TROP2 Mouse Monoclonal Antibody [A5E4]
cat.: HA600073
Product Type: Mouse monoclonal IgG1, primary antibodies
Species reactivity: Human
Applications: WB, IF-Cell, IHC-P, FC
Clonality: Monoclonal
Clone number: A5E4
Form: Liquid
Storage condition: Shipped at 4℃. Store at +4℃ short term (1-2 weeks). It is recommended to aliquot into single-use upon delivery. Store at -20℃ long term.
Storage buffer: 1*TBS (pH7.4), 0.2% BSA, 50% Glycerol. Preservative: 0.05% Sodium Azide.
Concentration: 2ug/ul
Purification: Protein G affinity purified.
Molecular weight: 36 kDa
Isotype: IgG1
Immunogen: Recombinant protein within human TROP2 aa 1-274 / 323 (Extracellular).
Positive control: MDA-MB-468 cell lysates, MCF-7, MDA-MB-468, human skin tissue, human breast cancer tissue, human esophagus tissue.
Subcellular location: Membrane.
Recommended Dilutions:
  WB
  IF-Cell
  IHC-P
  FC

1:500-1:2,000
1:50-1:100
1:400-1:1,000
1:100-1:500
Uniprot #: SwissProt: P09758 Human
Alternative names: Cell surface glycoprotein Trop 2 Cell surface glycoprotein Trop-2 Cell surface glycoprotein Trop2 Epithelial glycoprotein 1 GA733 1 GA7331 M1S 1 M1S1 Membrane component chromosome 1 surface marker 1 Pancreatic carcinoma marker protein GA733 1 Pancreatic carcinoma marker protein GA733-1 Pancreatic carcinoma marker protein GA7331 TACD 2 TACD2_HUMAN TACSTD 2 Tacstd2 Trop 2 Trop2 Tumor associated calcium signal transducer 2 precursor Tumor-associated calcium signal transducer 2
Images
HA600073_1.jpg Fig1: Western blot analysis of on MDA-MB-468 cell lysates. Proteins were transferred to a PVDF membrane and blocked with 5% NFDM/TBST for 1 hour at room temperature. The primary antibody (HA600073, 1/500) was used in 5% NFDM/TBST at room temperature for 2 hours. Goat Anti-Mouse IgG - HRP Secondary Antibody (HA1006) at 1:20,000 dilution was used for 1 hour at room temperature.

