CD68 Recombinant Mouse Monoclonal Antibody [A3C2-R]
cat.: HA601291
Product Type: Recombinant Mouse monoclonal IgG1, primary antibodies
Species reactivity: Human
Applications: WB, IF-Cell, IHC-P
Clonality: Monoclonal
Clone number: A3C2-R
Form: Liquid
Storage condition: Shipped at 4℃. Store at +4℃ short term (1-2 weeks). It is recommended to aliquot into single-use upon delivery. Store at -20℃ long term.
Storage buffer: PBS (pH7.4), 0.1% BSA, 40% Glycerol. Preservative: 0.05% Sodium Azide.
Concentration: 1ug/ul
Purification: Protein A affinity purified.
Molecular weight: Predicted band size: 37 kDa
Isotype: IgG1
Immunogen: Synthetic peptide within human CD68 aa 320-354.
Positive control: A431 cell lysate, THP-1 cell lysate, U-937 cell lysate, THP-1, human prostate cancer tissue, human tonsil tissue.
Subcellular location: Cell membrane. Endosome membrane, lysosome membrane.
Recommended Dilutions:
  WB
  IF-Cell
  IHC-P

1:1,000
1:100
1:1,000
Uniprot #: SwissProt: P34810 Human
Alternative names: CD 68 CD68 CD68 antigen CD68 molecule CD68_HUMAN DKFZp686M18236 gp11 Gp110 LAMP4 Macrophage antigen CD68 (microsialin) MACROPHAGE ANTIGEN CD68 Macrosialin SCARD1 Scavenger receptor class D member 1
Images
HA601291_1.jpg Fig1: Western blot analysis of CD68 on different lysates with Mouse anti-CD68 antibody (HA601291) at 1/1,000 dilution.

Lane 1: A431 cell lysate
Lane 2: THP-1 cell lysate
Lane 3: U-937 cell lysate
Lane 4: Jurkat cell lysate (negative)

Lysates/proteins at 20 µg/Lane.

Predicted band size: 37 kDa
Observed band size: 100-150 kDa

Exposure time: 1 minute 4 seconds;

4-20% SDS-PAGE gel.

Proteins were transferred to a PVDF membrane and blocked with 5% NFDM/TBST for 1 hour at room temperature. The primary antibody (HA601291) at 1/1,000 dilution was used in 5% NFDM/TBST at 4℃ overnight. Goat Anti-Mouse IgG - HRP Secondary Antibody (HA1006) at 1/50,000 dilution was used for 1 hour at room temperature.
HA601291_2.jpg Fig2: Immunocytochemistry analysis of THP-1 (positive) and Jurkat (negative) labeling CD68 with Mouse anti-CD68 antibody (HA601291) at 1/100 dilution.

Cells were fixed in 4% paraformaldehyde for 20 minutes at room temperature, permeabilized with 0.1% Triton X-100 in PBS for 5 minutes at room temperature, then blocked with 1% BSA in 10% negative goat serum for 1 hour at room temperature. Cells were then incubated with Mouse anti-CD68 antibody (HA601291) at 1/500 dilution in 1% BSA in PBST overnight at 4 ℃. Goat Anti-Mouse IgG H&L (iFluor™ 488, HA1125) was used as the secondary antibody at 1/1,000 dilution. PBS instead of the primary antibody was used as the secondary antibody only control. Nuclear DNA was labelled in blue with DAPI.

beta Tubulin (ET1602-4, red) was stained at 1/100 dilution overnight at +4℃. Goat Anti-Rabbit IgG H&L (iFluor™ 594, HA1122) were used as the secondary antibody at 1/1,000 dilution.
HA601291_3.jpg Fig3: Immunohistochemical analysis of paraffin-embedded human prostate cancer tissue with Mouse anti-CD68 antibody (HA601291) at 1/1,000 dilution.

The section was pre-treated using heat mediated antigen retrieval with Tris-EDTA buffer (pH 9.0) for 20 minutes. The tissues were blocked in 1% BSA for 20 minutes at room temperature, washed with ddH2O and PBS, and then probed with the primary antibody (HA601291) at 1/1,000 dilution for 1 hour at room temperature. The detection was performed using an HRP conjugated compact polymer system. DAB was used as the chromogen. Tissues were counterstained with hematoxylin and mounted with DPX.
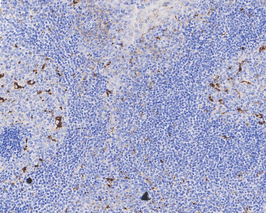
HA601291_4.jpg Fig4: Immunohistochemical analysis of paraffin-embedded human tonsil tissue with Mouse anti-CD68 antibody (HA601291) at 1/1,000 dilution.

The section was pre-treated using heat mediated antigen retrieval with Tris-EDTA buffer (pH 9.0) for 20 minutes. The tissues were blocked in 1% BSA for 20 minutes at room temperature, washed with ddH2O and PBS, and then probed with the primary antibody (HA601291) at 1/1,000 dilution for 1 hour at room temperature. The detection was performed using an HRP conjugated compact polymer system. DAB was used as the chromogen. Tissues were counterstained with hematoxylin and mounted with DPX.
Note: All products are “FOR RESEARCH USE ONLY AND ARE NOT INTENDED FOR DIAGNOSTIC OR THERAPEUTIC USE”.