CELF1 Recombinant Mouse Monoclonal Antibody [7A1-R]
cat.: HA601327
Product Type: Recombinant Mouse monoclonal IgG1, primary antibodies
Species reactivity: Human, Mouse, Rat, Monkey
Applications: WB, IF-Cell, IHC-P
Clonality: Monoclonal
Clone number: 7A1-R
Form: Liquid
Storage condition: Shipped at 4℃. Store at +4℃ short term (1-2 weeks). It is recommended to aliquot into single-use upon delivery. Store at -20℃ long term.
Storage buffer: PBS (pH7.4), 0.1% BSA, 40% Glycerol. Preservative: 0.05% Sodium Azide.
Concentration: 1ug/ul
Purification: Protein A affinity purified.
Molecular weight: Predicted band size: 52 kDa
Isotype: IgG1
Immunogen: Recombinant protein within Human CELF1 aa 1-200 / 486.
Positive control: HeLa cell lysate, 293T cell lysate, NCI-H226 cell lysate, COS-1 cell lysate, Neuro-2a cell lysate, NIH/3T3 cell lysate, HeLa, human brain tissue, human kidney tissue, mouse brain tissue, mouse hippocampus tissue, rat brain tissue, rat hippocampus tissue.
Subcellular location: Cytoplasm. Nucleus.
Recommended Dilutions:
  WB
  IF-Cell
  IHC-P

1:1,000
1:100
1:1,000
Uniprot #: SwissProt: Q92879 Human | P28659 Mouse | Q4QQT3 Rat
Alternative names: 50 kDa Nuclear polyadenylated RNA binding protein 50 kDa nuclear polyadenylated RNA-binding protein Bruno like 2 bruno like protein 2 Bruno-like protein 2 BRUNOL 2 BRUNOL2 CELF 1 CELF-1 celf1 CELF1 CUGBP, Elav like family member 1 CELF1_HUMAN CUG BP and ETR 3 like factor 1 CUG BP CUG BP1 CUG RNA binding protein CUG triplet repeat RNA binding protein 1 CUG triplet repeat RNA-binding protein 1 CUG-BP CUG-BP- and ETR-3-like factor 1 CUG-BP1 CUGBP 1 CUGBP and ETR3 like factor 1 CUGBP CUGBP Elav like family member 1 CUGBP Elav-like family member 1 CUGBP1 Cytidine uridine guanosine binding protein 1 Deadenylation factor CUG BP Deadenylation factor CUG-BP Deadenylation factor CUGBP EDEN BP EDEN BP homolog EDEN-BP EDEN-BP homolog embryo deadenylation element binding protein embryo deadenylation element binding protein homolog Embryo deadenylation element-binding protein homolog hNab 50 hNab50 NAB 50 NAB50 NAPOR......
Images
HA601327_1.jpg Fig1: Western blot analysis of CELF1 on different lysates with Mouse anti-CELF1 antibody (HA601327) at 1/1,000 dilution.

Lane 1: HeLa cell lysate
Lane 2: 293T cell lysate
Lane 3: NCI-H226 cell lysate
Lane 4: COS-1 cell lysate
Lane 5: Neuro-2a cell lysate
Lane 6: NIH/3T3 cell lysate

Lysates/proteins at 30 µg/Lane.

Predicted band size: 52 kDa
Observed band size: 55 kDa

Exposure time: 59 seconds; ECL: K1801;

4-20% SDS-PAGE gel.

Proteins were transferred to a PVDF membrane and blocked with 5% NFDM/TBST for 1 hour at room temperature. The primary antibody (HA601327) at 1/1,000 dilution was used in 5% NFDM/TBST at 4℃ overnight. Goat Anti-Mouse IgG - HRP Secondary Antibody (HA1006) at 1/50,000 dilution was used for 1 hour at room temperature.
HA601327_2.jpg Fig2: Immunocytochemistry analysis of HeLa cells labeling CELF1 with Mouse anti-CELF1 antibody (HA601327) at 1/100 dilution.

Cells were fixed in 4% paraformaldehyde for 20 minutes at room temperature, permeabilized with 0.1% Triton X-100 in PBS for 5 minutes at room temperature, then blocked with 1% BSA in 10% negative goat serum for 1 hour at room temperature. Cells were then incubated with Mouse anti-CELF1 antibody (HA601327) at 1/100 dilution in 1% BSA in PBST overnight at 4 ℃. Goat Anti-Mouse IgG H&L (iFluor™ 488, HA1125) was used as the secondary antibody at 1/1,000 dilution. PBS instead of the primary antibody was used as the secondary antibody only control. Nuclear DNA was labelled in blue with DAPI.

beta Tubulin (ET1602-4, red) was stained at 1/100 dilution overnight at +4℃. Goat Anti-Rabbit IgG H&L (iFluor™ 594, HA1122) were used as the secondary antibody at 1/1,000 dilution.
HA601327_3.jpg Fig3: Immunohistochemical analysis of paraffin-embedded human brain tissue with Mouse anti-CELF1 antibody (HA601327) at 1/1,000 dilution.

