GC1q R Recombinant Mouse Monoclonal Antibody [A8F5-R]
cat.: HA601198
Product Type: Recombinant Mouse monoclonal IgG1, primary antibodies
Species reactivity: Human, Mouse, Rat
Applications: WB, IF-Cell, IHC-P, FC
Clonality: Monoclonal
Clone number: A8F5-R
Form: Liquid
Storage condition: Shipped at 4℃. Store at +4℃ short term (1-2 weeks). It is recommended to aliquot into single-use upon delivery. Store at -20℃ long term.
Storage buffer: PBS (pH7.4), 0.1% BSA, 40% Glycerol. Preservative: 0.05% Sodium Azide.
Concentration: 1ug/ul
Purification: Protein A affinity purified.
Molecular weight: Predicted band size: 31 kDa
Isotype: IgG1
Immunogen: Recombinant protein within human GC1q R aa 100-282.
Positive control: HeLa cell lysate, K-562 cell lysate, MCF7 cell lysate, A549 cell lysate, RAW264.7 cell lysate, NIH/3T3 cell lysate, PC-12 cell lysate, rat spleen tissue lysate, mouse spleen tissue lysate, HeLa, human colon tissue, human kidney tissue, mouse colon tissue, rat colon tissue.
Subcellular location: Extracellular region or secreted, Nucleus, Plasma membrane, Cytoplasm, Mitochondrion.
Recommended Dilutions:
  WB
  IF-Cell
  IHC-P
  FC

1:1,000-1:5,000
1:100
1:2,000
1:1,000
Uniprot #: SwissProt: Q07021 Human | O35658 Mouse | O35796 Rat
Alternative names: ASF/SF2 associated protein p32 C1q globular domain binding protein C1qBP C1QBP_HUMAN Complement component 1 q subcomponent binding protein Complement component 1 Q subcomponent binding protein mitochondrial Complement component 1 Q subcomponent-binding protein, mitochondrial GC1Q R GC1q R protein GC1q-R protein GC1QBP GC1QR globular domain of, C1q, receptor for Glycoprotein gC1qBP HABP 1 HABP1 Hyaluronan binding protein 1 Hyaluronan-binding protein 1 Mitochondrial matrix protein p32 p32 p32 splicing factor p33 Pre mrna splicing factor SF2 P32 subunit precursor SF2p32 Splicing factor SF2 associated protein
Images
HA601198_1.jpg Fig1: Western blot analysis of GC1q R on different lysates with Mouse anti-GC1q R antibody (HA601198) at 1/1,000 dilution.

Lane 1: HeLa cell lysate (20 µg/Lane)
Lane 2: K-562 cell lysate (20 µg/Lane)
Lane 3: MCF7 cell lysate (20 µg/Lane)
Lane 4: A549 cell lysate (20 µg/Lane)
Lane 5: RAW264.7 cell lysate (20 µg/Lane)
Lane 6: NIH/3T3 cell lysate (20 µg/Lane)
Lane 7: PC-12 cell lysate (20 µg/Lane)
Lane 8: Rat spleen tissue lysate (40 µg/Lane)
Lane 9: Mouse spleen tissue lysate (40 µg/Lane)

Predicted band size: 31 kDa
Observed band size: 31 kDa

Exposure time: 24 seconds;

4-20% SDS-PAGE gel.

Proteins were transferred to a PVDF membrane and blocked with 5% NFDM/TBST for 1 hour at room temperature. The primary antibody (HA601198) at 1/1,000 dilution was used in 5% NFDM/TBST at 4℃ overnight. Goat Anti-Mouse IgG - HRP Secondary Antibody (HA1006) at 1/50,000 dilution was used for 1 hour at room temperature.
HA601198_2.jpg Fig2: Western blot analysis of GC1q R on different lysates with Mouse anti-GC1q R antibody (HA601198) at 1/5,000 dilution.

Lane 1: HAP1-parental cell lysate
Lane 2: HAP1-GC1q R KD cell lysate

Lysates/proteins at 10 µg/Lane.

Predicted band size: 31 kDa
Observed band size: 31 kDa

Exposure time: 6 seconds; ECL: K1801;

4-20% SDS-PAGE gel.

