S100 beta Recombinant Mouse Monoclonal Antibody [PD00-11]
cat.: HA601098
Product Type: Recombinant Mouse monoclonal IgG, primary antibodies
Species reactivity: Human, Mouse, Rat
Applications: IHC-P, WB, IF-Tissue
Clonality: Monoclonal
Clone number: PD00-11
Form: Liquid
Storage condition: Shipped at 4℃. Store at +4℃ short term (1-2 weeks). It is recommended to aliquot into single-use upon delivery. Store at -20℃ long term.
Storage buffer: PBS (pH7.4), 0.1% BSA, 40% Glycerol. Preservative: 0.05% Sodium Azide.
Concentration: 1ug/ul
Purification: Protein A affinity purified.
Molecular weight: Predicted band size: 11 kDa
Isotype: IgG
Immunogen: Full length corresponding to Human S100 beta.
Positive control: SK-MEL-28 cell lysate, Mouse brain tissue lysate, Rat brain tissue lysate, human malignant melanoma tissue, human meningioma tissue, human tonsil tissue, mouse cerebral cortex tissue, mouse hippocampus tissue, rat cerebral cortex tissue, rat hippocampus tissue, rat adipose tissue.
Subcellular location: Cytoplasm, Nucleus.
Recommended Dilutions:
  IHC-P
  WB
  IF-Tissue

1:5,000-1:20,000
1:1,000-1:2,000
1:200-1:1,000
Uniprot #: SwissProt: P04271 Human | P50114 Mouse | P04631 Rat
Alternative names: NEF Protein S100 B Protein S100-B S 100 calcium binding protein beta chain S 100 protein beta chain S-100 protein beta chain S-100 protein subunit beta S100 S100 calcium binding protein beta (neural) S100 calcium-binding protein B S100 protein beta chain S100B S100B_HUMAN S100beta
Images
HA601098_1.jpg Fig1: Western blot analysis of S100 beta on different lysates with Mouse anti-S100 beta antibody (HA601098) at 1/2,000 dilution.

Lane 1: SK-MEL-28 cell lysate
Lane 2: A-172 cell lysate (negative)
Lane 3: Mouse brain tissue lysate
Lane 4: Mouse brain tissue lysate (no heat)
Lane 5: Rat brain tissue lysate

Notice: no heat means the lysate is not boiled.

Lysates/proteins at 20 µg/Lane.

Predicted band size: 11 kDa
Observed band size: 11 kDa

Exposure time: 42 seconds; ECL: K1801;

4-20% SDS-PAGE gel.

Proteins were transferred to a PVDF membrane and blocked with 5% NFDM/TBST for 1 hour at room temperature. The primary antibody (HA601098) at 1/2,000 dilution was used in primary antibody dilution (K1803) at 4℃ overnight. Goat Anti-Mouse IgG - HRP Secondary Antibody (HA1006) at 1/50,000 dilution was used for 1 hour at room temperature.
HA601098_2.jpg Fig2: Immunohistochemical analysis of paraffin-embedded human malignant melanoma tissue with Mouse anti-S100 beta antibody (HA601098) at 1/5,000 dilution.

The section was pre-treated using heat mediated antigen retrieval with Tris-EDTA buffer (pH 9.0) for 20 minutes. The tissues were blocked in 1% BSA for 20 minutes at room temperature, washed with ddH2O and PBS, and then probed with the primary antibody (HA601098) at 1/5,000 dilution for 1 hour at room temperature. The detection was performed using an HRP conjugated compact polymer system. DAB was used as the chromogen. Tissues were counterstained with hematoxylin and mounted with DPX.
HA601098_3.jpg Fig3: Immunohistochemical analysis of paraffin-embedded human meningioma tissue with Mouse anti-S100 beta antibody (HA601098) at 1/5,000 dilution.

The section was pre-treated using heat mediated antigen retrieval with Tris-EDTA buffer (pH 9.0) for 20 minutes. The tissues were blocked in 1% BSA for 20 minutes at room temperature, washed with ddH2O and PBS, and then probed with the primary antibody (HA601098) at 1/5,000 dilution for 1 hour at room temperature. The detection was performed using an HRP conjugated compact polymer system. DAB was used as the chromogen. Tissues were counterstained with hematoxylin and mounted with DPX.
HA601098_4.jpg Fig4: Immunohistochemical analysis of paraffin-embedded human tonsil tissue with Mouse anti-S100 beta antibody (HA601098) at 1/5,000 dilution.

