Cytokeratin 19 Recombinant Mouse Monoclonal Antibody [A3D1-R]
cat.: HA601258
Product Type: Recombinant Mouse monoclonal IgG1, primary antibodies
Species reactivity: Human
Applications: WB, IF-Cell, IHC-P, FC
Clonality: Monoclonal
Clone number: A3D1-R
Form: Liquid
Storage condition: Shipped at 4℃. Store at +4℃ short term (1-2 weeks). It is recommended to aliquot into single-use upon delivery. Store at -20℃ long term.
Storage buffer: PBS (pH7.4), 0.1% BSA, 40% Glycerol. Preservative: 0.05% Sodium Azide.
Concentration: 1ug/ul
Purification: Protein A affinity purified.
Molecular weight: Predicted band size: 44 kDa
Isotype: IgG1
Immunogen: Recombinant protein within Human Keratin 19 aa 128-322.
Positive control: SK-Br-3 cell lysate, MCF7 cell lysate, MCF7, human liver tissue, human small intestine tissue.
Subcellular location: Cytoskeleton, Cytosol.
Recommended Dilutions:
  WB
  IF-Cell
  IHC-P
  FC

1:1,000
1:200
1:1,000
1:1,000
Uniprot #: SwissProt: P08727 Human
Alternative names: 40 kDa keratin intermediate filament CK 19 CK-19 CK19 Cytokeratin 19 Cytokeratin-19 K19 K1C19_HUMAN K1CS Keratin 19 Keratin type I 40 kD Keratin type I 40kD Keratin type I cytoskeletal 19 Keratin, type I cytoskeletal 19 Keratin, type I, 40 kd Keratin-19 KRT19 MGC15366
Images
HA601258_1.jpg Fig1: Western blot analysis of Cytokeratin 19 on different lysates with Mouse anti-Cytokeratin 19 antibody (HA601258) at 1/1,000 dilution.

Lane 1: SK-Br-3 cell lysate
Lane 2: MCF7 cell lysate

Lysates/proteins at 20 µg/Lane.

Predicted band size: 44 kDa
Observed band size: 40 kDa

Exposure time: 24 seconds;

4-20% SDS-PAGE gel.

Proteins were transferred to a PVDF membrane and blocked with 5% NFDM/TBST for 1 hour at room temperature. The primary antibody (HA601258) at 1/1,000 dilution was used in 5% NFDM/TBST at 4℃ overnight. Goat Anti-Mouse IgG - HRP Secondary Antibody (HA1006) at 1/50,000 dilution was used for 1 hour at room temperature.
HA601258_2.jpg Fig2: Western blot analysis of Cytokeratin 19 on different lysates with Mouse anti-Cytokeratin 19 antibody (HA601258) at 1/1,000 dilution.

Lane 1: HCT 116-si NT cell lysate
Lane 2: HCT 116-si Cytokeratin 19 cell lysate

Lysates/proteins at 10 µg/Lane.

Predicted band size: 44 kDa
Observed band size: 40/44 kDa

Exposure time: 11 seconds; ECL: K1801;

4-20% SDS-PAGE gel.

Proteins were transferred to a PVDF membrane and blocked with 5% NFDM/TBST for 1 hour at room temperature. The primary antibody (HA601258) at 1/1,000 dilution was used in 5% NFDM/TBST at 4℃ overnight. Goat Anti-Mouse IgG - HRP Secondary Antibody (HA1006) at 1/50,000 dilution was used for 1 hour at room temperature.
HA601258_3.jpg Fig3: Immunocytochemistry analysis of MCF7 cells labeling Cytokeratin 19 with Mouse anti-Cytokeratin 19 antibody (HA601258) at 1/200 dilution.

