MSH2 Recombinant Mouse Monoclonal Antibody [10G3-R]
cat.: HA601108
Product Type: Recombinant Mouse monoclonal IgG1, primary antibodies
Species reactivity: Human, Mouse, Rat
Applications: WB, IF-Cell, IHC-P
Clonality: Monoclonal
Clone number: 10G3-R
Form: Liquid
Storage condition: Shipped at 4℃. Store at +4℃ short term (1-2 weeks). It is recommended to aliquot into single-use upon delivery. Store at -20℃ long term.
Storage buffer: PBS (pH7.4), 0.1% BSA, 40% Glycerol. Preservative: 0.05% Sodium Azide.
Concentration: 1ug/ul
Purification: Protein A affinity purified.
Molecular weight: Predicted band size: 105 kDa
Isotype: IgG1
Immunogen: Synthetic peptide within N-terminal residues of Human MSH2.
Positive control: HeLa cell lysate, HEK-293 cell lysate, NIH/3T3 cell lysate, PC-12 cell lysate, Mouse testis tissue lysate, Rat testis tissue lysate, Daudi, human colon cancer tissue, human appendix tissue, human breast cancer tissue, human stomach cancer tissue, rat brain tissue, mouse large intestine tissue.
Subcellular location: Nucleus, Chromosome.
Recommended Dilutions:
  WB
  IF-Cell
  IHC-P

1:2,000-1:5,000
1:200
1:200-1:2,000
Uniprot #: SwissProt: P43246 Human | P43247 Mouse | P54275 Rat
Alternative names: BAT26 COCA 1 COCA1 DNA mismatch repair protein Msh2 FCC 1 FCC1 hMSH2 HNPCC 1 HNPCC HNPCC1 LCFS2 MSH 2 Msh2 MSH2_HUMAN MutS homolog 2 MutS homolog 2 colon cancer nonpolyposis type 1 MutS protein homolog 2
Images
HA601108_1.jpg Fig1: Western blot analysis of MSH2 on different lysates with Mouse anti-MSH2 antibody (HA601108) at 1/2,000 dilution.

Lane 1: HeLa cell lysate
Lane 2: HEK-293 cell lysate
Lane 3: LNCaP cell lysate (negative)
Lane 4: NIH/3T3 cell lysate
Lane 5: PC-12 cell lysate
Lane 6: Mouse testis tissue lysate
Lane 7: Rat testis tissue lysate

Lysates/proteins at 20 µg/Lane.

Predicted band size: 105 kDa
Observed band size: 105 kDa

Exposure time: 10 seconds; ECL: K1801;

4-20% SDS-PAGE gel.

Proteins were transferred to a PVDF membrane and blocked with 5% NFDM/TBST for 1 hour at room temperature. The primary antibody (HA601108) at 1/2,000 dilution was used in 5% NFDM/TBST at 4℃ overnight. Goat Anti-Mouse IgG - HRP Secondary Antibody (HA1006) at 1/50,000 dilution was used for 1 hour at room temperature.
HA601108_2.jpg Fig2: Immunocytochemistry analysis of Daudi cells labeling MSH2 with Mouse anti-MSH2 antibody (HA601108) at 1/200 dilution.

Cells were fixed in 4% paraformaldehyde for 10 minutes at 37 ℃, permeabilized with 0.05% Triton X-100 in PBS for 20 minutes, and then blocked with 2% negative goat serum for 30 minutes at room temperature. Cells were then incubated with Mouse anti-MSH2 antibody (HA601108) at 1/200 dilution in 2% negative goat serum overnight at 4 ℃. Goat Anti-Mouse IgG H&L (iFluor™ 488, HA1125) was used as the secondary antibody at 1/1,000 dilution. PBS instead of the primary antibody was used as the secondary antibody only control. Nuclear DNA was labelled in blue with DAPI.
HA601108_3.jpg Fig3: Immunohistochemical analysis of paraffin-embedded human colon cancer tissue with Mouse anti-MSH2 antibody (HA601108) at 1/1,000 dilution.

