BCL6 Recombinant Mouse Monoclonal Antibody [A6C7-R]
cat.: HA601083
Product Type: Recombinant Mouse monoclonal IgG1, primary antibodies
Species reactivity: Human
Applications: IHC-P, IF-Cell, mIHC
Clonality: Monoclonal
Clone number: A6C7-R
Form: Liquid
Storage condition: Shipped at 4℃. Store at +4℃ short term (1-2 weeks). It is recommended to aliquot into single-use upon delivery. Store at -20℃ long term.
Storage buffer: PBS (pH7.4), 0.1% BSA, 40% Glycerol. Preservative: 0.05% Sodium Azide.
Concentration: 1.026ug/ul
Purification: Protein A affinity purified.
Molecular weight: Predicted band size: 79 kDa
Isotype: IgG1
Immunogen: Recombinant protein within Human BCL-6 aa 301-500 / 706.
Positive control: Human B lymphocytoma tissue, human lymph nodes tissue, Raji, Human tonsil.
Subcellular location: Nucleus.
Recommended Dilutions:
  IHC-P
  IF-Cell
  mIHC

1:1,000
1:200
1:200
Uniprot #: SwissProt: P41182 Human
Alternative names: B cell CLL/lymphoma 6 B cell lymphoma 6 protein B-cell lymphoma 5 protein B-cell lymphoma 6 protein BCL 5 Bcl 6 BCL-5 BCL-6 BCL5 BCL6 BCL6_HUMAN BCL6A cys his2 zinc finger transcription factor cys-his2 zinc finger transcription factor LAZ 3 LAZ 3 protein LAZ3 Lymphoma Associated Zinc Finger Gene On Chromosome 3 (LAZ3) Lymphoma associated zinc finger gene on chromosome 3 Protein LAZ-3 ZBTB 27 ZBTB27 Zinc finger and BTB domain containing protein 27 Zinc finger and BTB domain-containing protein 27 (ZBTB27) Zinc finger and BTB domain-containing protein 27 Zinc Finger Protein 51 (ZNF51) Zinc finger protein 51 zinc finger transcription factor BCL6S ZNF 51 ZNF51
Images
HA601083_1.jpg Fig1: Fluorescence multiplex immunohistochemical analysis of Human tonsil (Formalin/PFA-fixed paraffin-embedded sections). Panel A: the merged image of anti-BCL6 (HA601083, Red), anti-HLA-DPB1 (ET1704-13, Green), anti-Tryptase (ET1610-64, White), anti-CD20 (HA721138, Magenta) and anti-CD45 (ET7111-03, Yellow) on tonsil. HRP Conjugated UltraPolymer Goat Polyclonal Antibody HA1119/HA1120 was used as a secondary antibody. The immunostaining was performed with the Sequential Immuno-staining Kit (IRISKit™MH010101, www.luminiris.cn). The section was incubated in five rounds of staining: in the order of HA601083 (1/200 dilution), ET1704-13 (1/2,000 dilution), ET1610-64 (1/5,000 dilution), HA721138 (1/2,000 dilution) and ET7111-03 (1/500 dilution) for 20 mins at room temperature. Each round was followed by a separate fluorescent tyramide signal amplification system. Heat mediated antigen retrieval with Tris-EDTA buffer (pH 9.0) for 30 mins at 95℃. DAPI (blue) was used as a nuclear counter stain. Image acquisition was performed with Olympus VS200 Slide Scanner.
HA601083_2.jpg Fig2: Fluorescence multiplex immunohistochemical analysis of human tonsil (Formalin/PFA-fixed paraffin-embedded sections). Panel A: the merged image of anti-CD68 (HA601115, Red), anti-BCL6 (HA601083, Yellow) and anti-CD4 (ET1609-52, Green) on tonsil. HRP Conjugated UltraPolymer Goat Polyclonal Antibody HA1119/HA1120 was used as a secondary antibody. The immunostaining was performed with the Sequential Immuno-staining Kit (IRISKit™MH010101, www.luminiris.cn). The section was incubated in three rounds of staining: in the order of HA601115 (1/2,000 dilution), HA601083 (1/200 dilution) and ET1609-52 (1/800 dilution) for 20 mins at room temperature. Each round was followed by a separate fluorescent tyramide signal amplification system. Heat mediated antigen retrieval with Tris-EDTA buffer (pH 9.0) for 30 mins at 95℃. DAPI (blue) was used as a nuclear counter stain. Image acquisition was performed with Zeiss Observer 7 Inverted Fluorescence Microscope.
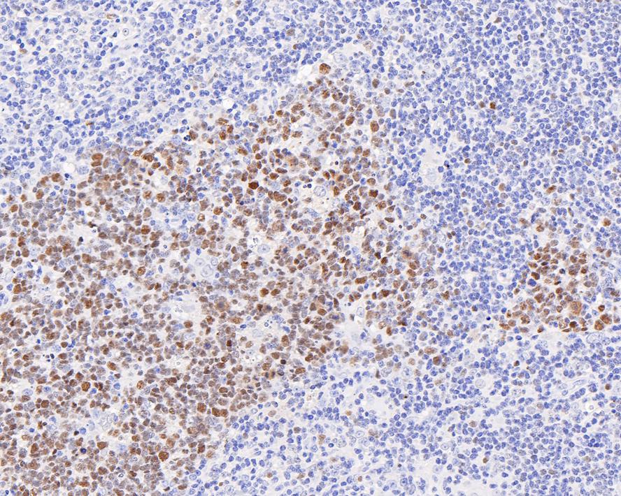
HA601083_3.jpg Fig3: Immunohistochemical analysis of paraffin-embedded human B lymphocytoma tissue with Mouse anti-BCL6 antibody (HA601083) at 1/1,000 dilution.