Cells were fixed in 4% paraformaldehyde for 20 minutes at room temperature, permeabilized with 0.1% Triton X-100 in PBS for 5 minutes at room temperature, then blocked with 1% BSA in 10% negative goat serum for 1 hour at room temperature. Cells were then incubated with Mouse anti-Cytokeratin 19 antibody (HA601258) at 1/200 dilution in 1% BSA in PBST overnight at 4 ℃. Goat Anti-Mouse IgG H&L (iFluor™ 488, HA1125) was used as the secondary antibody at 1/1,000 dilution. PBS instead of the primary antibody was used as the secondary antibody only control. Nuclear DNA was labelled in blue with DAPI.

beta Tubulin (ET1602-4, red) was stained at 1/100 dilution overnight at +4℃. Goat Anti-Rabbit IgG H&L (iFluor™ 594, HA1122) were used as the secondary antibody at 1/1,000 dilution.
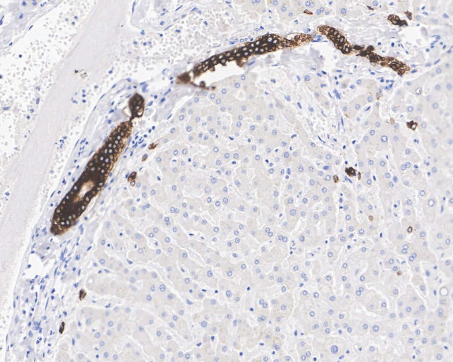
HA601258_4.jpg Fig4: Immunohistochemical analysis of paraffin-embedded human liver tissue with Mouse anti-Cytokeratin 19 antibody (HA601258) at 1/1,000 dilution.

The section was pre-treated using heat mediated antigen retrieval with Tris-EDTA buffer (pH 9.0) for 20 minutes. The tissues were blocked in 1% BSA for 20 minutes at room temperature, washed with ddH2O and PBS, and then probed with the primary antibody (HA601258) at 1/1,000 dilution for 1 hour at room temperature. The detection was performed using an HRP conjugated compact polymer system. DAB was used as the chromogen. Tissues were counterstained with hematoxylin and mounted with DPX.
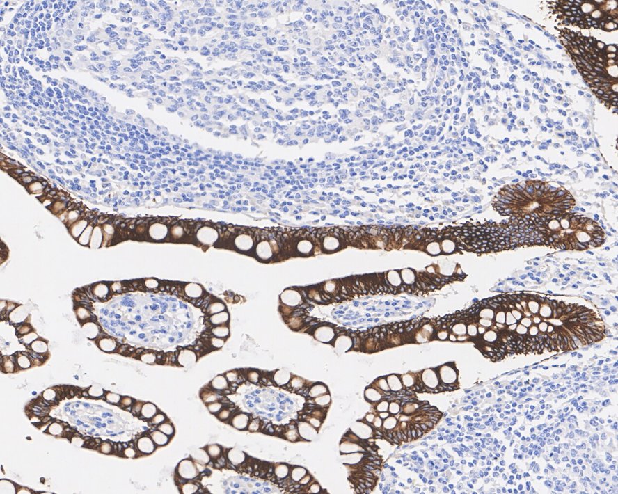
HA601258_5.jpg Fig5: Immunohistochemical analysis of paraffin-embedded human small intestine tissue with Mouse anti-Cytokeratin 19 antibody (HA601258) at 1/1,000 dilution.

The section was pre-treated using heat mediated antigen retrieval with Tris-EDTA buffer (pH 9.0) for 20 minutes. The tissues were blocked in 1% BSA for 20 minutes at room temperature, washed with ddH2O and PBS, and then probed with the primary antibody (HA601258) at 1/1,000 dilution for 1 hour at room temperature. The detection was performed using an HRP conjugated compact polymer system. DAB was used as the chromogen. Tissues were counterstained with hematoxylin and mounted with DPX.
HA601258_6.jpg Fig6: Flow cytometric analysis of MCF7 cells labeling Cytokeratin 19.

Cells were fixed and permeabilized. Then stained with the primary antibody (HA601258, 1μg/mL) (red) compared with Mouse IgG1 Isotype Control (green). After incubation of the primary antibody at +4℃ for an hour, the cells were stained with a iFluor™ 488 conjugate-Goat anti-Mouse IgG Secondary antibody (HA1125) at 1/1,000 dilution for 30 minutes at +4℃. Unlabelled sample was used as a control (cells without incubation with primary antibody; black).
Note: All products are “FOR RESEARCH USE ONLY AND ARE NOT INTENDED FOR DIAGNOSTIC OR THERAPEUTIC USE”.