Proteins were transferred to a PVDF membrane and blocked with 5% NFDM/TBST for 1 hour at room temperature. The primary antibody (HA601198) at 1/5,000 dilution was used in K1803 at 4℃ overnight. Goat Anti-Mouse IgG - HRP Secondary Antibody (HA1006) at 1/50,000 dilution was used for 1 hour at room temperature.
HA601198_3.jpg Fig3: Immunocytochemistry analysis of HeLa cells labeling GC1q R with Mouse anti-GC1q R antibody (HA601198) at 1/100 dilution.

Cells were fixed in 4% paraformaldehyde for 20 minutes at room temperature, permeabilized with 0.1% Triton X-100 in PBS for 5 minutes at room temperature, then blocked with 1% BSA in 10% negative goat serum for 1 hour at room temperature. Cells were then incubated with Mouse anti-GC1q R antibody (HA601198) at 1/100 dilution in 1% BSA in PBST overnight at 4 ℃. Goat Anti-Mouse IgG H&L (iFluor™ 488, HA1125) was used as the secondary antibody at 1/1,000 dilution. PBS instead of the primary antibody was used as the secondary antibody only control. Nuclear DNA was labelled in blue with DAPI.

beta Tubulin (ET1602-4, red) was stained at 1/100 dilution overnight at +4℃. Goat Anti-Rabbit IgG H&L (iFluor™ 594, HA1122) were used as the secondary antibody at 1/1,000 dilution.
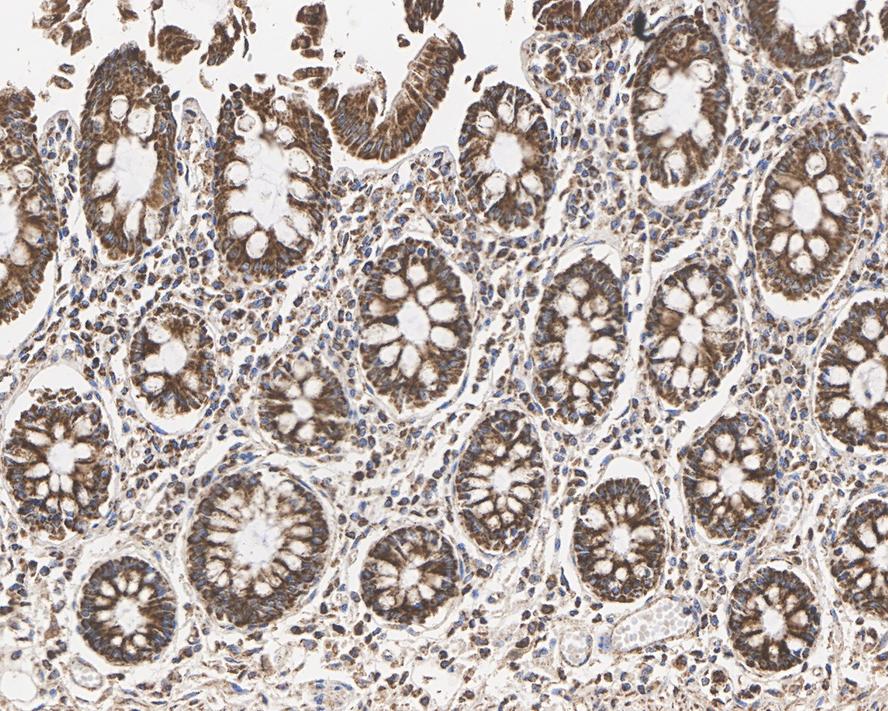
HA601198_4.jpg Fig4: Immunohistochemical analysis of paraffin-embedded human colon tissue with Mouse anti-GC1q R antibody (HA601198) at 1/2,000 dilution.

