CD3 Recombinant Mouse Monoclonal Antibody [PD01-43]
cat.: HA601110
Product Type: Recombinant Mouse monoclonal IgG1, primary antibodies
Species reactivity: Human
Applications: WB, IHC-P, IF-Tissue
Clonality: Monoclonal
Clone number: PD01-43
Form: Liquid
Storage condition: Shipped at 4℃. Store at +4℃ short term (1-2 weeks). It is recommended to aliquot into single-use upon delivery. Store at -20℃ long term.
Storage buffer: PBS (pH7.4), 0.1% BSA, 40% Glycerol. Preservative: 0.05% Sodium Azide.
Concentration: 1ug/ul
Purification: Protein A affinity purified.
Molecular weight: Predicted band size: 23 kDa
Isotype: IgG1
Immunogen: Synthetic peptide within human CD3E aa 158-207/207.
Positive control: Jurkat cell lysates, human tonsil tissue, human appendix tissue, human liver tissue.
Subcellular location: Cell membrane.
Recommended Dilutions:
  WB
  IHC-P
  IF-Tissue

1:1,000
1:1,000
1:1,000
Uniprot #: SwissProt: P07766 Human | P04234 Human | P09693 Human | P20963 Human
Alternative names: 4930549J05Rik A430104F18Rik AW552088 Cd247 CD247 antigen CD247 antigen, zeta subunit CD247 molecule CD3 CD3 antigen, delta subunit CD3 delta CD3 epsilon CD3 eta CD3 gamma CD3 molecule delta polypeptide CD3 molecule, epsilon polypeptide CD3 molecule, gamma polypeptide CD3 zeta CD3-DELTA CD3d CD3D antigen delta polypeptide CD3d antigen, delta polypeptide (TiT3 complex) CD3d molecule delta CD3d molecule delta CD3 TCR complex CD3d molecule, delta (CD3-TCR complex) CD3D_HUMAN CD3E CD3e antigen CD3E antigen epsilon polypeptide CD3e antigen, epsilon polypeptide (TiT3 complex) CD3e molecule epsilon CD3e molecule epsilon CD3 TCR complex CD3e molecule, epsilon (CD3-TCR complex) CD3epsilon CD3G CD3g antigen CD3G antigen gamma polypeptide CD3g antigen, gamma polypeptide (TiT3 complex) CD3g molecule gamma CD3g molecule gamma CD3 TCR complex CD3g molecule, gamma (CD3-TCR complex) CD3H CD3Q CD3Z CD3zeta Ctg3 FLJ......
Images
HA601110_1.jpg Fig1: Western blot analysis of CD3 on Jurkat cell lysates with Mouse anti-CD3 antibody (HA601110) at 1/1,000 dilution.

Lysates/proteins at 10 µg/Lane.

Predicted band size: 23 kDa
Observed band size: 20 kDa

Exposure time: 2 minutes;

15% SDS-PAGE gel.

Proteins were transferred to a PVDF membrane and blocked with 5% NFDM/TBST for 1 hour at room temperature. The primary antibody (HA601110) at 1/1,000 dilution was used in 5% NFDM/TBST at room temperature for 2 hours. Goat Anti-Mouse IgG - HRP Secondary Antibody (HA1006) at 1:150,000 dilution was used for 1 hour at room temperature.
HA601110_2.jpg Fig2: Immunohistochemical analysis of paraffin-embedded human tonsil tissue with Mouse anti-CD3 antibody (HA601110) at 1/1,000 dilution.

