BrdU Mouse Monoclonal Antibody [A9C7]
cat.: HA601119
Product Type: Mouse monoclonal IgG1, primary antibodies
Species reactivity: Species independent
Applications: IHC-P, IF-Cell, IF-Tissue, FC
Clonality: Monoclonal
Clone number: A9C7
Form: Liquid
Storage condition: Shipped at 4℃. Store at +4℃ short term (1-2 weeks). It is recommended to aliquot into single-use upon delivery. Store at -20℃ long term.
Storage buffer: PBS (pH7.4), 0.1% BSA, 40% Glycerol. Preservative: 0.05% Sodium Azide.
Concentration: 1ug/ul
Purification: Protein G affinity purified.
Isotype: IgG1
Immunogen: BrdU-OVA
Positive control: BrdU treated mouse embryo tissue, BrdU treated Hela, BrdU treated NIH/3T3, EdU treated mouse embryo tissue, EdU treated Hela, EdU treated NIH/3T3.
Subcellular location: Nucleus.
Recommended Dilutions:
  IHC-P
  IF-Cell
  IF-Tissue
  FC

1:1,000
1:200
1:200
1:500-1:1,000
Alternative names: Bromodeoxyuridine BUdr
Images
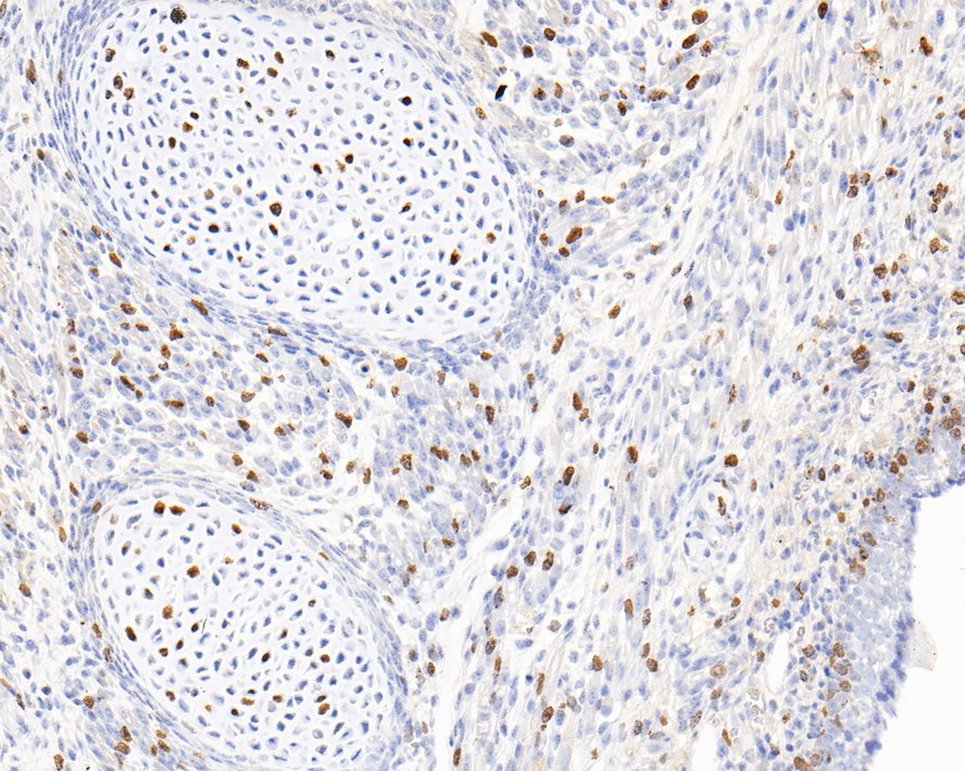
HA601119_1.jpg Fig1: Immunohistochemical analysis of paraffin-embedded BrdU treated mouse embryo tissue with Mouse anti-BrdU antibody (HA601119) at 1/1,000 dilution.

The section was pre-treated using heat mediated antigen retrieval with sodium citrate buffer (pH 6.0) for 2 minutes. The tissues were blocked in 1% BSA for 20 minutes at room temperature, washed with ddH2O and PBS, and then probed with the primary antibody (HA601119) at 1/1,000 dilution for 1 hour at room temperature. The detection was performed using an HRP conjugated compact polymer system. DAB was used as the chromogen. Tissues were counterstained with hematoxylin and mounted with DPX.
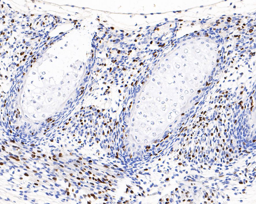
HA601119_2.jpg Fig2: Immunohistochemical analysis of paraffin-embedded BrdU treated mouse embryo tissue with Mouse anti-BrdU antibody (HA601119) at 1/1,000 dilution.

