ALDH4A1 Recombinant Mouse Monoclonal Antibody [7E2-R]
cat.: HA601320
Product Type: Recombinant Mouse monoclonal IgG1, primary antibodies
Species reactivity: Human, Mouse, Rat
Applications: WB, IF-Cell, IHC-P
Clonality: Monoclonal
Clone number: 7E2-R
Form: Liquid
Storage condition: Shipped at 4℃. Store at +4℃ short term (1-2 weeks). It is recommended to aliquot into single-use upon delivery. Store at -20℃ long term.
Storage buffer: PBS (pH7.4), 0.1% BSA, 40% Glycerol. Preservative: 0.05% Sodium Azide.
Concentration: 1ug/ul
Purification: Protein A affinity purified.
Molecular weight: Predicted band size: 62 kDa
Isotype: IgG1
Immunogen: Synthetic peptide within Human ALDH4A1 aa 514-563 / 563.
Positive control: HepG2 cell lysate, SK-Br-3 cell lysate, human kidney tissue lysate, human liver tissue lysate, mouse liver tissue lysate, rat liver tissue lysate, HepG2, human kidney tissue, human liver tissue, mouse liver tissue, rat liver tissue.
Subcellular location: Mitochondrion matrix.
Recommended Dilutions:
  WB
  IF-Cell
  IHC-P

1:5,000
1:100
1:1,000
Uniprot #: SwissProt: P30038 Human | Q8CHT0 Mouse | P0C2X9 Rat
Alternative names: AL4A1_HUMAN aldehyde dehydrogenase 4 aldehyde dehydrogenase 4 family, member A1 Aldehyde dehydrogenase family 4 member A1 Aldehyde dehydrogenase, family 4, subfamily A, member 1 ALDH4 aldh4a1 Delta 1 pyrroline 5 carboxylate dehydrogenase, mitochondrial Delta-1-pyrroline-5-carboxylate dehydrogenase L-glutamate gamma-semialdehyde dehydrogenase mitochondrial mitochondrial delta-1-pyrroline 5-carboxylate dehydrogenase P5C dehydrogenase P5CD P5CDh P5CDhL P5CDhS Pyrroline-5-carboxylate dehydrogenase RP11 128M10.1
Images
HA601320_1.jpg Fig1: Western blot analysis of ALDH4A1 on different lysates with Mouse anti-ALDH4A1 antibody (HA601320) at 1/5,000 dilution.

Lane 1: HepG2 cell lysate (20 µg/Lane)
Lane 2: SK-Br-3 cell lysate (20 µg/Lane)
Lane 3: Human kidney tissue lysate (40 µg/Lane)
Lane 4: Human liver tissue lysate (40 µg/Lane)
Lane 5: Mouse liver tissue lysate (40 µg/Lane)
Lane 6: Rat liver tissue lysate (40 µg/Lane)

Predicted band size: 62 kDa
Observed band size: 55 kDa

Exposure time: 1 minute 13 seconds;

4-20% SDS-PAGE gel.

Proteins were transferred to a PVDF membrane and blocked with 5% NFDM/TBST for 1 hour at room temperature. The primary antibody (HA601320) at 1/5,000 dilution was used in 5% NFDM/TBST at 4℃ overnight. Goat Anti-Mouse IgG - HRP Secondary Antibody (HA1006) at 1/50,000 dilution was used for 1 hour at room temperature.
HA601320_2.jpg Fig2: Immunocytochemistry analysis of HepG2 cells labeling ALDH4A1 with Mouse anti-ALDH4A1 antibody (HA601320) at 1/100 dilution.

