CD68 Recombinant Mouse Monoclonal Antibody [A3C3-R]
cat.: HA601290
Product Type: Recombinant Mouse monoclonal IgG1, primary antibodies
Species reactivity: Human
Applications: WB, IF-Cell, IHC-P, FC
Clonality: Monoclonal
Clone number: A3C3-R
Form: Liquid
Storage condition: Shipped at 4℃. Store at +4℃ short term (1-2 weeks). It is recommended to aliquot into single-use upon delivery. Store at -20℃ long term.
Storage buffer: PBS (pH7.4), 0.1% BSA, 40% Glycerol. Preservative: 0.05% Sodium Azide.
Concentration: 1ug/ul
Purification: Protein A affinity purified.
Molecular weight: Predicted band size: 37 kDa
Isotype: IgG1
Immunogen: Synthetic peptide within human CD68 aa 320-354.
Positive control: THP-1 cell lysate, U-937 cell lysate, U-87 MG cell lysate, THP-1, human lung cancer tissue, human prostate cancer tissue, human tonsil tissue.
Subcellular location: Cell membrane. Endosome membrane, lysosome membrane.
Recommended Dilutions:
  WB
  IF-Cell
  IHC-P
  FC

1:1,000
1:100
1:1,000
1:1,000
Uniprot #: SwissProt: P34810 Human
Alternative names: CD 68 CD68 CD68 antigen CD68 molecule CD68_HUMAN DKFZp686M18236 gp11 Gp110 LAMP4 Macrophage antigen CD68 (microsialin) MACROPHAGE ANTIGEN CD68 Macrosialin SCARD1 Scavenger receptor class D member 1
Images
HA601290_1.jpg Fig1: Western blot analysis of CD68 on different lysates with Mouse anti-CD68 antibody (HA601290) at 1/1,000 dilution.

Lane 1: THP-1 cell lysate
Lane 2: U-937 cell lysate
Lane 3: U-87 MG cell lysate
Lane 4: Jurkat cell lysate (negative)

Lysates/proteins at 10 µg/Lane.

Predicted band size: 37 kDa
Observed band size: 100-150 kDa

Exposure time: 2 minutes 45 seconds;

4-20% SDS-PAGE gel.

Proteins were transferred to a PVDF membrane and blocked with 5% NFDM/TBST for 1 hour at room temperature. The primary antibody (HA601290) at 1/1,000 dilution was used in 5% NFDM/TBST at room temperature for 2 hours. Goat Anti-Mouse IgG - HRP Secondary Antibody (HA1006) at 1/50,000 dilution was used for 1 hour at room temperature.
HA601290_2.jpg Fig2: Immunocytochemistry analysis of THP-1 (positive) and Jurkat (negative) labeling CD68 with Mouse anti-CD68 antibody (HA601290) at 1/100 dilution.

Cells were fixed in 100% precooled methanol for 5 minutes at room temperature, then blocked with 1% BSA in 10% negative goat serum for 1 hour at room temperature. Cells were then incubated with Mouse anti-CD68 antibody (HA601290) at 1/100 dilution in 1% BSA in PBST overnight at 4 ℃. Goat Anti-Mouse IgG H&L (iFluor™ 488, HA1125) was used as the secondary antibody at 1/1,000 dilution. PBS instead of the primary antibody was used as the secondary antibody only control. Nuclear DNA was labelled in blue with DAPI.

beta Tubulin (ET1602-4, red) was stained at 1/100 dilution overnight at +4℃. Goat Anti-Rabbit IgG H&L (iFluor™ 594, HA1122) were used as the secondary antibody at 1/1,000 dilution.
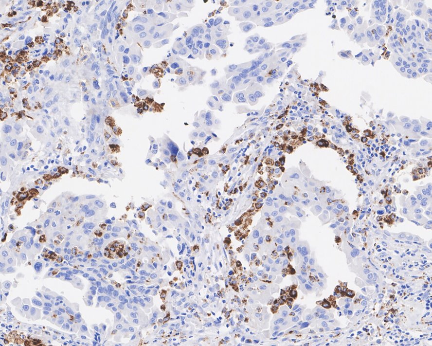
HA601290_3.jpg Fig3: Immunohistochemical analysis of paraffin-embedded human lung cancer tissue with Mouse anti-CD68 antibody (HA601290) at 1/1,000 dilution.