Predicted band size: 36 kDa
Observed band size: 55 kDa
HA600073_2.jpg Fig2: ICC staining of TROP2 in MCF-7 cells (green). Formalin fixed cells were permeabilized with 0.1% Triton X-100 in TBS for 10 minutes at room temperature and blocked with 10% negative goat serum for 15 minutes at room temperature. Cells were probed with the primary antibody (HA600073, 1/50) for 1 hour at room temperature, washed with PBS. Alexa Fluor®488 conjugate-Goat anti-Mouse IgG was used as the secondary antibody at 1/1,000 dilution. The nuclear counter stain is DAPI (blue).
HA600073_3.jpg Fig3: ICC staining of in MDA-MB-468 cells (green). Formalin fixed cells were permeabilized with 0.1% Triton X-100 in TBS for 10 minutes at room temperature and blocked with 10% negative goat serum for 15 minutes at room temperature. Cells were probed with the primary antibody (HA600073, 1/50) for 1 hour at room temperature, washed with PBS. Alexa Fluor®488 conjugate-Goat anti-Mouse IgG was used as the secondary antibody at 1/1,000 dilution. The nuclear counter stain is DAPI (blue).
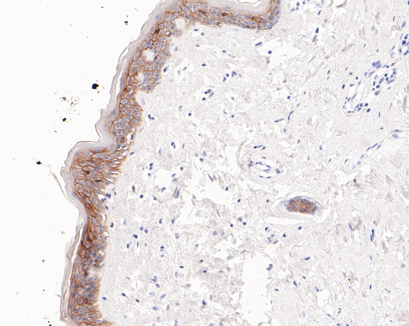
HA600073_4.jpg Fig4: Immunohistochemical analysis of paraffin-embedded human skin tissue using anti-TROP2 antibody. The section was pre-treated using heat mediated antigen retrieval with sodium citrate buffer (pH 6.0) for 20 minutes. The tissues were blocked in 1% BSA for 30 minutes at room temperature, washed with ddH2O and PBS, and then probed with the primary antibody (HA600073, 1/400) for 30 minutes at room temperature. The detection was performed using an HRP conjugated compact polymer system. DAB was used as the chromogen. Tissues were counterstained with hematoxylin and mounted with DPX.
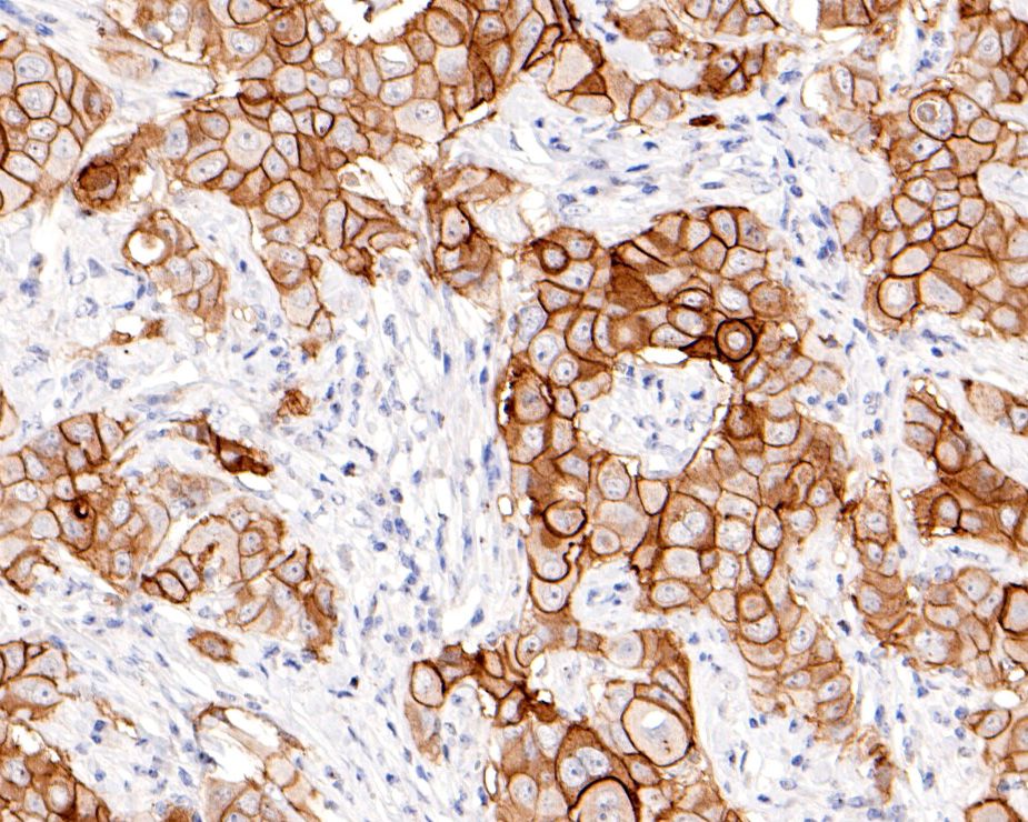
HA600073_5.jpg Fig5: Immunohistochemical analysis of paraffin-embedded human breast cancer tissue using anti-TROP2 antibody. The section was pre-treated using heat mediated antigen retrieval with sodium citrate buffer (pH 6.0) for 20 minutes. The tissues were blocked in 1% BSA for 30 minutes at room temperature, washed with ddH2O and PBS, and then probed with the primary antibody (HA600073, 1/400) for 30 minutes at room temperature. The detection was performed using an HRP conjugated compact polymer system. DAB was used as the chromogen. Tissues were counterstained with hematoxylin and mounted with DPX.
HA600073_6.jpg Fig6: Immunohistochemical analysis of paraffin-embedded human esophagus tissue with Mouse anti-TROP2 antibody (HA600073) at 1/1,000 dilution.

The section was pre-treated using heat mediated antigen retrieval with Tris-EDTA buffer (pH 9.0) for 20 minutes. The tissues were blocked in 1% BSA for 20 minutes at room temperature, washed with ddH2O and PBS, and then probed with the primary antibody (HA600073) at 1/1,000 dilution for 1 hour at room temperature. The detection was performed using an HRP conjugated compact polymer system. DAB was used as the chromogen. Tissues were counterstained with hematoxylin and mounted with DPX.
HA600073_7.jpg Fig7: Flow cytometric analysis of TROP2 was done on MDA-MB-468 cells. The cells were fixed, permeabilized and stained with the primary antibody (HA600073, 1ug/ml) (red) compared with Mouse IgG, monoclonal - Isotype Control ( green). After incubation of the primary antibody at room temperature for an hour, the cells were stained with a Alexa Fluor®488 conjugate-Goat anti-Mouse IgG Secondary antibody at 1/1000 dilution for 30 minutes.Unlabelled sample was used as a control (cells without incubation with primary antibody; black).
Note: All products are “FOR RESEARCH USE ONLY AND ARE NOT INTENDED FOR DIAGNOSTIC OR THERAPEUTIC USE”.