The section was pre-treated using heat mediated antigen retrieval with Tris-EDTA buffer (pH 9.0) for 20 minutes. The tissues were blocked in 1% BSA for 20 minutes at room temperature, washed with ddH2O and PBS, and then probed with the primary antibody (HA601110) at 1/1,000 dilution for 1 hour at room temperature. The detection was performed using an HRP conjugated compact polymer system. DAB was used as the chromogen. Tissues were counterstained with hematoxylin and mounted with DPX.
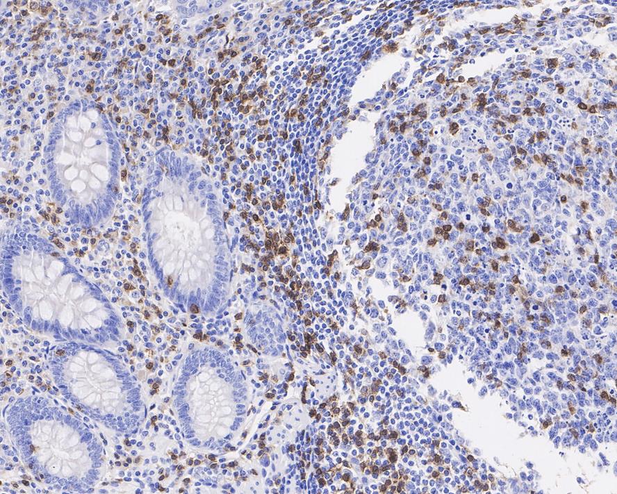
HA601110_3.jpg Fig3: Immunohistochemical analysis of paraffin-embedded human appendix tissue with Mouse anti-CD3 antibody (HA601110) at 1/1,000 dilution.

The section was pre-treated using heat mediated antigen retrieval with Tris-EDTA buffer (pH 9.0) for 20 minutes. The tissues were blocked in 1% BSA for 20 minutes at room temperature, washed with ddH2O and PBS, and then probed with the primary antibody (HA601110) at 1/1,000 dilution for 1 hour at room temperature. The detection was performed using an HRP conjugated compact polymer system. DAB was used as the chromogen. Tissues were counterstained with hematoxylin and mounted with DPX.
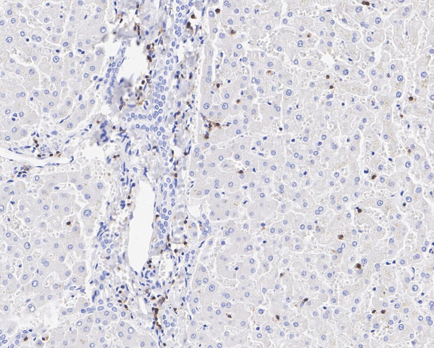
HA601110_4.jpg Fig4: Immunohistochemical analysis of paraffin-embedded human liver tissue with Mouse anti-CD3 antibody (HA601110) at 1/1,000 dilution.

The section was pre-treated using heat mediated antigen retrieval with Tris-EDTA buffer (pH 9.0) for 20 minutes. The tissues were blocked in 1% BSA for 20 minutes at room temperature, washed with ddH2O and PBS, and then probed with the primary antibody (HA601110) at 1/1,000 dilution for 1 hour at room temperature. The detection was performed using an HRP conjugated compact polymer system. DAB was used as the chromogen. Tissues were counterstained with hematoxylin and mounted with DPX.
HA601110_5.jpg Fig5: Application: IF-Tissue

Species: Human

Site: tonsil

Sample: Paraffin-embedded section

Antibody concentration: 1/1,000
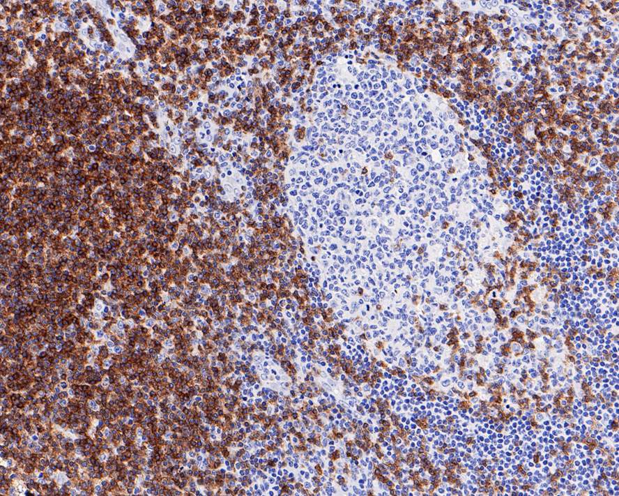
HA601110_6.jpg Fig6: Application: Immunohistochemistry (IHC-P)

Species: Human
Tissue: Appendix
Sample: Paraffin-embedded section

Primary antibody dilution: 1/200

Antigen retrieval: ER2
Platform: Leica Biosystems BOND® RX
Note: All products are “FOR RESEARCH USE ONLY AND ARE NOT INTENDED FOR DIAGNOSTIC OR THERAPEUTIC USE”.