CLIC2 Mouse Monoclonal Antibody [A5G9]
cat.: HA600063
Product Type: Mouse monoclonal IgG1, primary antibodies
Species reactivity: Human
Applications: WB, IF-Cell, IHC-P, FC
Clonality: Monoclonal
Clone number: A5G9
Form: Liquid
Storage condition: Shipped at 4℃. Store at +4℃ short term (1-2 weeks). It is recommended to aliquot into single-use upon delivery. Store at -20℃ long term.
Storage buffer: 1*TBS (pH7.4), 0.2% BSA, 50% Glycerol. Preservative: 0.05% Sodium Azide.
Concentration: 2ug/ul
Purification: Protein G affinity purified.
Molecular weight: 28 kDa
Isotype: IgG1
Immunogen: Recombinant protein within human CLIC2 aa 50-247 / 247.
Positive control: K562 cell lysates, human liver tissue lysate, human skeletal muscle tissue lysate, HepG2, human fetal skeletal muscle tissue, human liver tissue, SH-SY5Y.
Subcellular location: Cytoplasm, Membrane.
Recommended Dilutions:
  WB
  IF-Cell
  IHC-P
  FC

1:500-1:2,000
1:50-1:100
1:100-1:500
1:100-1:500
Uniprot #: SwissProt: O15247 Human
Alternative names: Chloride intracellular channel 2 Chloride intracellular channel protein 2 CLIC 2b CLIC2 CLIC2_HUMAN CLIC2b MRXS32 OTTHUMP00000196471 XAP 121 XAP121
Images
HA600063_1.jpg Fig1: Western blot analysis of CLIC2 on K562 cell lysates. Proteins were transferred to a PVDF membrane and blocked with 5% NFDM/TBST for 1 hour at room temperature. The primary antibody (HA600063, 1/500) was used in 5% NFDM/TBST at room temperature for 2 hours. Goat Anti-Mouse IgG - HRP Secondary Antibody (HA1006) at 1:20,000 dilution was used for 1 hour at room temperature.
HA600063_2.jpg Fig2: Western blot analysis of CLIC2 on different lysates. Proteins were transferred to a PVDF membrane and blocked with 5% NFDM/TBST for 1 hour at room temperature. The primary antibody (HA600063, 1/500) was used in 5% NFDM/TBST at room temperature for 2 hours. Goat Anti-Mouse IgG - HRP Secondary Antibody (HA1006) at 1:20,000 dilution was used for 1 hour at room temperature.
Positive control:
Lane 1: Human liver tissue lysate
Lane 2: Human skeletal muscle tissue lysate
HA600063_3.jpg Fig3: ICC staining of CLIC2 in HepG2 cells (green). Formalin fixed cells were permeabilized with 0.1% Triton X-100 in TBS for 10 minutes at room temperature and blocked with 10% negative goat serum for 15 minutes at room temperature. Cells were probed with the primary antibody (HA600063, 1/50) for 1 hour at room temperature, washed with PBS. Alexa Fluor®488 conjugate-Goat anti-Mouse IgG was used as the secondary antibody at 1/1,000 dilution. The nuclear counter stain is DAPI (blue).
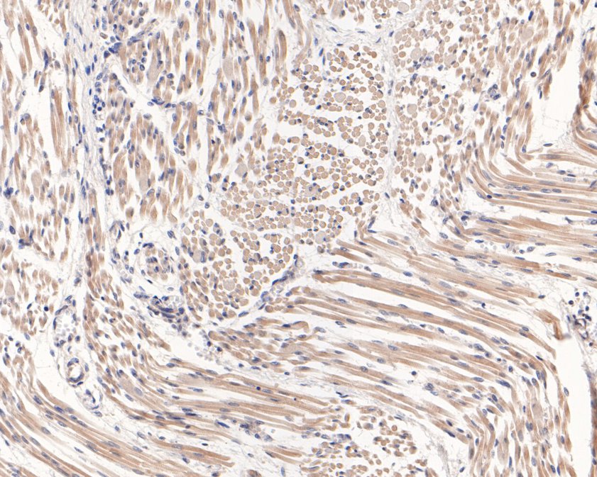
HA600063_4.jpg Fig4: Immunohistochemical analysis of paraffin-embedded human fetal skeletal muscle tissue using anti-CLIC2 antibody. The section was pre-treated using heat mediated antigen retrieval with Tris-EDTA buffer (pH 9.0) for 20 minutes.The tissues were blocked in 1% BSA for 30 minutes at room temperature, washed with ddH2O and PBS, and then probed with the primary antibody (HA600063, 1/400) for 30 minutes at room temperature. The detection was performed using an HRP conjugated compact polymer system. DAB was used as the chromogen. Tissues were counterstained with hematoxylin and mounted with DPX.
HA600063_5.jpg Fig5: Immunohistochemical analysis of paraffin-embedded human liver tissue using anti-CLIC2 antibody. The section was pre-treated using heat mediated antigen retrieval with Tris-EDTA buffer (pH 9.0) for 20 minutes.The tissues were blocked in 1% BSA for 30 minutes at room temperature, washed with ddH2O and PBS, and then probed with the primary antibody (HA600063, 1/400) for 30 minutes at room temperature. The detection was performed using an HRP conjugated compact polymer system. DAB was used as the chromogen. Tissues were counterstained with hematoxylin and mounted with DPX.
HA600063_6.jpg Fig6: Flow cytometric analysis of CLIC2 was done on SH-SY5Y cells. The cells were fixed, permeabilized and stained with the primary antibody (HA600063, 1ug/ml) (red) compared with Mouse IgG, monoclonal - Isotype Control ( green). After incubation of the primary antibody at room temperature for an hour, the cells were stained with a Alexa Fluor®488 conjugate-Goat anti-Mouse IgG Secondary antibody at 1/1000 dilution for 30 minutes.Unlabelled sample was used as a control (cells without incubation with primary antibody; black).
Note: All products are “FOR RESEARCH USE ONLY AND ARE NOT INTENDED FOR DIAGNOSTIC OR THERAPEUTIC USE”.