CD21 Mouse Monoclonal Antibody [A4E5]
cat.: HA600001
Product Type: Mouse monoclonal IgG2b, primary antibodies
Species reactivity: Human
Applications: WB, IF-Cell, IHC-P
Clonality: Monoclonal
Clone number: A4E5
Form: Liquid
Storage condition: Shipped at 4℃. Store at +4℃ short term (1-2 weeks). It is recommended to aliquot into single-use upon delivery. Store at -20℃ long term.
Storage buffer: 1*TBS (pH7.4), 0.2% BSA, 50% Glycerol. Preservative: 0.05% Sodium Azide.
Concentration: 2ug/ul
Purification: Protein G affinity purified.
Molecular weight: Predicted band size: 113 kDa
Isotype: IgG2b
Immunogen: Synthetic peptide within human CD21 aa 980-1033.
Positive control: Raji cell lysate, Jurkat cell lysate, human tonsil tissue, human spleen tissue, SW620, 293T.
Subcellular location: Cell membrane, Membrane.
Recommended Dilutions:
  WB
  IF-Cell
  IHC-P

1:1,000
1:50-1:100
1:100-1:500
Uniprot #: SwissProt: P20023 Human
Alternative names: C3DR CD 21 CD21 Complement C3d receptor Complement component (3d/Epstein Barr virus) receptor 2 Complement receptor type 2 CR Cr2 CR2_HUMAN CVID7 EBV receptor EBV-R Epstein Barr virus receptor Epstein-Barr virus receptor EVBR SLEB9
Images
HA600001_1.jpg Fig1: Western blot analysis of CD21 on different lysates with Mouse anti-CD21 antibody (HA600001) at 1/1,000 dilution.

Lane 1: Raji cell lysate
Lane 2: Jurkat cell lysate
Lane 3: K-562 cell lysate (negative)

Lysates/proteins at 20 µg/Lane.

Predicted band size: 113 kDa
Observed band size: 160 kDa

Exposure time: 24 seconds; ECL: K1802;

4-20% SDS-PAGE gel.

Proteins were transferred to a PVDF membrane and blocked with 5% NFDM/TBST for 1 hour at room temperature. The primary antibody (HA600001) at 1/1,000 dilution was used in 5% NFDM/TBST at room temperature for 2 hours. Goat Anti-Mouse IgG - HRP Secondary Antibody (HA1006) at 1/50,000 dilution was used for 1 hour at room temperature.
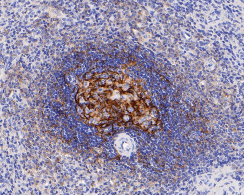
HA600001_2.jpg Fig2: Immunohistochemical analysis of paraffin-embedded human tonsil tissue using anti-CD21 antibody. The section was pre-treated using heat mediated antigen retrieval with Tris-EDTA buffer (pH 8.0-8.4) for 20 minutes.The tissues were blocked in 5% BSA for 30 minutes at room temperature, washed with ddH2O and PBS, and then probed with the primary antibody (HA600001, 1/400) for 30 minutes at room temperature. The detection was performed using an HRP conjugated compact polymer system. DAB was used as the chromogen. Tissues were counterstained with hematoxylin and mounted with DPX.
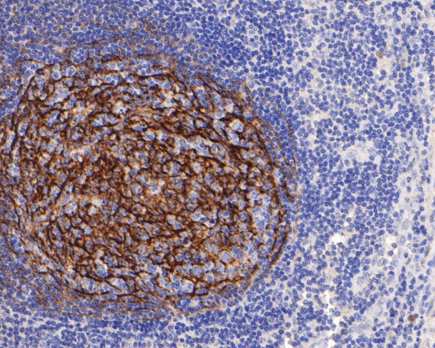
HA600001_3.jpg Fig3: Immunohistochemical analysis of paraffin-embedded human spleen tissue using anti-CD21 antibody. The section was pre-treated using heat mediated antigen retrieval with Tris-EDTA buffer (pH 8.0-8.4) for 20 minutes.The tissues were blocked in 5% BSA for 30 minutes at room temperature, washed with ddH2O and PBS, and then probed with the primary antibody (HA600001, 1/400) for 30 minutes at room temperature. The detection was performed using an HRP conjugated compact polymer system. DAB was used as the chromogen. Tissues were counterstained with hematoxylin and mounted with DPX.
HA600001_4.jpg Fig4: ICC staining of CD21 in SW620 cells (green). Formalin fixed cells were permeabilized with 0.1% Triton X-100 in TBS for 10 minutes at room temperature and blocked with 1% Blocker BSA for 15 minutes at room temperature. Cells were probed with the primary antibody (HA600001, 1/50) for 1 hour at room temperature, washed with PBS. Alexa Fluor®488 Goat anti-Mouse IgG was used as the secondary antibody at 1/1,000 dilution. The nuclear counter stain is DAPI (blue).
HA600001_5.jpg Fig5: ICC staining of CD21 in 293T cells (green). Formalin fixed cells were permeabilized with 0.1% Triton X-100 in TBS for 10 minutes at room temperature and blocked with 1% Blocker BSA for 15 minutes at room temperature. Cells were probed with the primary antibody (HA600001, 1/100) for 1 hour at room temperature, washed with PBS. Alexa Fluor®488 Goat anti-Mouse IgG was used as the secondary antibody at 1/1,000 dilution. The nuclear counter stain is DAPI (blue).
Note: All products are “FOR RESEARCH USE ONLY AND ARE NOT INTENDED FOR DIAGNOSTIC OR THERAPEUTIC USE”.