EIF3H Recombinant Mouse Monoclonal Antibody [PSH04-49]
cat.: HA601328
Product Type: Recombinant Mouse monoclonal IgG1, primary antibodies
Species reactivity: Human, Mouse, Rat
Applications: WB, IHC-P
Clonality: Monoclonal
Clone number: PSH04-49
Form: Liquid
Storage condition: Shipped at 4℃. Store at +4℃ short term (1-2 weeks). It is recommended to aliquot into single-use upon delivery. Store at -20℃ long term.
Storage buffer: PBS (pH7.4), 0.1% BSA, 40% Glycerol. Preservative: 0.05% Sodium Azide.
Concentration: 1ug/ul
Purification: Protein A affinity purified.
Molecular weight: Predicted band size: 40 kDa
Isotype: IgG1
Immunogen: Recombinant protein within human EIF3H aa 1-352 / 352.
Positive control: HEK-293 cell lysate, HeLa cell lysate, K-562 cell lysate, Jurkat cell lysate, HepG2 cell lysate, A549 cell lysate, SK-Br-3 cell lysate, MDA-MB-231 cell lysate, MDA-MB-468 cell lysate, MCF7 cell lysate, RAW264.7 cell lysate, NIH/3T3 cell lysate, PC-12 cell lysate, human breast cancer tissue, human colon cancer tissue.
Subcellular location: Cytoplasm.
Recommended Dilutions:
  WB
  IHC-P

1:1,000-1:2,000
1:200
Uniprot #: SwissProt: O15372 Human | Q91WK2 Mouse | Q6P9U8 Rat
Alternative names: eIF-3-gamma eIF3 gamma eIF3 p40 eIF3 p40 subunit eIF3h EIF3H_HUMAN EIF3S3 Eukaryotic translation initiation factor 3 subunit 3 Eukaryotic translation initiation factor 3 subunit H MGC102958
Images
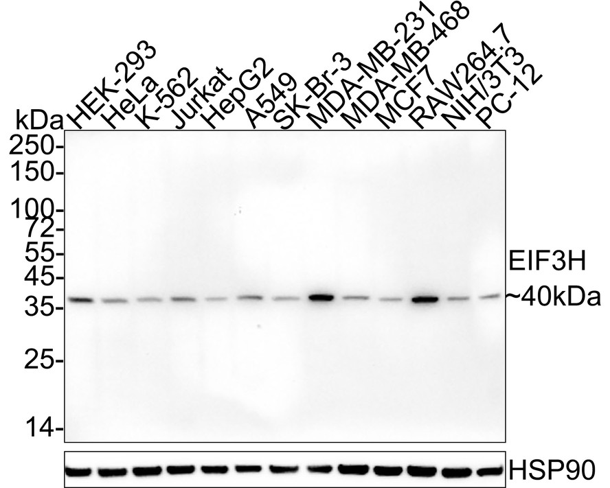
HA601328_1.jpg Fig1: Western blot analysis of EIF3H on different lysates with Mouse anti-EIF3H antibody (HA601328) at 1/2,000 dilution.

Lane 1: HEK-293 cell lysate
Lane 2: HeLa cell lysate
Lane 3: K-562 cell lysate
Lane 4: Jurkat cell lysate
Lane 5: HepG2 cell lysate
Lane 6: A549 cell lysate
Lane 7: SK-Br-3 cell lysate
Lane 8: MDA-MB-231 cell lysate
Lane 9: MDA-MB-468 cell lysate
Lane 10: MCF7 cell lysate
Lane 11: RAW264.7 cell lysate
Lane 12: NIH/3T3 cell lysate
Lane 13: PC-12 cell lysate

Lysates/proteins at 20 µg/Lane.

Predicted band size: 40 kDa
Observed band size: 40 kDa

Exposure time: 3 minutes; ECL: K1801;

4-20% SDS-PAGE gel.

Proteins were transferred to a PVDF membrane and blocked with 5% NFDM/TBST for 1 hour at room temperature. The primary antibody (HA601328) at 1/2,000 dilution was used in 5% NFDM/TBST at 4℃ overnight. Goat Anti-Mouse IgG - HRP Secondary Antibody (HA1006) at 1/50,000 dilution was used for 1 hour at room temperature.
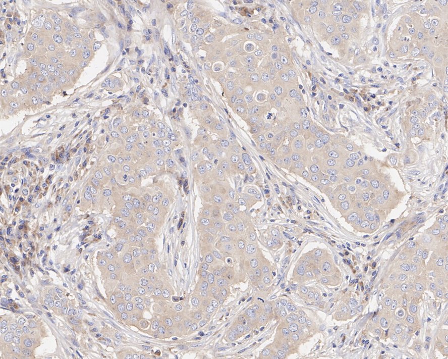
HA601328_2.jpg Fig2: Immunohistochemical analysis of paraffin-embedded human breast cancer tissue with Mouse anti-EIF3H antibody (HA601328) at 1/200 dilution.

The section was pre-treated using heat mediated antigen retrieval with Tris-EDTA buffer (pH 9.0) for 20 minutes. The tissues were blocked in 1% BSA for 20 minutes at room temperature, washed with ddH2O and PBS, and then probed with the primary antibody (HA601328) at 1/200 dilution for 1 hour at room temperature. The detection was performed using an HRP conjugated compact polymer system. DAB was used as the chromogen. Tissues were counterstained with hematoxylin and mounted with DPX.
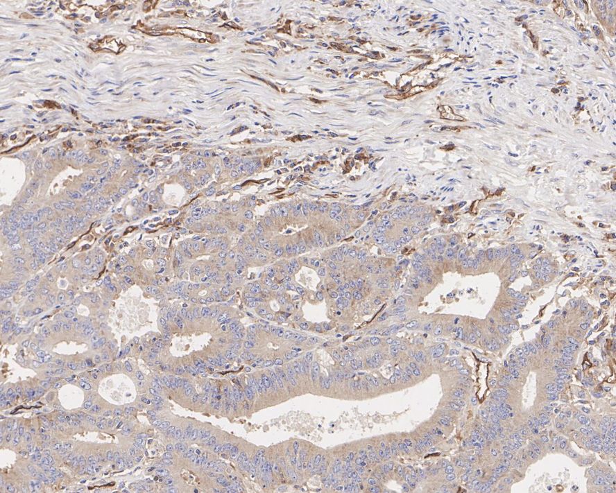
HA601328_3.jpg Fig3: Immunohistochemical analysis of paraffin-embedded human colon cancer tissue with Mouse anti-EIF3H antibody (HA601328) at 1/200 dilution.

The section was pre-treated using heat mediated antigen retrieval with Tris-EDTA buffer (pH 9.0) for 20 minutes. The tissues were blocked in 1% BSA for 20 minutes at room temperature, washed with ddH2O and PBS, and then probed with the primary antibody (HA601328) at 1/200 dilution for 1 hour at room temperature. The detection was performed using an HRP conjugated compact polymer system. DAB was used as the chromogen. Tissues were counterstained with hematoxylin and mounted with DPX.
Note: All products are “FOR RESEARCH USE ONLY AND ARE NOT INTENDED FOR DIAGNOSTIC OR THERAPEUTIC USE”.