LYRIC Recombinant Mouse Monoclonal Antibody [C6-C10-R]
cat.: HA601188
Product Type: Recombinant Mouse monoclonal IgG1, primary antibodies
Species reactivity: Human, Mouse, Rat
Applications: WB, IHC-P, IF-Cell
Clonality: Monoclonal
Clone number: C6-C10-R
Form: Liquid
Storage condition: Shipped at 4℃. Store at +4℃ short term (1-2 weeks). It is recommended to aliquot into single-use upon delivery. Store at -20℃ long term.
Storage buffer: PBS (pH7.4), 0.1% BSA, 40% Glycerol. Preservative: 0.05% Sodium Azide.
Concentration: 1ug/ul
Purification: Protein A affinity purified.
Molecular weight: Predicted band size: 64 kDa
Isotype: IgG1
Immunogen: Recombinant protein within Human LYRIC aa 6-233 / 582.
Positive control: HeLa cell lysate, PC-12 cell lysate, MCF7 cell lysate, Jurkat cell lysate, human breast carcinoma tissue, mouse brain tissue, Jurkat.
Subcellular location: Nucleus membrane, nucleolus, endoplasmic reticulum membrane, tight junction, perinuclear region, cytoplasm.
Recommended Dilutions:
  WB
  IHC-P
  IF-Cell

1:1,000
1:1,000
1:100
Uniprot #: SwissProt: Q86UE4 Human | Q80WJ7 Mouse | Q9Z1W6 Rat
Alternative names: 3D3 3D3/LYRIC AEG 1 AEG-1 AEG1 Astrocyte elevated gene 1 Astrocyte elevated gene-1 protein LYRIC LYRIC/3D3 LYRIC_HUMAN Lysine rich CEACAM1 associated protein Lysine rich CEACAM1 co isolated protein Lysine-rich CEACAM1 co-isolated protein Metadherin Metastasis adhesion protein MTDH Protein LYRIC
Images
HA601188_1.jpg Fig1: Western blot analysis of LYRIC on different lysates with Mouse anti-LYRIC antibody (HA601188) at 1/1,000 dilution.

Lane 1: HeLa cell lysate (20 µg/Lane)
Lane 2: PC-12 cell lysate (20 µg/Lane)
Lane 3: MCF7 cell lysate (20 µg/Lane)
Lane 4: Jurkat cell lysate (20 µg/Lane)

Predicted band size: 64 kDa
Observed band size: 75 kDa

Exposure time: 53 seconds;

4-20% SDS-PAGE gel.

Proteins were transferred to a PVDF membrane and blocked with 5% NFDM/TBST for 1 hour at room temperature. The primary antibody (HA601188) at 1/1,000 dilution was used in 5% NFDM/TBST at 4℃ overnight. Goat Anti-Mouse IgG - HRP Secondary Antibody (HA1006) at 1/50,000 dilution was used for 1 hour at room temperature.
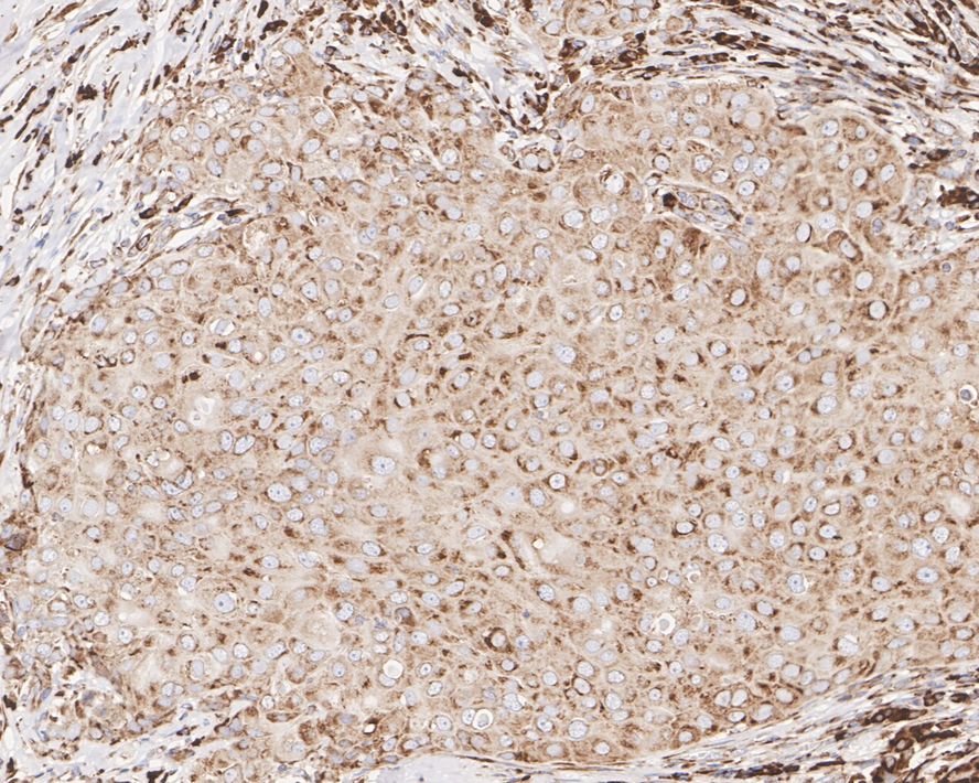
HA601188_2.jpg Fig2: Immunohistochemical analysis of paraffin-embedded human breast carcinoma tissue with Mouse anti-LYRIC antibody (HA601188) at 1/1,000 dilution.

