PORCN Rabbit Polyclonal Antibody
cat.: HA500546
Product Type: Rabbit polyclonal IgG, primary antibodies
Species reactivity: Human, Mouse, Rat
Applications: WB
Clonality: Polyclonal
Form: Liquid
Storage condition: Shipped at 4℃. Store at +4℃ short term (1-2 weeks). It is recommended to aliquot into single-use upon delivery. Store at -20℃ long term.
Storage buffer: PBS (pH7.4), 0.1% BSA, 40% Glycerol. Preservative: 0.05% Sodium Azide.
Concentration: 1ug/ul
Purification: Peptide affinity purified.
Molecular weight: Predicted band size: 52 kDa
Isotype: IgG
Positive control: K-562 cell lysate, HepG2 cell lysate, SiHa cell lysate, 293T cell lysate, SH-SY5Y cell lysate, Neuro-2a cell lysate, C6 cell lysate, Mouse kidney tissue lysate, Mouse brain tissue lysate, Rat brain tissue lysate, Rat kidney tissue lysate.
Subcellular location: Endoplasmic reticulum membrane.
Recommended Dilutions:
  WB

1:1,000
Uniprot #: SwissProt: Q9H237 Human | Q9JJJ7 Mouse
Entrez Gene: 317368 Rat
Alternative names: DHOF FODH MG61 MGC29687 por PORC PORCN PORCN_HUMAN PPN Probable protein-cysteine N-palmitoyltransferase porcupine Protein MG61
Images
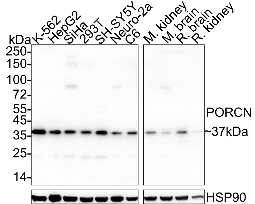
HA500546_1.jpg Fig1: Western blot analysis of PORCN on different lysates with Rabbit anti-PORCN antibody (HA500546) at 1/1,000 dilution.

Lane 1: K-562 cell lysate (20 µg/Lane)
Lane 2: HepG2 cell lysate (20 µg/Lane)
Lane 3: SiHa cell lysate (20 µg/Lane)
Lane 4: 293T cell lysate (20 µg/Lane)
Lane 5: SH-SY5Y cell lysate (20 µg/Lane)
Lane 6: Neuro-2a cell lysate (20 µg/Lane)
Lane 7: C6 cell lysate (20 µg/Lane)
Lane 8: Mouse kidney tissue lysate (40 µg/Lane)
Lane 9: Mouse brain tissue lysate (40 µg/Lane)
Lane 10: Rat brain tissue lysate (40 µg/Lane)
Lane 11: Rat kidney tissue lysate (40 µg/Lane)

Predicted band size: 52 kDa
Observed band size: 37 kDa

Exposure time: 59 seconds; ECL: K1801;

4-20% SDS-PAGE gel.

Proteins were transferred to a PVDF membrane and blocked with 5% NFDM/TBST for 1 hour at room temperature. The primary antibody (HA500546) at 1/1,000 dilution was used in 5% NFDM/TBST at 4℃ overnight. Goat Anti-Rabbit IgG - HRP Secondary Antibody (HA1001) at 1/50,000 dilution was used for 1 hour at room temperature.
Note: All products are “FOR RESEARCH USE ONLY AND ARE NOT INTENDED FOR DIAGNOSTIC OR THERAPEUTIC USE”.