The section was pre-treated using heat mediated antigen retrieval with sodium citrate buffer (pH 6.0) for 2 minutes. The tissues were blocked in 1% BSA for 20 minutes at room temperature, washed with ddH2O and PBS, and then probed with the primary antibody (HA601327) at 1/1,000 dilution for 1 hour at room temperature. The detection was performed using an HRP conjugated compact polymer system. DAB was used as the chromogen. Tissues were counterstained with hematoxylin and mounted with DPX.
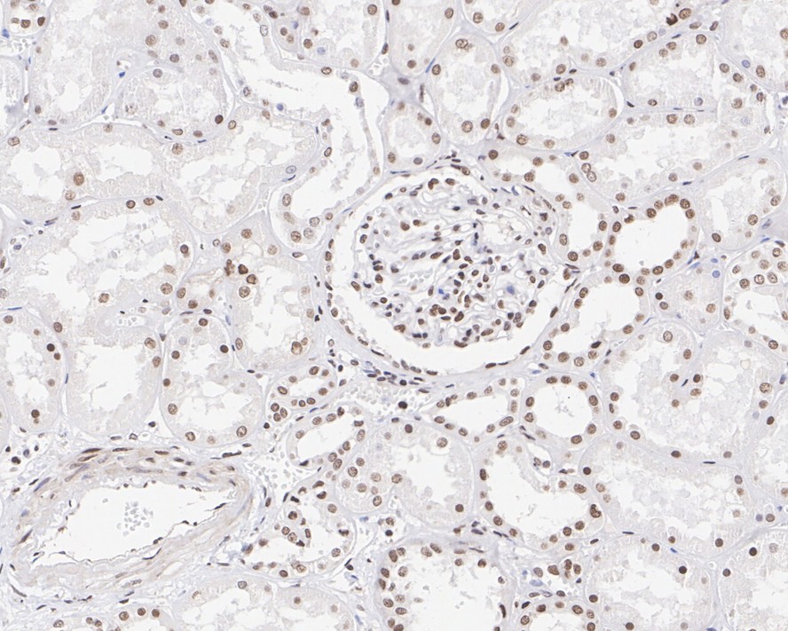
HA601327_4.jpg Fig4: Immunohistochemical analysis of paraffin-embedded human kidney tissue with Mouse anti-CELF1 antibody (HA601327) at 1/1,000 dilution.

The section was pre-treated using heat mediated antigen retrieval with sodium citrate buffer (pH 6.0) for 2 minutes. The tissues were blocked in 1% BSA for 20 minutes at room temperature, washed with ddH2O and PBS, and then probed with the primary antibody (HA601327) at 1/1,000 dilution for 1 hour at room temperature. The detection was performed using an HRP conjugated compact polymer system. DAB was used as the chromogen. Tissues were counterstained with hematoxylin and mounted with DPX.
HA601327_5.jpg Fig5: Immunohistochemical analysis of paraffin-embedded mouse brain tissue with Mouse anti-CELF1 antibody (HA601327) at 1/1,000 dilution.

The section was pre-treated using heat mediated antigen retrieval with sodium citrate buffer (pH 6.0) for 2 minutes. The tissues were blocked in 1% BSA for 20 minutes at room temperature, washed with ddH2O and PBS, and then probed with the primary antibody (HA601327) at 1/1,000 dilution for 1 hour at room temperature. The detection was performed using an HRP conjugated compact polymer system. DAB was used as the chromogen. Tissues were counterstained with hematoxylin and mounted with DPX.
HA601327_6.jpg Fig6: Immunohistochemical analysis of paraffin-embedded mouse hippocampus tissue with Mouse anti-CELF1 antibody (HA601327) at 1/1,000 dilution.

The section was pre-treated using heat mediated antigen retrieval with sodium citrate buffer (pH 6.0) for 2 minutes. The tissues were blocked in 1% BSA for 20 minutes at room temperature, washed with ddH2O and PBS, and then probed with the primary antibody (HA601327) at 1/1,000 dilution for 1 hour at room temperature. The detection was performed using an HRP conjugated compact polymer system. DAB was used as the chromogen. Tissues were counterstained with hematoxylin and mounted with DPX.
HA601327_7.jpg Fig7: Immunohistochemical analysis of paraffin-embedded rat brain tissue with Mouse anti-CELF1 antibody (HA601327) at 1/1,000 dilution.

The section was pre-treated using heat mediated antigen retrieval with sodium citrate buffer (pH 6.0) for 2 minutes. The tissues were blocked in 1% BSA for 20 minutes at room temperature, washed with ddH2O and PBS, and then probed with the primary antibody (HA601327) at 1/1,000 dilution for 1 hour at room temperature. The detection was performed using an HRP conjugated compact polymer system. DAB was used as the chromogen. Tissues were counterstained with hematoxylin and mounted with DPX.
HA601327_8.jpg Fig8: Immunohistochemical analysis of paraffin-embedded rat hippocampus tissue with Mouse anti-CELF1 antibody (HA601327) at 1/1,000 dilution.

The section was pre-treated using heat mediated antigen retrieval with sodium citrate buffer (pH 6.0) for 2 minutes. The tissues were blocked in 1% BSA for 20 minutes at room temperature, washed with ddH2O and PBS, and then probed with the primary antibody (HA601327) at 1/1,000 dilution for 1 hour at room temperature. The detection was performed using an HRP conjugated compact polymer system. DAB was used as the chromogen. Tissues were counterstained with hematoxylin and mounted with DPX.
Note: All products are “FOR RESEARCH USE ONLY AND ARE NOT INTENDED FOR DIAGNOSTIC OR THERAPEUTIC USE”.