The section was pre-treated using heat mediated antigen retrieval with sodium citrate buffer (pH 6.0) for 2 minutes. The tissues were blocked in 1% BSA for 20 minutes at room temperature, washed with ddH2O and PBS, and then probed with the primary antibody (HA601188) at 1/1,000 dilution for 1 hour at room temperature. The detection was performed using an HRP conjugated compact polymer system. DAB was used as the chromogen. Tissues were counterstained with hematoxylin and mounted with DPX.
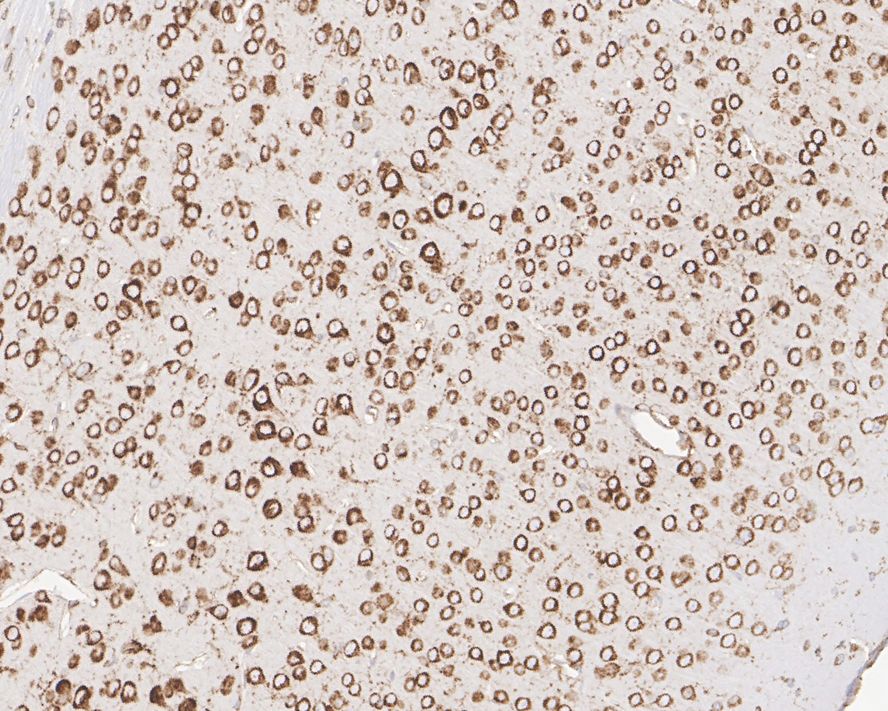
HA601188_3.jpg Fig3: Immunohistochemical analysis of paraffin-embedded mouse brain tissue with Mouse anti-LYRIC antibody (HA601188) at 1/1,000 dilution.

The section was pre-treated using heat mediated antigen retrieval with sodium citrate buffer (pH 6.0) for 2 minutes. The tissues were blocked in 1% BSA for 20 minutes at room temperature, washed with ddH2O and PBS, and then probed with the primary antibody (HA601188) at 1/1,000 dilution for 1 hour at room temperature. The detection was performed using an HRP conjugated compact polymer system. DAB was used as the chromogen. Tissues were counterstained with hematoxylin and mounted with DPX.
HA601188_4.jpg Fig4: Immunocytochemistry analysis of Jurkat cells labeling LYRIC with Mouse anti-LYRIC antibody (HA601188) at 1/100 dilution.

Cells were fixed in 4% paraformaldehyde for 20 minutes at room temperature, permeabilized with 0.1% Triton X-100 in PBS for 5 minutes at room temperature, then blocked with 1% BSA in 10% negative goat serum for 1 hour at room temperature. Cells were then incubated with Mouse anti-LYRIC antibody (HA601188) at 1/100 dilution in 1% BSA in PBST overnight at 4 ℃. Goat Anti-Mouse IgG H&L (iFluor™ 488, HA1125) was used as the secondary antibody at 1/1,000 dilution. PBS instead of the primary antibody was used as the secondary antibody only control. Nuclear DNA was labelled in blue with DAPI.
Note: All products are “FOR RESEARCH USE ONLY AND ARE NOT INTENDED FOR DIAGNOSTIC OR THERAPEUTIC USE”.