The section was pre-treated using heat mediated antigen retrieval with sodium citrate buffer (pH 6.0) for 2 minutes. The tissues were blocked in 1% BSA for 20 minutes at room temperature, washed with ddH2O and PBS, and then probed with the primary antibody (HA601119) at 1/1,000 dilution for 1 hour at room temperature. The detection was performed using an HRP conjugated compact polymer system. DAB was used as the chromogen. Tissues were counterstained with hematoxylin and mounted with DPX.
HA601119_3.jpg Fig3: Immunohistochemical analysis of paraffin-embedded BrdU treated mouse embryo tissue with Mouse anti-BrdU antibody (HA601119) at 1/1,000 dilution.

The section was pre-treated using heat mediated antigen retrieval with sodium citrate buffer (pH 6.0) for 2 minutes. The tissues were blocked in 1% BSA for 20 minutes at room temperature, washed with ddH2O and PBS, and then probed with the primary antibody (HA601119) at 1/1,000 dilution for 1 hour at room temperature. The detection was performed using an HRP conjugated compact polymer system. DAB was used as the chromogen. Tissues were counterstained with hematoxylin and mounted with DPX.
HA601119_4.jpg Fig4: Immunohistochemical analysis of paraffin-embedded untreated mouse embryo tissue (Negative) with Mouse anti-BrdU antibody (HA601119) at 1/1,000 dilution.

The section was pre-treated using heat mediated antigen retrieval with sodium citrate buffer (pH 6.0) for 2 minutes. The tissues were blocked in 1% BSA for 20 minutes at room temperature, washed with ddH2O and PBS, and then probed with the primary antibody (HA601119) at 1/1,000 dilution for 1 hour at room temperature. The detection was performed using an HRP conjugated compact polymer system. DAB was used as the chromogen. Tissues were counterstained with hematoxylin and mounted with DPX.
HA601119_5.jpg Fig5: Immunofluorescence analysis of paraffin-embedded BrdU treated mouse embryo tissue labeling BrdU with Mouse anti-BrdU antibody (HA601119) at 1/200 dilution.

The section was pre-treated using heat mediated antigen retrieval with sodium citrate buffer (pH 6.0) for 20 minutes. The tissues were blocked in 10% negative goat serum for 1 hour at room temperature, washed with PBS, and then probed with the primary antibody (HA601119, green) at 1/200 dilution overnight at 4 ℃, washed with PBS.

Goat Anti-Mouse IgG H&L (iFluor™ 488, HA1125) was used as the secondary antibody at 1/1,000 dilution. Nuclei were counterstained with DAPI (blue).
HA601119_6.jpg Fig6: Immunofluorescence analysis of paraffin-embedded BrdU treated mouse embryo tissue labeling BrdU with Mouse anti-BrdU antibody (HA601119) at 1/200 dilution.

The section was pre-treated using heat mediated antigen retrieval with sodium citrate buffer (pH 6.0) for 20 minutes. The tissues were blocked in 10% negative goat serum for 1 hour at room temperature, washed with PBS, and then probed with the primary antibody (HA601119, green) at 1/200 dilution overnight at 4 ℃, washed with PBS.

Goat Anti-Mouse IgG H&L (iFluor™ 488, HA1125) was used as the secondary antibody at 1/1,000 dilution. Nuclei were counterstained with DAPI (blue).
HA601119_7.jpg Fig7: Immunocytochemistry analysis of BrdU treated Hela cells labeling BrdU with Mouse anti-BrdU antibody (HA601119) at 1/200 dilution.

Cells were fixed in 70% ethyl alcohol for 5 minutes at room temperature, then subjected to acid hydrolysis using 2M HCL in TBST for 30 minutes at room temperature. permeabilized with 0.1% Triton X-100 in PBS for 15 minutes, and then blocked with 2% BSA for 30 minutes at room temperature. Cells were then incubated with Mouse anti-BrdU antibody (HA601119) at 1/200 dilution in 2% BSA overnight at 4 ℃. Goat Anti-Mouse IgG H&L (iFluor™ 488, HA1125) was used as the secondary antibody at 1/1,000 dilution. PBS instead of the primary antibody was used as the secondary antibody only control. Nuclear DNA was labelled in blue with DAPI.
HA601119_8.png Fig8: Dot plot showing BrdU treated NIH/3T3 cells stained with HA601119. Cells were incubated with 10 µM BrdU for 30 minutes prior to being harvested, washed twice in 1x PBS and fixed in 70% ethanol at 4℃ for 30 minutes. Once fixed, pellets were acid denatured with 2M HCl for 30 minutes at room temperature and then neutralised with borate buffer (0.1M, pH8.5) for 15 minutes.