The section was pre-treated using heat mediated antigen retrieval with Tris-EDTA buffer (pH 9.0) for 20 minutes. The tissues were blocked in 1% BSA for 20 minutes at room temperature, washed with ddH2O and PBS, and then probed with the primary antibody (HA601290) at 1/1,000 dilution for 1 hour at room temperature. The detection was performed using an HRP conjugated compact polymer system. DAB was used as the chromogen. Tissues were counterstained with hematoxylin and mounted with DPX.
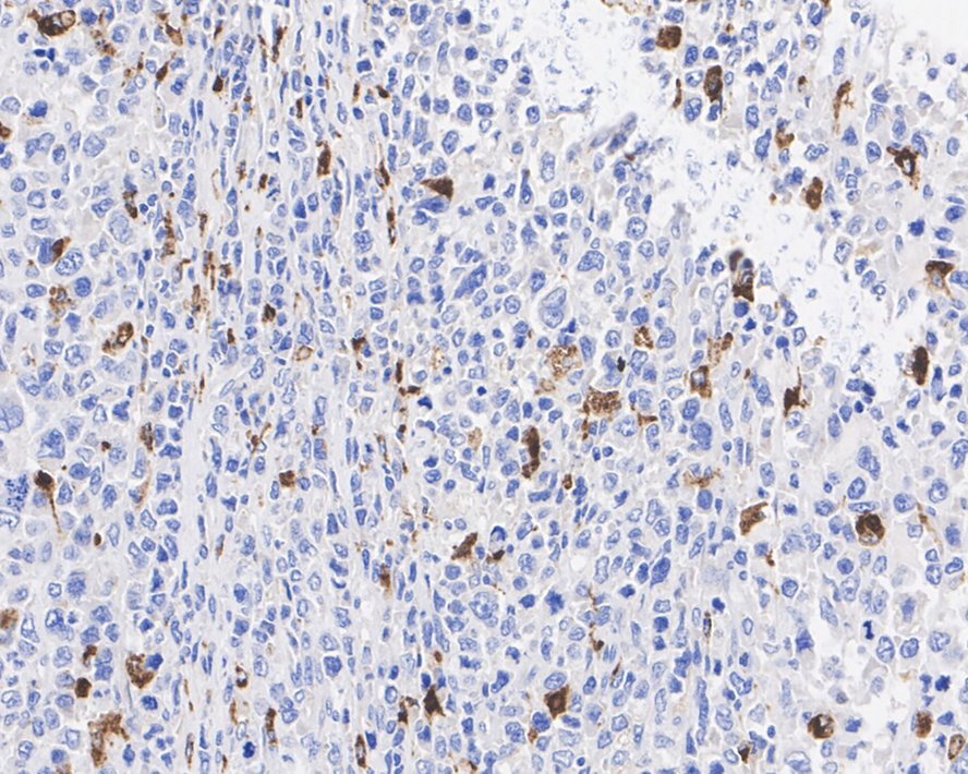
HA601290_4.jpg Fig4: Immunohistochemical analysis of paraffin-embedded human prostate cancer tissue with Mouse anti-CD68 antibody (HA601290) at 1/1,000 dilution.