The section was pre-treated using heat mediated antigen retrieval with Tris-EDTA buffer (pH 9.0) for 20 minutes. The tissues were blocked in 1% BSA for 20 minutes at room temperature, washed with ddH2O and PBS, and then probed with the primary antibody (HA601198) at 1/2,000 dilution for 1 hour at room temperature. The detection was performed using an HRP conjugated compact polymer system. DAB was used as the chromogen. Tissues were counterstained with hematoxylin and mounted with DPX.
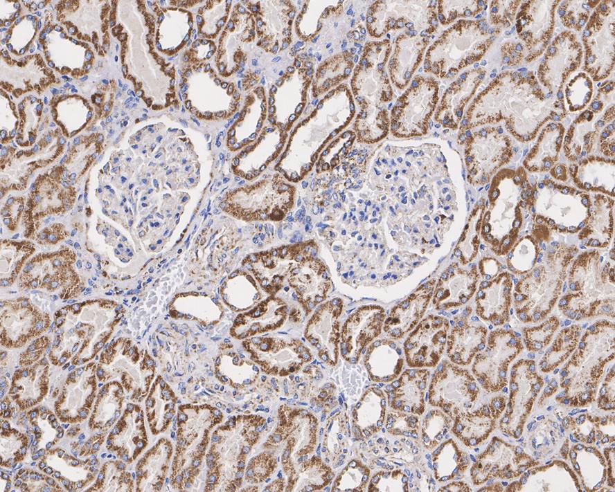
HA601198_5.jpg Fig5: Immunohistochemical analysis of paraffin-embedded human kidney tissue with Mouse anti-GC1q R antibody (HA601198) at 1/2,000 dilution.

The section was pre-treated using heat mediated antigen retrieval with Tris-EDTA buffer (pH 9.0) for 20 minutes. The tissues were blocked in 1% BSA for 20 minutes at room temperature, washed with ddH2O and PBS, and then probed with the primary antibody (HA601198) at 1/2,000 dilution for 1 hour at room temperature. The detection was performed using an HRP conjugated compact polymer system. DAB was used as the chromogen. Tissues were counterstained with hematoxylin and mounted with DPX.
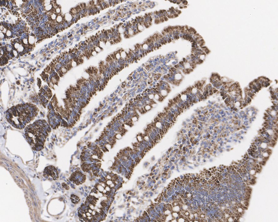
HA601198_6.jpg Fig6: Immunohistochemical analysis of paraffin-embedded mouse colon tissue with Mouse anti-GC1q R antibody (HA601198) at 1/2,000 dilution.

The section was pre-treated using heat mediated antigen retrieval with Tris-EDTA buffer (pH 9.0) for 20 minutes. The tissues were blocked in 1% BSA for 20 minutes at room temperature, washed with ddH2O and PBS, and then probed with the primary antibody (HA601198) at 1/2,000 dilution for 1 hour at room temperature. The detection was performed using an HRP conjugated compact polymer system. DAB was used as the chromogen. Tissues were counterstained with hematoxylin and mounted with DPX.
HA601198_7.jpg Fig7: Immunohistochemical analysis of paraffin-embedded rat colon tissue with Mouse anti-GC1q R antibody (HA601198) at 1/2,000 dilution.

The section was pre-treated using heat mediated antigen retrieval with Tris-EDTA buffer (pH 9.0) for 20 minutes. The tissues were blocked in 1% BSA for 20 minutes at room temperature, washed with ddH2O and PBS, and then probed with the primary antibody (HA601198) at 1/2,000 dilution for 1 hour at room temperature. The detection was performed using an HRP conjugated compact polymer system. DAB was used as the chromogen. Tissues were counterstained with hematoxylin and mounted with DPX.
HA601198_8.jpg Fig8: Flow cytometric analysis of HeLa cells labeling GC1q R.

Cells were fixed and permeabilized. Then stained with the primary antibody (HA601198, 1μg/mL) (red) compared with Mouse IgG1 Isotype Control (green). After incubation of the primary antibody at +4℃ for an hour, the cells were stained with a iFluor™ 488 conjugate-Goat anti-Mouse IgG Secondary antibody (HA1125) at 1/1,000 dilution for 30 minutes at +4℃. Unlabelled sample was used as a control (cells without incubation with primary antibody; black).
Note: All products are “FOR RESEARCH USE ONLY AND ARE NOT INTENDED FOR DIAGNOSTIC OR THERAPEUTIC USE”.