Samples were washed and incubated in 10% normal goat serum to block non-specific protein-protein interactions followed by the antibody (HA601119, 1µg/ml) for 30 min at room temperature. The secondary antibody used was iFluor™ 488 conjugate-Goat anti-Mouse IgG (HA1125) at 1/1,000 dilution for 30 minutes at room temperature.

PI was added to cells 15 min prior to data acquisition.
HA601119_9.png Fig9: Dot plot showing untreated NIH/3T3 cells stained with HA601119. Cells were incubated with 10 µM BrdU for 30 minutes prior to being harvested, washed twice in 1x PBS and fixed in 70% ethanol at 4℃ for 30 minutes. Once fixed, pellets were acid denatured with 2M HCl for 30 minutes at room temperature and then neutralised with borate buffer (0.1M, pH8.5) for 15 minutes.

Samples were washed and incubated in 10% normal goat serum to block non-specific protein-protein interactions followed by the antibody (HA601119, 1µg/ml) for 30 min at room temperature. The secondary antibody used was iFluor™ 488 conjugate-Goat anti-Mouse IgG (HA1125) at 1/1,000 dilution for 30 minutes at room temperature.

PI was added to cells 15 min prior to data acquisition.
HA601119_10.jpg Fig10: Immunohistochemical analysis of paraffin-embedded EdU treated mouse embryo tissue with Mouse anti-BrdU antibody (HA601119) at 1/1,000 dilution.

The section was pre-treated using heat mediated antigen retrieval with sodium citrate buffer (pH 6.0) for 2 minutes. The tissues were blocked in 1% BSA for 20 minutes at room temperature, washed with ddH2O and PBS, and then probed with the primary antibody (HA601119) at 1/1,000 dilution for 1 hour at room temperature. The detection was performed using an HRP conjugated compact polymer system. DAB was used as the chromogen. Tissues were counterstained with hematoxylin and mounted with DPX.
HA601119_11.jpg Fig11: Immunofluorescence analysis of paraffin-embedded EdU treated mouse embryo tissue labeling BrdU with Mouse anti-BrdU antibody (HA601119) at 1/200 dilution.

The section was pre-treated using heat mediated antigen retrieval with sodium citrate buffer (pH 6.0) for 20 minutes. The tissues were blocked in 10% negative goat serum for 1 hour at room temperature, washed with PBS, and then probed with the primary antibody (HA601119, green) at 1/200 dilution overnight at 4 ℃, washed with PBS.

Goat Anti-Mouse IgG H&L (iFluor™ 488, HA1125) was used as the secondary antibody at 1/1,000 dilution. Nuclei were counterstained with DAPI (blue).
HA601119_12.jpg Fig12: Immunocytochemistry analysis of EdU treated Hela cells labeling BrdU with Mouse anti-BrdU antibody (HA601119) at 1/200 dilution.

Cells were fixed in 70% ethyl alcohol for 5 minutes at room temperature, then subjected to acid hydrolysis using 2M HCL in TBST for 30 minutes at room temperature. permeabilized with 0.1% Triton X-100 in PBS for 15 minutes, and then blocked with 2% BSA for 30 minutes at room temperature. Cells were then incubated with Mouse anti-BrdU antibody (HA601119) at 1/200 dilution in 2% BSA overnight at 4 ℃. Goat Anti-Mouse IgG H&L (iFluor™ 488, HA1125) was used as the secondary antibody at 1/1,000 dilution. PBS instead of the primary antibody was used as the secondary antibody only control. Nuclear DNA was labelled in blue with DAPI.
HA601119_13.png Fig13: Dot plot showing EdU treated NIH/3T3 cells stained with HA601119. Cells were incubated with 10 µM BrdU for 30 minutes prior to being harvested, washed twice in 1x PBS and fixed in 70% ethanol at 4℃ for 30 minutes. Once fixed, pellets were acid denatured with 2M HCl for 30 minutes at room temperature and then neutralised with borate buffer (0.1M, pH8.5) for 15 minutes.

Samples were washed and incubated in 10% normal goat serum to block non-specific protein-protein interactions followed by the antibody (HA601119, 1µg/ml) for 30 min at room temperature. The secondary antibody used was iFluor™ 488 conjugate-Goat anti-Mouse IgG (HA1125) at 1/1,000 dilution for 30 minutes at room temperature.

PI was added to cells 15 min prior to data acquisition.
Note: All products are “FOR RESEARCH USE ONLY AND ARE NOT INTENDED FOR DIAGNOSTIC OR THERAPEUTIC USE”.