The section was pre-treated using heat mediated antigen retrieval with Tris-EDTA buffer (pH 9.0) for 20 minutes. The tissues were blocked in 1% BSA for 20 minutes at room temperature, washed with ddH2O and PBS, and then probed with the primary antibody (HA601290) at 1/1,000 dilution for 1 hour at room temperature. The detection was performed using an HRP conjugated compact polymer system. DAB was used as the chromogen. Tissues were counterstained with hematoxylin and mounted with DPX.
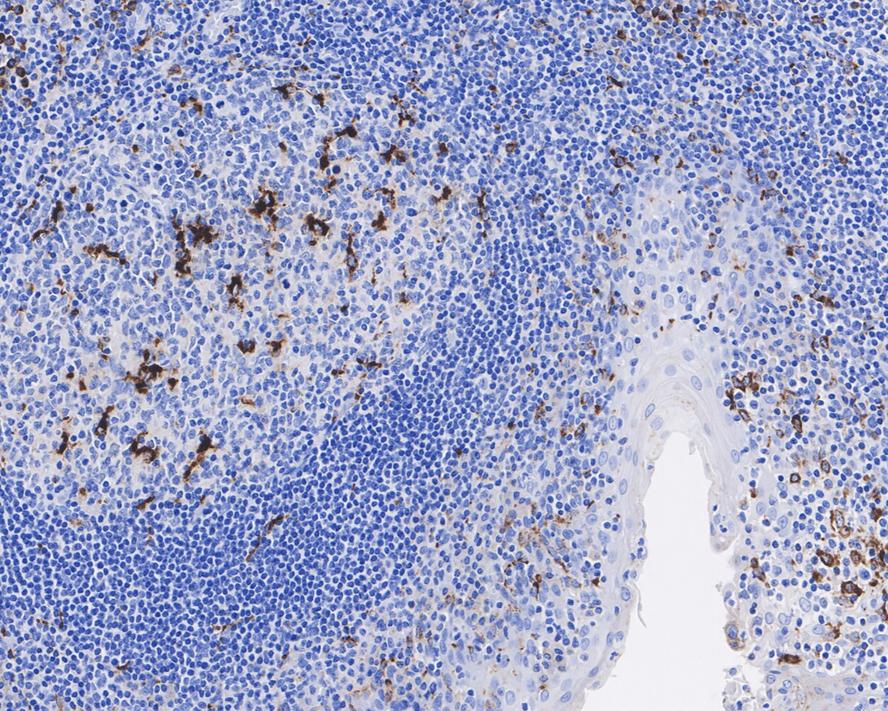
HA601290_5.jpg Fig5: Immunohistochemical analysis of paraffin-embedded human tonsil tissue with Mouse anti-CD68 antibody (HA601290) at 1/1,000 dilution.

The section was pre-treated using heat mediated antigen retrieval with Tris-EDTA buffer (pH 9.0) for 20 minutes. The tissues were blocked in 1% BSA for 20 minutes at room temperature, washed with ddH2O and PBS, and then probed with the primary antibody (HA601290) at 1/1,000 dilution for 1 hour at room temperature. The detection was performed using an HRP conjugated compact polymer system. DAB was used as the chromogen. Tissues were counterstained with hematoxylin and mounted with DPX.
HA601290_6.jpg Fig6: Flow cytometric analysis of THP-1 (positive) and Jurkat (negative) cells labeling CD68.

Cells were fixed and permeabilized. Then stained with the primary antibody (HA601290, 1μg/mL) (red) compared with Mouse IgG1 Isotype Control (green). After incubation of the primary antibody at +4℃ for an hour, the cells were stained with a iFluor™ 488 conjugate-Goat anti-Mouse IgG Secondary antibody (HA1125) at 1/1,000 dilution for 30 minutes at +4℃. Unlabelled sample was used as a control (cells without incubation with primary antibody; black).
HA601290_7.jpg Fig7: Flow cytometric analysis of human peripheral blood (monocytes) labeling CD68.

Cells were fixed and permeabilized. Then stained with the primary antibody (HA601290, 1/1,000) (red). After incubation of the primary antibody at +4℃ for an hour, the cells were stained with a iFluor™ 488 conjugate-Goat anti-Rabbit IgG Secondary antibody (HA1121) at 1/1,000 dilution for 30 minutes at +4℃. Unlabelled sample was used as a control (cells without incubation with primary antibody; black).
Note: All products are “FOR RESEARCH USE ONLY AND ARE NOT INTENDED FOR DIAGNOSTIC OR THERAPEUTIC USE”.