The section was pre-treated using heat mediated antigen retrieval with Tris-EDTA buffer (pH 9.0) for 20 minutes. The tissues were blocked in 1% BSA for 20 minutes at room temperature, washed with ddH2O and PBS, and then probed with the primary antibody (HA601098) at 1/5,000 dilution for 1 hour at room temperature. The detection was performed using an HRP conjugated compact polymer system. DAB was used as the chromogen. Tissues were counterstained with hematoxylin and mounted with DPX.
HA601098_5.jpg Fig5: Immunohistochemical analysis of paraffin-embedded mouse cerebral cortex tissue with Mouse anti-S100 beta antibody (HA601098) at 1/20,000 dilution.

The section was pre-treated using heat mediated antigen retrieval with Tris-EDTA buffer (pH 9.0) for 20 minutes. The tissues were blocked in 1% BSA for 20 minutes at room temperature, washed with ddH2O and PBS, and then probed with the primary antibody (HA601098) at 1/20,000 dilution for 1 hour at room temperature. The detection was performed using an HRP conjugated compact polymer system. DAB was used as the chromogen. Tissues were counterstained with hematoxylin and mounted with DPX.
HA601098_6.jpg Fig6: Immunohistochemical analysis of paraffin-embedded mouse hippocampus tissue with Mouse anti-S100 beta antibody (HA601098) at 1/20,000 dilution.

The section was pre-treated using heat mediated antigen retrieval with Tris-EDTA buffer (pH 9.0) for 20 minutes. The tissues were blocked in 1% BSA for 20 minutes at room temperature, washed with ddH2O and PBS, and then probed with the primary antibody (HA601098) at 1/20,000 dilution for 1 hour at room temperature. The detection was performed using an HRP conjugated compact polymer system. DAB was used as the chromogen. Tissues were counterstained with hematoxylin and mounted with DPX.
HA601098_7.jpg Fig7: Immunohistochemical analysis of paraffin-embedded rat cerebral cortex tissue with Mouse anti-S100 beta antibody (HA601098) at 1/20,000 dilution.

The section was pre-treated using heat mediated antigen retrieval with Tris-EDTA buffer (pH 9.0) for 20 minutes. The tissues were blocked in 1% BSA for 20 minutes at room temperature, washed with ddH2O and PBS, and then probed with the primary antibody (HA601098) at 1/20,000 dilution for 1 hour at room temperature. The detection was performed using an HRP conjugated compact polymer system. DAB was used as the chromogen. Tissues were counterstained with hematoxylin and mounted with DPX.
HA601098_8.jpg Fig8: Immunohistochemical analysis of paraffin-embedded rat hippocampus tissue with Mouse anti-S100 beta antibody (HA601098) at 1/20,000 dilution.

The section was pre-treated using heat mediated antigen retrieval with Tris-EDTA buffer (pH 9.0) for 20 minutes. The tissues were blocked in 1% BSA for 20 minutes at room temperature, washed with ddH2O and PBS, and then probed with the primary antibody (HA601098) at 1/20,000 dilution for 1 hour at room temperature. The detection was performed using an HRP conjugated compact polymer system. DAB was used as the chromogen. Tissues were counterstained with hematoxylin and mounted with DPX.
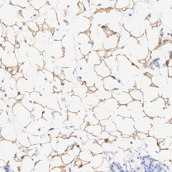
HA601098_9.jpg Fig9: Immunohistochemical analysis of paraffin-embedded rat adipose tissue with Mouse anti-S100 beta antibody (HA601098) at 1/20,000 dilution.

The section was pre-treated using heat mediated antigen retrieval with Tris-EDTA buffer (pH 9.0) for 20 minutes. The tissues were blocked in 1% BSA for 20 minutes at room temperature, washed with ddH2O and PBS, and then probed with the primary antibody (HA601098) at 1/20,000 dilution for 1 hour at room temperature. The detection was performed using an HRP conjugated compact polymer system. DAB was used as the chromogen. Tissues were counterstained with hematoxylin and mounted with DPX.
HA601098_10.jpg Fig10: Immunofluorescence analysis of paraffin-embedded human tonsil tissue labeling S100 beta with Mouse anti-S100 beta antibody (HA601098) at 1/200 dilution.

The section was pre-treated using heat mediated antigen retrieval with Tris-EDTA buffer (pH 9.0) for 20 minutes. The tissues were blocked in 10% negative goat serum for 1 hour at room temperature, washed with PBS, and then probed with the primary antibody (HA601098, green) at 1/200 dilution overnight at 4 ℃, washed with PBS. Goat Anti-Mouse IgG H&L (iFluor™ 488, HA1125) was used as the secondary antibody at 1/1,000 dilution. Nuclei were counterstained with DAPI (blue).
Note: All products are “FOR RESEARCH USE ONLY AND ARE NOT INTENDED FOR DIAGNOSTIC OR THERAPEUTIC USE”.