MNK2 Rabbit Polyclonal Antibody
cat.: HA500543
Product Type: Rabbit polyclonal IgG, primary antibodies
Species reactivity: Human, Mouse, Rat
Applications: WB, IHC-P
Clonality: Polyclonal
Form: Liquid
Storage condition: Shipped at 4℃. Store at +4℃ short term (1-2 weeks). It is recommended to aliquot into single-use upon delivery. Store at -20℃ long term.
Storage buffer: PBS (pH7.4), 0.1% BSA, 40% Glycerol. Preservative: 0.05% Sodium Azide.
Concentration: 1ug/ul
Purification: Protein A affinity purified.
Molecular weight: Predicted band size: 52 kDa
Isotype: IgG
Immunogen: Recombinant protein within human MNK2 aa 266-465 / 465.
Positive control: Jurkat cell lysate, HeLa cell lysate, SK-OV-3 cell lysate, HepG2 cell lysate, rat ovary tissue lysate, mouse testis tissue, rat skeletal muscle tissue.
Subcellular location: Nucleus, PML body; Cytoplasm.
Recommended Dilutions:
  WB
  IHC-P

1:1,000
1:1,000-1:2,000
Uniprot #: SwissProt: Q9HBH9 Human | Q8CDB0 Mouse | Q5U2N4 Rat
Alternative names: G protein coupled receptor kinase 7 GPRK7 MAP kinase interacting serine threonine kinase 2 MAP kinase interacting serine threonine kinase MAP kinase interacting serine threonine protein kinase 2 MAP kinase signal integrating kinase 2 MAP kinase signal-integrating kinase 2 MAP kinase-interacting serine/threonine-protein kinase 2 MAPK interacting kinase 2 MAPK signal integrating kinase 2 Mitogen activated protein kinase interacting serine threonine kinase 2 Mknk2 MKNK2_HUMAN Mnk2 Putative map kinase interacting kinase
Images
HA500543_1.jpg Fig1: Western blot analysis of MNK2 on different lysates with Rabbit anti-MNK2 antibody (HA500543) at 1/1,000 dilution.

Lane 1: Jurkat cell lysate (20 µg/Lane)
Lane 2: HeLa cell lysate (20 µg/Lane)
Lane 3: SK-OV-3 cell lysate (20 µg/Lane)
Lane 4: HepG2 cell lysate (20 µg/Lane)
Lane 5: Rat ovary tissue lysate (40 µg/Lane)

Predicted band size: 52 kDa
Observed band size: 52 kDa

Exposure time: 3 minutes;

4-20% SDS-PAGE gel.

Proteins were transferred to a PVDF membrane and blocked with 5% NFDM/TBST for 1 hour at room temperature. The primary antibody (HA500543) at 1/1,000 dilution was used in 5% NFDM/TBST at room temperature for 2 hours. Goat Anti-Rabbit IgG - HRP Secondary Antibody (HA1001) at 1/50,000 dilution was used for 1 hour at room temperature.
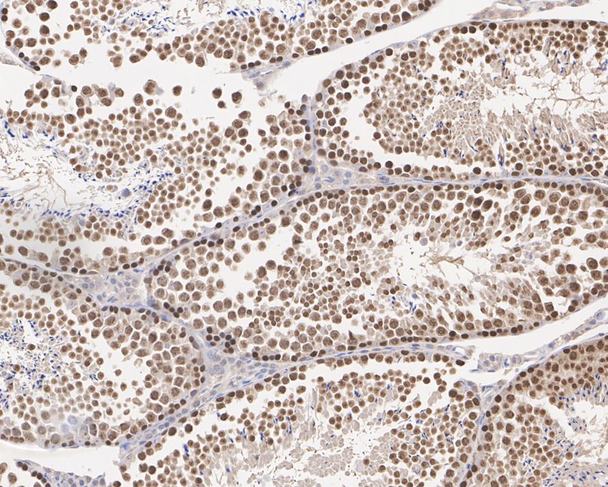
HA500543_2.jpg Fig2: Immunohistochemical analysis of paraffin-embedded mouse testis tissue with Rabbit anti-MNK2 antibody (HA500543) at 1/2,000 dilution.

The section was pre-treated using heat mediated antigen retrieval with sodium citrate buffer (pH 6.0) for 2 minutes. The tissues were blocked in 1% BSA for 20 minutes at room temperature, washed with ddH2O and PBS, and then probed with the primary antibody (HA500543) at 1/2,000 dilution for 1 hour at room temperature. The detection was performed using an HRP conjugated compact polymer system. DAB was used as the chromogen. Tissues were counterstained with hematoxylin and mounted with DPX.
HA500543_3.jpg Fig3: Immunohistochemical analysis of paraffin-embedded rat skeletal muscle tissue with Rabbit anti-MNK2 antibody (HA500543) at 1/1,000 dilution.

The section was pre-treated using heat mediated antigen retrieval with sodium citrate buffer (pH 6.0) for 2 minutes. The tissues were blocked in 1% BSA for 20 minutes at room temperature, washed with ddH2O and PBS, and then probed with the primary antibody (HA500543) at 1/1,000 dilution for 1 hour at room temperature. The detection was performed using an HRP conjugated compact polymer system. DAB was used as the chromogen. Tissues were counterstained with hematoxylin and mounted with DPX.
Note: All products are “FOR RESEARCH USE ONLY AND ARE NOT INTENDED FOR DIAGNOSTIC OR THERAPEUTIC USE”.