Cells were fixed in 4% paraformaldehyde for 20 minutes at room temperature, permeabilized with 0.1% Triton X-100 in PBS for 5 minutes at room temperature, then blocked with 1% BSA in 10% negative goat serum for 1 hour at room temperature. Cells were then incubated with Mouse anti-ALDH4A1 antibody (HA601320) at 1/100 dilution in 1% BSA in PBST overnight at 4 ℃. Goat Anti-Mouse IgG H&L (iFluor™ 488, HA1125) was used as the secondary antibody at 1/1,000 dilution. PBS instead of the primary antibody was used as the secondary antibody only control. Counterstained with Mitotracker. Nuclear DNA was labelled in blue with DAPI.
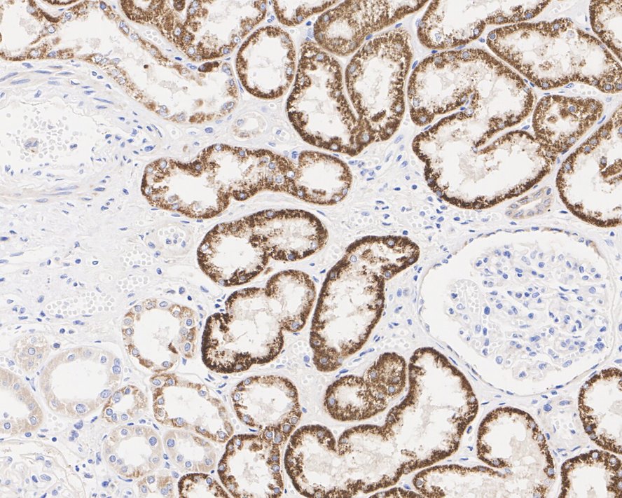
HA601320_3.jpg Fig3: Immunohistochemical analysis of paraffin-embedded human kidney tissue with Mouse anti-ALDH4A1 antibody (HA601320) at 1/1,000 dilution.

The section was pre-treated using heat mediated antigen retrieval with Tris-EDTA buffer (pH 9.0) for 20 minutes. The tissues were blocked in 1% BSA for 20 minutes at room temperature, washed with ddH2O and PBS, and then probed with the primary antibody (HA601320) at 1/1,000 dilution for 1 hour at room temperature. The detection was performed using an HRP conjugated compact polymer system. DAB was used as the chromogen. Tissues were counterstained with hematoxylin and mounted with DPX.
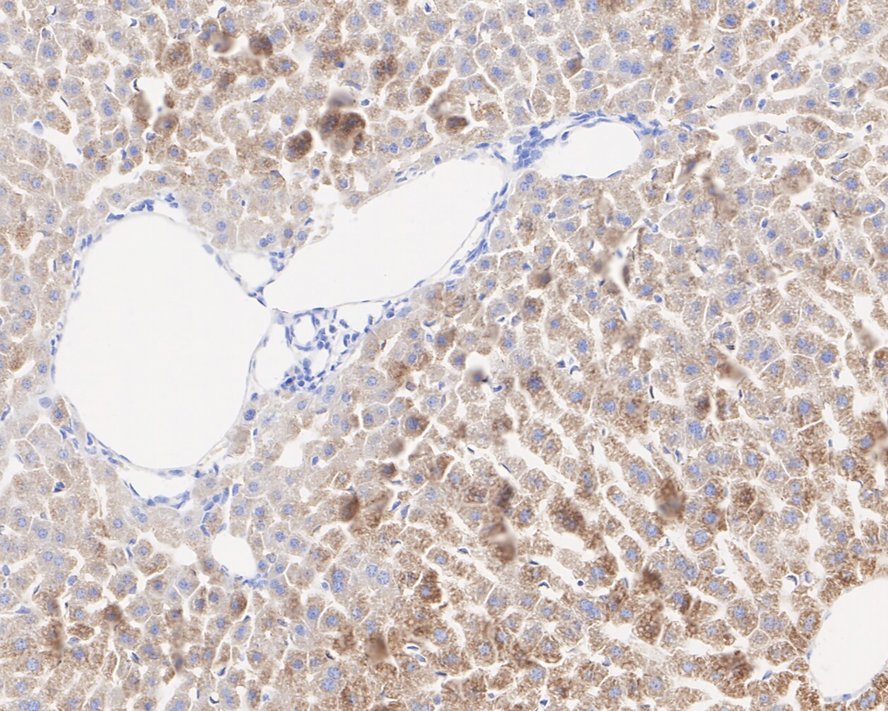
HA601320_4.jpg Fig4: Immunohistochemical analysis of paraffin-embedded human liver tissue with Mouse anti-ALDH4A1 antibody (HA601320) at 1/1,000 dilution.

