Ki67 Recombinant Mouse Monoclonal Antibody [PD00-10]
cat.: HA601053
Product Type: Recombinant Mouse monoclonal IgG1, primary antibodies
Species reactivity: Human, Mouse
Applications: IHC-P, IF-Tissue
Clonality: Monoclonal
Clone number: PD00-10
Form: Liquid
Storage condition: Shipped at 4℃. Store at +4℃ short term (1-2 weeks). It is recommended to aliquot into single-use upon delivery. Store at -20℃ long term.
Storage buffer: PBS (pH7.4), 0.1% BSA, 40% Glycerol. Preservative: 0.05% Sodium Azide.
Concentration: 1ug/ul
Purification: Protein A affinity purified.
Molecular weight: Predicted band size: 359 kDa
Isotype: IgG1
Immunogen: Synthetic peptide within human Ki67 aa 1040-1080.
Positive control: Human tonsil tissue, human colon carcinoma tissue, mouse large intestine tissue.
Subcellular location: Nucleus, nucleolus.
Recommended Dilutions:
  IHC-P
  IF-Tissue

1:1,000-1:2,000
1:50-1:400
Uniprot #: SwissProt: P46013 Human | E9PVX6 Mouse
Alternative names: Antigen identified by monoclonal Ki 67 Antigen identified by monoclonal Ki-67 Antigen KI-67 Antigen KI67 Antigen Ki67 KI67_HUMAN KIA Marker of proliferation Ki-67 MIB 1 MIB MKI67 PPP1R105 Proliferation marker protein Ki-67 Proliferation related Ki 67 antigen Protein phosphatase 1 regulatory subunit 105 RP11-380J17.2
Images
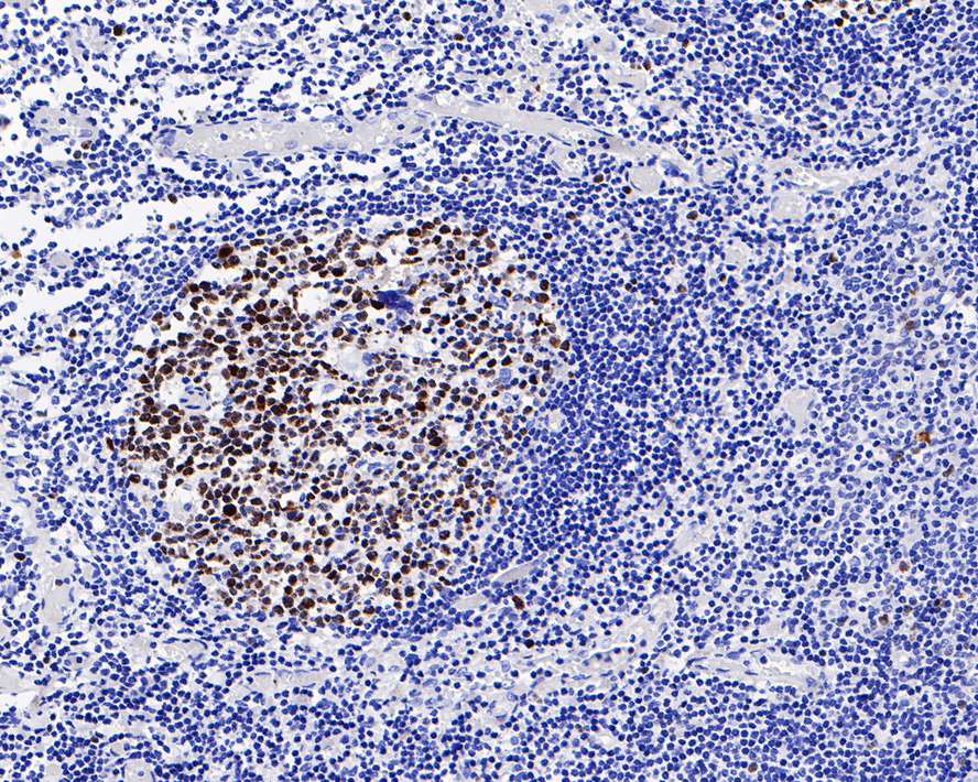
HA601053_1.jpg Fig1: Immunohistochemical analysis of paraffin-embedded human tonsil tissue with Mouse anti-Ki67 antibody (HA601053) at 1/1,000 dilution.

The section was pre-treated using heat mediated antigen retrieval with sodium citrate buffer (pH 6.0) (high pressure) for 2 minutes. The tissues were blocked in 1% BSA for 20 minutes at room temperature, washed with ddH2O and PBS, and then probed with the primary antibody (HA601053) at 1/1,000 dilution for 1 hour at room temperature. The detection was performed using an HRP conjugated compact polymer system. DAB was used as the chromogen. Tissues were counterstained with hematoxylin and mounted with DPX.
HA601053_2.jpg Fig2: Immunohistochemical analysis of paraffin-embedded human colon carcinoma tissue with Mouse anti-Ki67 antibody (HA601053) at 1/2,000 dilution.

The section was pre-treated using heat mediated antigen retrieval with sodium citrate buffer (pH 6.0) (high pressure) for 2 minutes. The tissues were blocked in 1% BSA for 20 minutes at room temperature, washed with ddH2O and PBS, and then probed with the primary antibody (HA601053) at 1/2,000 dilution for 1 hour at room temperature. The detection was performed using an HRP conjugated compact polymer system. DAB was used as the chromogen. Tissues were counterstained with hematoxylin and mounted with DPX.
HA601053_3.jpg Fig3: Immunohistochemical analysis of paraffin-embedded mouse large intestine tissue with Mouse anti-Ki67 antibody (HA601053) at 1/2,000 dilution.

The section was pre-treated using heat mediated antigen retrieval with sodium citrate buffer (pH 6.0) (high pressure) for 2 minutes. The tissues were blocked in 1% BSA for 20 minutes at room temperature, washed with ddH2O and PBS, and then probed with the primary antibody (HA601053) at 1/2,000 dilution for 1 hour at room temperature. The detection was performed using an HRP conjugated compact polymer system. DAB was used as the chromogen. Tissues were counterstained with hematoxylin and mounted with DPX.
HA601053_4.jpg Fig4: Immunofluorescence analysis of paraffin-embedded human tonsil tissue labeling Ki67 with Mouse anti-Ki67 antibody (HA601053) at 1/200 dilution.

The section was pre-treated using heat mediated antigen retrieval with sodium citrate buffer (pH 6.0) (high pressure) for 2 minutes. The tissues were blocked in 10% negative goat serum for 1 hour at room temperature, washed with PBS, and then probed with the primary antibody (HA601053, green) at 1/200 dilution overnight at 4 ℃, washed with PBS. Goat Anti-Mouse IgG H&L (iFluor™ 488, HA1125) was used as the secondary antibody at 1/1,000 dilution. Nuclei were counterstained with DAPI (blue).
Note: All products are “FOR RESEARCH USE ONLY AND ARE NOT INTENDED FOR DIAGNOSTIC OR THERAPEUTIC USE”.