Cytokeratin 14 Recombinant Mouse Monoclonal Antibody [A2C11-R]
cat.: HA601259
Product Type: Recombinant Mouse monoclonal IgG1, primary antibodies
Species reactivity: Human, Mouse, Rat
Applications: WB, IF-Cell, IHC-P
Clonality: Monoclonal
Clone number: A2C11-R
Form: Liquid
Storage condition: Shipped at 4℃. Store at +4℃ short term (1-2 weeks). It is recommended to aliquot into single-use upon delivery. Store at -20℃ long term.
Storage buffer: PBS (pH7.4), 0.1% BSA, 40% Glycerol. Preservative: 0.05% Sodium Azide.
Concentration: 1ug/ul
Purification: Protein A affinity purified.
Molecular weight: Predicted band size: 52 kDa
Isotype: IgG1
Immunogen: Synthetic peptide within Human Cytokeratin 14 aa 423-472 / 472.
Positive control: A431 cell lysate, mouse skin tissue lysate, rat skin tissue lysate, A431, human breast tissue, human lung squamous carcinoma tissue, human skin tissue, human tonsil tissue.
Subcellular location: Cytoplasm, Nucleus.
Recommended Dilutions:
  WB
  IF-Cell
  IHC-P

1:1,000
1:100
1:1,000
Uniprot #: SwissProt: P02533 Human | Q61781 Mouse | Q6IFV1 Rat
Alternative names: CK 14 CK-14 ck14 Cytokeratin 14 Cytokeratin-14 Cytokeratin14 Dowling Meara EBS3 EBS4 Epidermolysis bullosa simplex K14 K1C14_HUMAN Keratin 14 (epidermolysis bullosa simplex, Dowling-Meara, Koebner) Keratin 14 Keratin Keratin type I cytoskeletal 14 Keratin, type I cytoskeletal 14 Keratin-14 Keratin14 Koebner Krt 14 Krt14 NFJ OTTHUMP00000164624 type I cytoskeletal 14
Images
HA601259_1.jpg Fig1: Western blot analysis of Cytokeratin 14 on different lysates with Mouse anti-Cytokeratin 14 antibody (HA601259) at 1/1,000 dilution.

Lane 1: A431 cell lysate (20 µg/Lane)
Lane 2: MCF7 cell lysate (negative) (20 µg/Lane)
Lane 3: PANC-1 cell lysate (negative) (20 µg/Lane)
Lane 4: Mouse skin tissue lysate (40 µg/Lane)
Lane 5: Rat skin tissue lysate (40 µg/Lane)

Predicted band size: 52 kDa
Observed band size: 52 kDa

Exposure time: 18 seconds;

4-20% SDS-PAGE gel.

Proteins were transferred to a PVDF membrane and blocked with 5% NFDM/TBST for 1 hour at room temperature. The primary antibody (HA601259) at 1/1,000 dilution was used in 5% NFDM/TBST at 4℃ overnight. Goat Anti-Mouse IgG - HRP Secondary Antibody (HA1006) at 1/50,000 dilution was used for 1 hour at room temperature.
HA601259_2.jpg Fig2: Immunocytochemistry analysis of A431 (positive) and PANC-1 (negative) labeling Cytokeratin 14 with Mouse anti-Cytokeratin 14 antibody (HA601259) at 1/100 dilution.

Cells were fixed in 4% paraformaldehyde for 20 minutes at room temperature, permeabilized with 0.1% Triton X-100 in PBS for 5 minutes at room temperature, then blocked with 1% BSA in 10% negative goat serum for 1 hour at room temperature. Cells were then incubated with Mouse anti-Cytokeratin 14 antibody (HA601259) at 1/100 dilution in 1% BSA in PBST overnight at 4 ℃. Goat Anti-Mouse IgG H&L (iFluor™ 488, HA1125) was used as the secondary antibody at 1/1,000 dilution. PBS instead of the primary antibody was used as the secondary antibody only control. Nuclear DNA was labelled in blue with DAPI.

beta Tubulin (ET1602-4, red) was stained at 1/100 dilution overnight at +4℃. Goat Anti-Rabbit IgG H&L (iFluor™ 594, HA1122) were used as the secondary antibody at 1/1,000 dilution.
HA601259_3.jpg Fig3: Immunohistochemical analysis of paraffin-embedded human breast tissue with Mouse anti-Cytokeratin 14 antibody (HA601259) at 1/1,000 dilution.

