Topoisomerase II alpha Mouse Monoclonal Antibody [A3F12]
cat.: HA601028
Product Type: Mouse monoclonal IgG1, primary antibodies
Species reactivity: Human, Mouse
Applications: WB, IHC-P
Clonality: Monoclonal
Clone number: A3F12
Form: Liquid
Storage condition: Shipped at 4℃. Store at +4℃ short term (1-2 weeks). It is recommended to aliquot into single-use upon delivery. Store at -20℃ long term.
Storage buffer: PBS (pH7.4), 0.05% BSA, 40% Glycerol. Preservative: 0.05% Sodium Azide.
Concentration: 2ug/ul
Purification: Protein G affinity purified.
Molecular weight: Predicted band size: 174 kDa
Isotype: IgG1
Immunogen: Synthetic peptide within human Topoisomerase II alpha aa1480-1531.
Positive control: Jurkat cell lysate, A549 cell lysate, NIH/3T3 cell lysate, human breast carcinoma tissue.
Subcellular location: Cytoplasm, Nucleus.
Recommended Dilutions:
  WB
  IHC-P

1:500-1:2,000
1:200
Uniprot #: SwissProt: P11388 Human | Q01320 Mouse | P41516 Rat
Alternative names: alpha isozyme ATP hydrolyzing DNA topoisomerase II alfa DNA gyrase DNA topoisomerase (ATP hydrolyzing) DNA topoisomerase 2 alpha DNA topoisomerase 2-alpha DNA topoisomerase II 170 kD DNA topoisomerase II alpha isozyme DNA topoisomerase II DNA Topoisomerase2 TOP 2A TOP2 TOP2A TOP2A_HUMAN Topoisomerase DNA II alpha 170kDa TP2A
Images
HA601028_1.jpg Fig1: Western blot analysis of Topoisomerase II alpha on Jurkat cell lysates with Mouse anti-Topoisomerase II alpha antibody (HA601028) at 1/1,000 dilution.

Lysates/proteins at 20 µg/Lane.

Predicted band size: 174 kDa
Observed band size: 174 kDa

Exposure time: 3 minutes; ECL: K1801;

4-20% SDS-PAGE gel.

Proteins were transferred to a PVDF membrane and blocked with 5% NFDM/TBST for 1 hour at room temperature. The primary antibody (HA601028) at 1/1,000 dilution was used in 5% NFDM/TBST at 4℃ overnight. Goat Anti-Mouse IgG - HRP Secondary Antibody (HA1006) at 1/50,000 dilution was used for 1 hour at room temperature.
HA601028_2.jpg Fig2: Western blot analysis of Topoisomerase II alpha on different cell lysates with Mouse anti-Topoisomerase II alpha antibody (HA601028) at 1/500 dilution.

Lane 1: A549 cell lysate
Lane 2: Jurkat cell lysate
Lane 3: NIH/3T3 cell lysate

Lysates/proteins at 10 µg/Lane.

Predicted band size: 174 kDa
Observed band size: 174 kDa

Exposure time: 2 minutes;

6% SDS-PAGE gel.

Proteins were transferred to a PVDF membrane and blocked with 5% NFDM/TBST for 1 hour at room temperature. The primary antibody (HA601028) at 1/500 dilution was used in 5% NFDM/TBST at room temperature for 2 hours. Goat Anti-Mouse IgG - HRP Secondary Antibody (HA1006) at 1:20,000 dilution was used for 1 hour at room temperature.
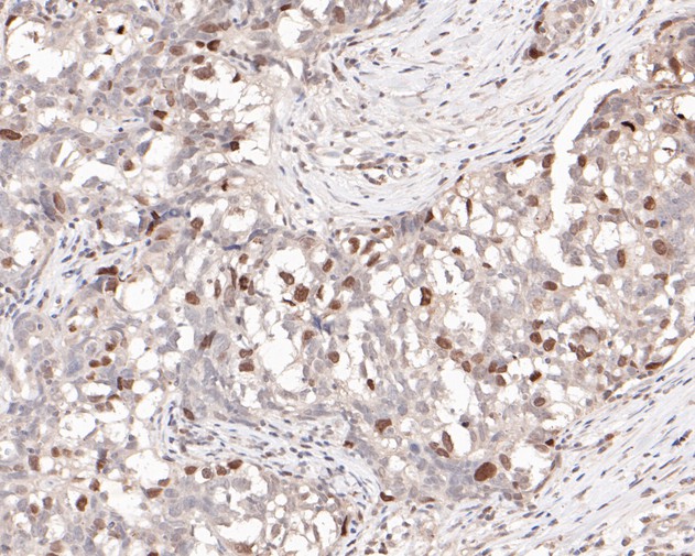
HA601028_3.jpg Fig3: Immunohistochemical analysis of paraffin-embedded human breast carcinoma tissue with Mouse anti-Topoisomerase II alpha antibody (HA601028) at 1/500 dilution.

The section was pre-treated using heat mediated antigen retrieval with Tris-EDTA buffer (pH 9.0) for 20 minutes. The tissues were blocked in 1% BSA for 20 minutes at room temperature, washed with ddH2O and PBS, and then probed with the primary antibody (HA601028) at 1/500 dilution for 1 hour at room temperature. The detection was performed using an HRP conjugated compact polymer system. DAB was used as the chromogen. Tissues were counterstained with hematoxylin and mounted with DPX.
Note: All products are “FOR RESEARCH USE ONLY AND ARE NOT INTENDED FOR DIAGNOSTIC OR THERAPEUTIC USE”.