The section was pre-treated using heat mediated antigen retrieval with Tris-EDTA buffer (pH 9.0) for 20 minutes. The tissues were blocked in 1% BSA for 20 minutes at room temperature, washed with ddH2O and PBS, and then probed with the primary antibody (HA601108) at 1/1,000 dilution for 1 hour at room temperature. The detection was performed using an HRP conjugated compact polymer system. DAB was used as the chromogen. Tissues were counterstained with hematoxylin and mounted with DPX.
HA601108_4.jpg Fig4: Immunohistochemical analysis of paraffin-embedded human appendix tissue with Mouse anti-MSH2 antibody (HA601108) at 1/1,000 dilution.

The section was pre-treated using heat mediated antigen retrieval with Tris-EDTA buffer (pH 9.0) for 20 minutes. The tissues were blocked in 1% BSA for 20 minutes at room temperature, washed with ddH2O and PBS, and then probed with the primary antibody (HA601108) at 1/1,000 dilution for 1 hour at room temperature. The detection was performed using an HRP conjugated compact polymer system. DAB was used as the chromogen. Tissues were counterstained with hematoxylin and mounted with DPX.
HA601108_5.jpg Fig5: Immunohistochemical analysis of paraffin-embedded human breast cancer tissue with Mouse anti-MSH2 antibody (HA601108) at 1/1,000 dilution.

The section was pre-treated using heat mediated antigen retrieval with Tris-EDTA buffer (pH 9.0) for 20 minutes. The tissues were blocked in 1% BSA for 20 minutes at room temperature, washed with ddH2O and PBS, and then probed with the primary antibody (HA601108) at 1/1,000 dilution for 1 hour at room temperature. The detection was performed using an HRP conjugated compact polymer system. DAB was used as the chromogen. Tissues were counterstained with hematoxylin and mounted with DPX.
HA601108_6.jpg Fig6: Immunohistochemical analysis of paraffin-embedded human stomach cancer tissue with Mouse anti-MSH2 antibody (HA601108) at 1/200 dilution.

The section was pre-treated using heat mediated antigen retrieval with Tris-EDTA buffer (pH 9.0) for 20 minutes. The tissues were blocked in 1% BSA for 20 minutes at room temperature, washed with ddH2O and PBS, and then probed with the primary antibody (HA601108) at 1/200 dilution for 1 hour at room temperature. The detection was performed using an HRP conjugated compact polymer system. DAB was used as the chromogen. Tissues were counterstained with hematoxylin and mounted with DPX.
HA601108_7.jpg Fig7: Immunohistochemical analysis of paraffin-embedded rat brain tissue with Mouse anti-MSH2 antibody (HA601108) at 1/1,000 dilution.

The section was pre-treated using heat mediated antigen retrieval with Tris-EDTA buffer (pH 9.0) for 20 minutes. The tissues were blocked in 1% BSA for 20 minutes at room temperature, washed with ddH2O and PBS, and then probed with the primary antibody (HA601108) at 1/1,000 dilution for 1 hour at room temperature. The detection was performed using an HRP conjugated compact polymer system. DAB was used as the chromogen. Tissues were counterstained with hematoxylin and mounted with DPX.
HA601108_8.jpg Fig8: Immunohistochemical analysis of paraffin-embedded mouse large intestine tissue with Mouse anti-MSH2 antibody (HA601108) at 1/1,000 dilution.

The section was pre-treated using heat mediated antigen retrieval with Tris-EDTA buffer (pH 9.0) for 20 minutes. The tissues were blocked in 1% BSA for 20 minutes at room temperature, washed with ddH2O and PBS, and then probed with the primary antibody (HA601108) at 1/1,000 dilution for 1 hour at room temperature. The detection was performed using an HRP conjugated compact polymer system. DAB was used as the chromogen. Tissues were counterstained with hematoxylin and mounted with DPX.
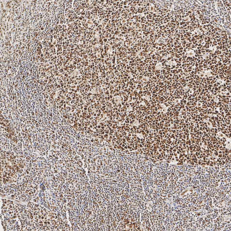
HA601108_9.jpg Fig9: Application: Immunohistochemistry (IHC-P)

Species: Human
Tissue: Tonsil
Sample: Paraffin-embedded section

Primary antibody dilution: 1/500
Antigen retrieval: ER2
Platform: Leica Biosystems BOND® RX
Note: All products are “FOR RESEARCH USE ONLY AND ARE NOT INTENDED FOR DIAGNOSTIC OR THERAPEUTIC USE”.