cIAP1/2 Rabbit Polyclonal Antibody
cat.: HA500535
Product Type: Rabbit polyclonal IgG, primary antibodies
Species reactivity: Human, Mouse
Applications: WB, IF-Cell, IHC-P, FC
Clonality: Polyclonal
Form: Liquid
Storage condition: Shipped at 4℃. Store at +4℃ short term (1-2 weeks). It is recommended to aliquot into single-use upon delivery. Store at -20℃ long term.
Storage buffer: PBS (pH7.4), 0.1% BSA, 40% Glycerol. Preservative: 0.05% Sodium Azide.
Concentration: 1ug/ul
Purification: Immunogen affinity purified.
Molecular weight: Predicted band size: 70/68 kDa
Isotype: IgG
Immunogen: Recombinant protein within human cIAP1 aa 201-618 / 618.
Positive control: HeLa cell lysate, HepG2 cell lysate, Jurkat cell lysate, HT-29 cell lysate, THP-1 cell lysate, TF-1 cell lysate, F9 cell lysate, A549 cell lysate, HEK-293 cell lysate, HeLa, human kidney tissue, human liver tissue.
Subcellular location: Cytoplasm, Nucleus.
Recommended Dilutions:
  WB
  IF-Cell
  IHC-P
  FC

1:1,000
1:100
1:200
1:1,000
Uniprot #: SwissProt: Q13490 Human | Q13489 Human | Q62210 Mouse | O08863 Mouse
Alternative names: API 1 API1 Apoptosis inhibitor 1 Baculoviral IAP repeat containing 2 Baculoviral IAP repeat containing protein 2 Baculoviral IAP repeat-containing protein 2 BIRC 2 BIRC2 BIRC2_HUMAN C IAP1 C-IAP1 Cellular inhibitor of apoptosis 1 cellular inhibitor of apoptosis protein 1 cIAP 1 cIAP1 HIAP 2 HIAP-2 HIAP2 IAP 2 IAP homolog B IAP-2 IAP2 Inhibitor of apoptosis protein 2 MIHB NFR2 TRAF signalling complex protein RING finger protein 48 RNF 48 RNF48 TNFR2 TRAF signaling complex protein 2 TNFR2-TRAF-signaling complex protein 2
Images
HA500535_1.jpg Fig1: Western blot analysis of cIAP1/2 on different lysates with Rabbit anti-cIAP1/2 antibody (HA500535) at 1/1,000 dilution.

Lane 1: HeLa cell lysate
Lane 2: HepG2 cell lysate
Lane 3: Jurkat cell lysate
Lane 4: HT-29 cell lysate
Lane 5: THP-1 cell lysate
Lane 6: TF-1 cell lysate
Lane 7: F9 cell lysate
Lane 8: A549 cell lysate
Lane 9: HEK-293 cell lysate

Lysates/proteins at 20 µg/Lane.

Predicted band size: 70/68 kDa
Observed band size: 70/68 kDa

Exposure time: 43 seconds;

4-20% SDS-PAGE gel.

Proteins were transferred to a PVDF membrane and blocked with 5% NFDM/TBST for 1 hour at room temperature. The primary antibody (HA500535) at 1/1,000 dilution was used in 5% NFDM/TBST at room temperature for 2 hours. Goat Anti-Rabbit IgG - HRP Secondary Antibody (HA1001) at 1/50,000 dilution was used for 1 hour at room temperature.
HA500535_2.jpg Fig2: Immunocytochemistry analysis of HeLa cells labeling cIAP1/2 with Rabbit anti-cIAP1/2 antibody (HA500535) at 1/100 dilution.

Cells were fixed in 4% paraformaldehyde for 15 minutes at room temperature, permeabilized with 0.1% Triton X-100 in PBS for 15 minutes at room temperature, then blocked with 1% BSA in 10% negative goat serum for 1 hour at room temperature. Cells were then incubated with Rabbit anti-cIAP1/2 antibody (HA500535) at 1/100 dilution in 1% BSA in PBST overnight at 4 ℃. Goat Anti-Rabbit IgG H&L (iFluor™ 488, HA1121) was used as the secondary antibody at 1/1,000 dilution. PBS instead of the primary antibody was used as the secondary antibody only control. Nuclear DNA was labelled in blue with DAPI.

Beta tubulin (HA601187, red) was stained at 1/100 dilution overnight at +4℃. Goat Anti-Mouse IgG H&L (iFluor™ 594, HA1126) was used as the secondary antibody at 1/1,000 dilution.
HA500535_3.jpg Fig3: Immunohistochemical analysis of paraffin-embedded human kidney tissue with Rabbit anti-cIAP1/2 antibody (HA500535) at 1/200 dilution.

The section was pre-treated using heat mediated antigen retrieval with Tris-EDTA buffer (pH 9.0) for 20 minutes. The tissues were blocked in 1% BSA for 20 minutes at room temperature, washed with ddH2O and PBS, and then probed with the primary antibody (HA500535) at 1/200 dilution for 1 hour at room temperature. The detection was performed using an HRP conjugated compact polymer system. DAB was used as the chromogen. Tissues were counterstained with hematoxylin and mounted with DPX.
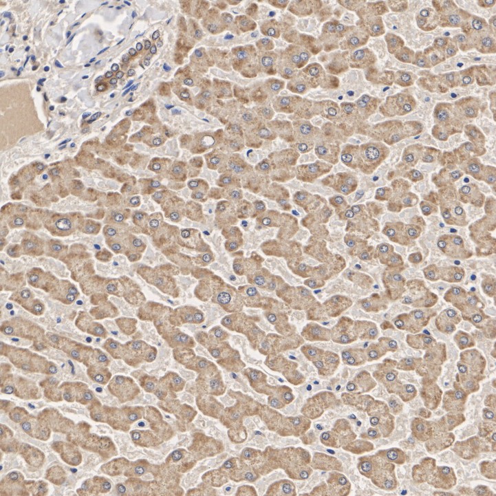
HA500535_4.jpg Fig4: Immunohistochemical analysis of paraffin-embedded human liver tissue with Rabbit anti-cIAP1/2 antibody (HA500535) at 1/200 dilution.

The section was pre-treated using heat mediated antigen retrieval with Tris-EDTA buffer (pH 9.0) for 20 minutes. The tissues were blocked in 1% BSA for 20 minutes at room temperature, washed with ddH2O and PBS, and then probed with the primary antibody (HA500535) at 1/200 dilution for 1 hour at room temperature. The detection was performed using an HRP conjugated compact polymer system. DAB was used as the chromogen. Tissues were counterstained with hematoxylin and mounted with DPX.
HA500535_5.jpg Fig5: Flow cytometric analysis of HeLa cells labeling cIAP1/2.

Cells were fixed and permeabilized. Then stained with the primary antibody (HA500535, 1μg/mL) (red) compared with Rabbit IgG Isotype Control (green). After incubation of the primary antibody at +4℃ for an hour, the cells were stained with a iFluor™ 488 conjugate-Goat anti-Rabbit IgG Secondary antibody (HA1121) at 1/1,000 dilution for 30 minutes at +4℃. Unlabelled sample was used as a control (cells without incubation with primary antibody; black).
Note: All products are “FOR RESEARCH USE ONLY AND ARE NOT INTENDED FOR DIAGNOSTIC OR THERAPEUTIC USE”.