The section was pre-treated using heat mediated antigen retrieval with Tris-EDTA buffer (pH 9.0) for 20 minutes. The tissues were blocked in 1% BSA for 20 minutes at room temperature, washed with ddH2O and PBS, and then probed with the primary antibody (HA601259) at 1/1,000 dilution for 1 hour at room temperature. The detection was performed using an HRP conjugated compact polymer system. DAB was used as the chromogen. Tissues were counterstained with hematoxylin and mounted with DPX.
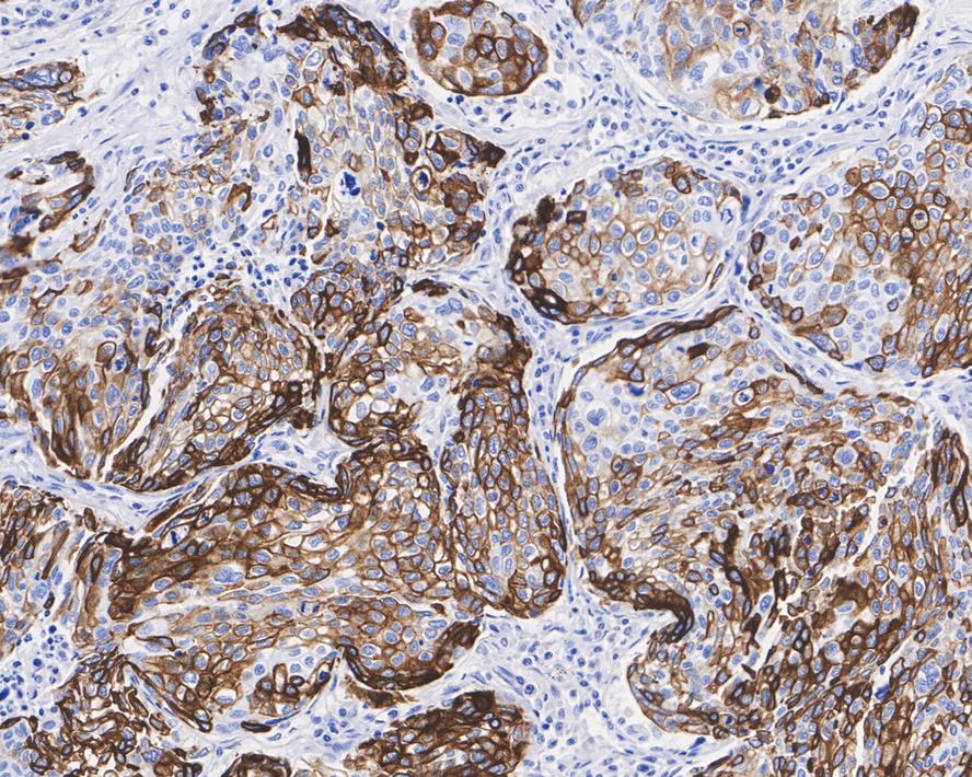
HA601259_4.jpg Fig4: Immunohistochemical analysis of paraffin-embedded human lung squamous carcinoma tissue with Mouse anti-Cytokeratin 14 antibody (HA601259) at 1/1,000 dilution.

The section was pre-treated using heat mediated antigen retrieval with Tris-EDTA buffer (pH 9.0) for 20 minutes. The tissues were blocked in 1% BSA for 20 minutes at room temperature, washed with ddH2O and PBS, and then probed with the primary antibody (HA601259) at 1/1,000 dilution for 1 hour at room temperature. The detection was performed using an HRP conjugated compact polymer system. DAB was used as the chromogen. Tissues were counterstained with hematoxylin and mounted with DPX.
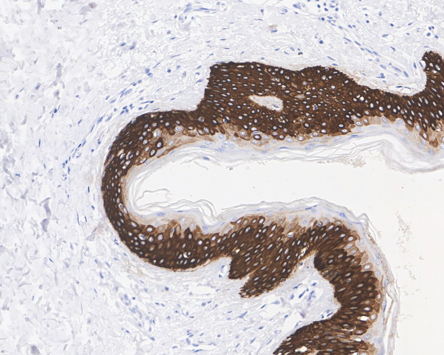
HA601259_5.jpg Fig5: Immunohistochemical analysis of paraffin-embedded human skin tissue with Mouse anti-Cytokeratin 14 antibody (HA601259) at 1/1,000 dilution.

The section was pre-treated using heat mediated antigen retrieval with Tris-EDTA buffer (pH 9.0) for 20 minutes. The tissues were blocked in 1% BSA for 20 minutes at room temperature, washed with ddH2O and PBS, and then probed with the primary antibody (HA601259) at 1/1,000 dilution for 1 hour at room temperature. The detection was performed using an HRP conjugated compact polymer system. DAB was used as the chromogen. Tissues were counterstained with hematoxylin and mounted with DPX.
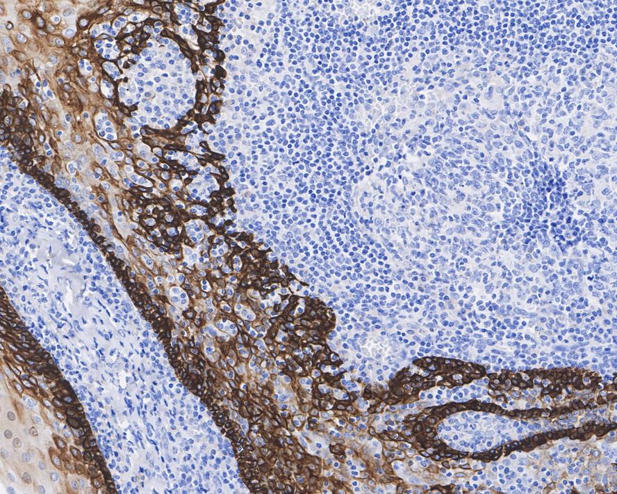
HA601259_6.jpg Fig6: Immunohistochemical analysis of paraffin-embedded human tonsil tissue with Mouse anti-Cytokeratin 14 antibody (HA601259) at 1/1,000 dilution.

The section was pre-treated using heat mediated antigen retrieval with Tris-EDTA buffer (pH 9.0) for 20 minutes. The tissues were blocked in 1% BSA for 20 minutes at room temperature, washed with ddH2O and PBS, and then probed with the primary antibody (HA601259) at 1/1,000 dilution for 1 hour at room temperature. The detection was performed using an HRP conjugated compact polymer system. DAB was used as the chromogen. Tissues were counterstained with hematoxylin and mounted with DPX.
Note: All products are “FOR RESEARCH USE ONLY AND ARE NOT INTENDED FOR DIAGNOSTIC OR THERAPEUTIC USE”.