The section was pre-treated using heat mediated antigen retrieval with sodium citrate buffer (pH 6.0) for 2 minutes. The tissues were blocked in 1% BSA for 20 minutes at room temperature, washed with ddH2O and PBS, and then probed with the primary antibody (HA601083) at 1/1,000 dilution for 1 hour at room temperature. The detection was performed using an HRP conjugated compact polymer system. DAB was used as the chromogen. Tissues were counterstained with hematoxylin and mounted with DPX.
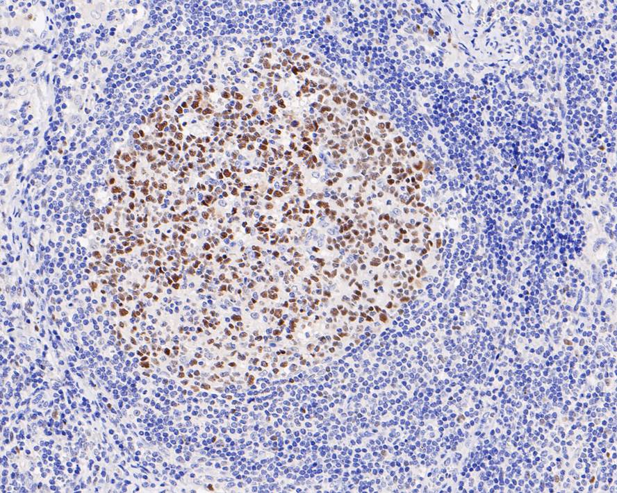
HA601083_4.jpg Fig4: Immunohistochemical analysis of paraffin-embedded human lymph nodes tissue with Mouse anti-BCL6 antibody (HA601083) at 1/1,000 dilution.

The section was pre-treated using heat mediated antigen retrieval with sodium citrate buffer (pH 6.0) for 2 minutes. The tissues were blocked in 1% BSA for 20 minutes at room temperature, washed with ddH2O and PBS, and then probed with the primary antibody (HA601083) at 1/1,000 dilution for 1 hour at room temperature. The detection was performed using an HRP conjugated compact polymer system. DAB was used as the chromogen. Tissues were counterstained with hematoxylin and mounted with DPX.
HA601083_5.jpg Fig5: Immunocytochemistry analysis of Raji cells labeling BCL6 with Mouse anti-BCL6 antibody (HA601083) at 1/200 dilution.

Cells were fixed in 4% paraformaldehyde for 20 minutes at room temperature, permeabilized with 0.1% Triton X-100 in PBS for 5 minutes at room temperature, then blocked with 1% BSA in 10% negative goat serum for 1 hour at room temperature. Cells were then incubated with Mouse anti-BCL6 antibody (HA601083) at 1/200 dilution in 1% BSA in PBST overnight at 4 ℃. Goat Anti-Mouse IgG H&L (iFluor™ 488, HA1125) was used as the secondary antibody at 1/1,000 dilution. PBS instead of the primary antibody was used as the secondary antibody only control. Nuclear DNA was labelled in blue with DAPI.
Note: All products are “FOR RESEARCH USE ONLY AND ARE NOT INTENDED FOR DIAGNOSTIC OR THERAPEUTIC USE”.