pH 6.0) (high pressure) for 2 minutes. The tissues were blocked in 1% BSA for 20 minutes at room temperature, washed with ddH2O and PBS, and then probed with the primary antibody (HA500515) at 1/1,000 dilution for 1 hour at room temperature. The detection was performed using an HRP conjugated compact polymer system. DAB was used as the chromogen. Tissues were counterstained with hematoxylin and mounted with DPX.
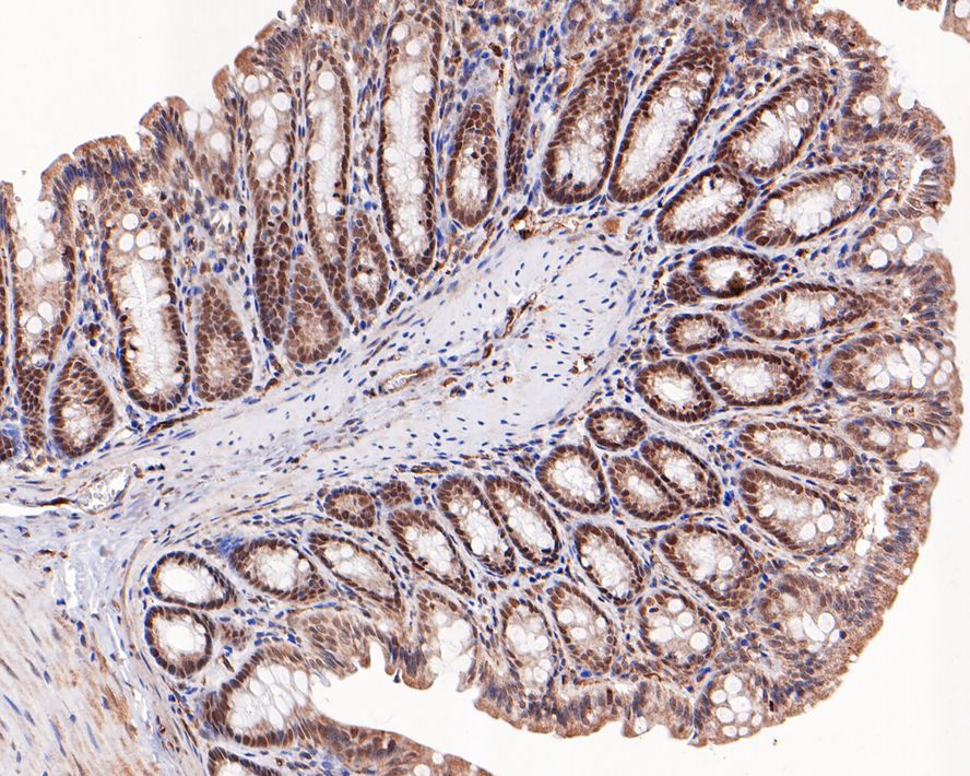
HA500515_4.jpg Fig4: Immunohistochemical analysis of paraffin-embedded mouse colon tissue with Rabbit anti-KDM2A antibody (HA500515) at 1/1,000 dilution.

The section was pre-treated using heat mediated antigen retrieval with sodium citrate buffer (pH 6.0) (high pressure) for 2 minutes. The tissues were blocked in 1% BSA for 20 minutes at room temperature, washed with ddH2O and PBS, and then probed with the primary antibody (HA500515) at 1/1,000 dilution for 1 hour at room temperature. The detection was performed using an HRP conjugated compact polymer system. DAB was used as the chromogen. Tissues were counterstained with hematoxylin and mounted with DPX.
HA500515_5.jpg Fig5: Immunohistochemical analysis of paraffin-embedded rat colon tissue with Rabbit anti-KDM2A antibody (HA500515) at 1/1,000 dilution.

The section was pre-treated using heat mediated antigen retrieval with sodium citrate buffer (pH 6.0) (high pressure) for 2 minutes. The tissues were blocked in 1% BSA for 20 minutes at room temperature, washed with ddH2O and PBS, and then probed with the primary antibody (HA500515) at 1/1,000 dilution for 1 hour at room temperature. The detection was performed using an HRP conjugated compact polymer system. DAB was used as the chromogen. Tissues were counterstained with hematoxylin and mounted with DPX.
Note: All products are “FOR RESEARCH USE ONLY AND ARE NOT INTENDED FOR DIAGNOSTIC OR THERAPEUTIC USE”.