The section was pre-treated using heat mediated antigen retrieval with Tris-EDTA buffer (pH 9.0) for 20 minutes. The tissues were blocked in 1% BSA for 20 minutes at room temperature, washed with ddH2O and PBS, and then probed with the primary antibody (HA601320) at 1/1,000 dilution for 1 hour at room temperature. The detection was performed using an HRP conjugated compact polymer system. DAB was used as the chromogen. Tissues were counterstained with hematoxylin and mounted with DPX.
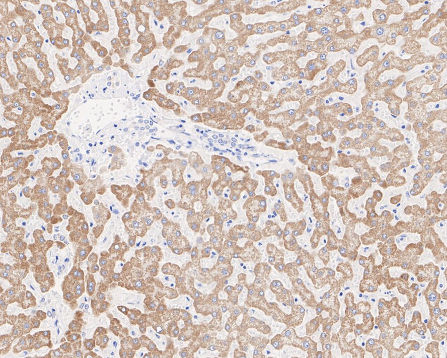
HA601320_5.jpg Fig5: Immunohistochemical analysis of paraffin-embedded mouse liver tissue with Mouse anti-ALDH4A1 antibody (HA601320) at 1/1,000 dilution.

The section was pre-treated using heat mediated antigen retrieval with Tris-EDTA buffer (pH 9.0) for 20 minutes. The tissues were blocked in 1% BSA for 20 minutes at room temperature, washed with ddH2O and PBS, and then probed with the primary antibody (HA601320) at 1/1,000 dilution for 1 hour at room temperature. The detection was performed using an HRP conjugated compact polymer system. DAB was used as the chromogen. Tissues were counterstained with hematoxylin and mounted with DPX.
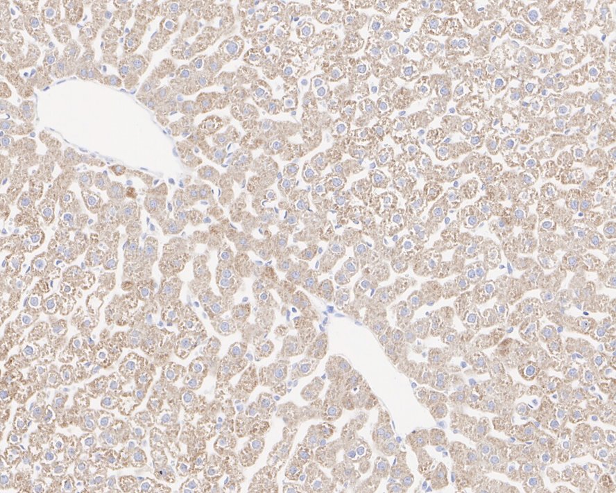
HA601320_6.jpg Fig6: Immunohistochemical analysis of paraffin-embedded rat liver tissue with Mouse anti-ALDH4A1 antibody (HA601320) at 1/1,000 dilution.

The section was pre-treated using heat mediated antigen retrieval with Tris-EDTA buffer (pH 9.0) for 20 minutes. The tissues were blocked in 1% BSA for 20 minutes at room temperature, washed with ddH2O and PBS, and then probed with the primary antibody (HA601320) at 1/1,000 dilution for 1 hour at room temperature. The detection was performed using an HRP conjugated compact polymer system. DAB was used as the chromogen. Tissues were counterstained with hematoxylin and mounted with DPX.
Note: All products are “FOR RESEARCH USE ONLY AND ARE NOT INTENDED FOR DIAGNOSTIC OR THERAPEUTIC USE”.