LAIR1 Recombinant Mouse Monoclonal Antibody [PSH04-50]
cat.: HA601329
Product Type: Recombinant Mouse monoclonal IgG1, primary antibodies
Species reactivity: Human
Applications: WB, IHC-P
Clonality: Monoclonal
Clone number: PSH04-50
Form: Liquid
Storage condition: Shipped at 4℃. Store at +4℃ short term (1-2 weeks). It is recommended to aliquot into single-use upon delivery. Store at -20℃ long term.
Storage buffer: PBS (pH7.4), 0.1% BSA, 40% Glycerol. Preservative: 0.05% Sodium Azide.
Concentration: 1ug/ul
Purification: Protein A affinity purified.
Molecular weight: Predicted band size: 32 kDa
Isotype: IgG1
Immunogen: Recombinant protein within human LAIR1 aa 166-287 / 287.
Positive control: THP-1 cell lysate, HL-60 cell lysate, human lymph node tissue.
Subcellular location: Cell membrane.
Recommended Dilutions:
  WB
  IHC-P

1:2,000
1:200
Uniprot #: SwissProt: Q6GTX8 Human
Alternative names: 5133400O11Rik CD305 D7Bwg0421e hLAIR1 LAIR 1 LAIR-1 LAIR1 LAIR1 protein LAIR1_HUMAN Leukocyte associated Ig like receptor 1 Leukocyte associated immunoglobulin like receptor 1 Leukocyte-associated immunoglobulin-like receptor 1
Images
HA601329_1.jpg Fig1: Western blot analysis of LAIR1 on different lysates with Mouse anti-LAIR1 antibody (HA601329) at 1/2,000 dilution.

Lane 1: THP-1 cell lysate (20 µg/Lane)
Lane 2: HL-60 cell lysate (20 µg/Lane)
Lane 3: HeLa cell lysate (negative) (20 µg/Lane)

Predicted band size: 32 kDa
Observed band size: 40-45 kDa

Exposure time: 30 seconds; ECL: K1801;
4-20% SDS-PAGE gel.

Proteins were transferred to a PVDF membrane and blocked with 5% NFDM/TBST for 1 hour at room temperature. The primary antibody (HA601329) at 1/2,000 dilution was used in 5% NFDM/TBST at 4℃ overnight. Goat Anti-Mouse IgG - HRP Secondary Antibody (HA1006) at 1/50,000 dilution was used for 1 hour at room temperature.
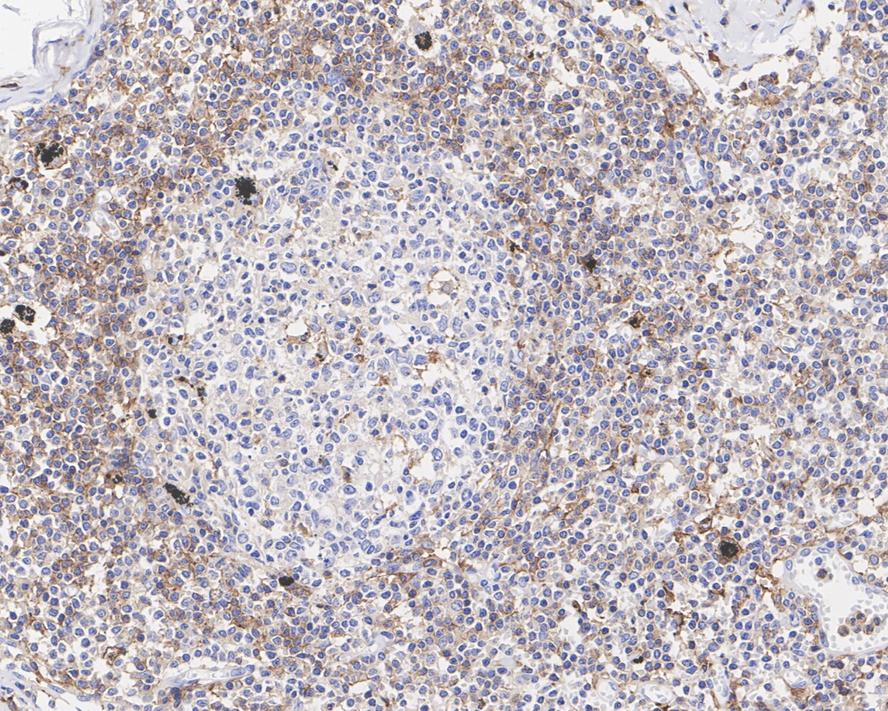
HA601329_2.jpg Fig2: Immunohistochemical analysis of paraffin-embedded human lymph node tissue with Mouse anti-LAIR1 antibody (HA601329) at 1/200 dilution.

The section was pre-treated using heat mediated antigen retrieval with Tris-EDTA buffer (pH 9.0) for 20 minutes. The tissues were blocked in 1% BSA for 20 minutes at room temperature, washed with ddH2O and PBS, and then probed with the primary antibody (HA601329) at 1/200 dilution for 1 hour at room temperature. The detection was performed using an HRP conjugated compact polymer system. DAB was used as the chromogen. Tissues were counterstained with hematoxylin and mounted with DPX.
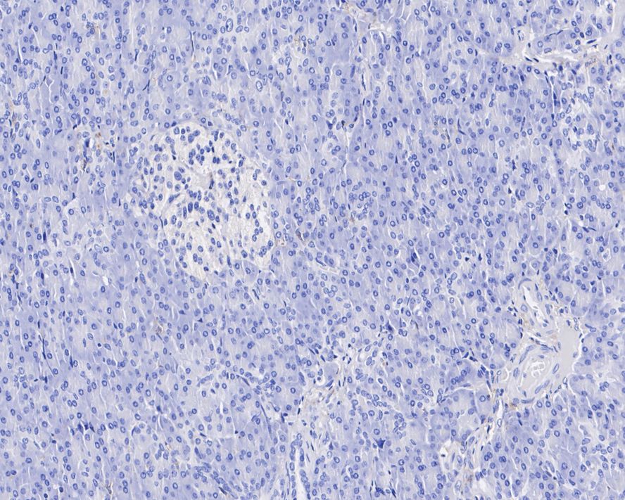
HA601329_3.jpg Fig3: Immunohistochemical analysis of paraffin-embedded human pancreas tissue (negative) with Mouse anti-LAIR1 antibody (HA601329) at 1/1,000 dilution.

The section was pre-treated using heat mediated antigen retrieval with Tris-EDTA buffer (pH 9.0) for 20 minutes. The tissues were blocked in 1% BSA for 20 minutes at room temperature, washed with ddH2O and PBS, and then probed with the primary antibody (HA601329) at 1/1,000 dilution for 1 hour at room temperature. The detection was performed using an HRP conjugated compact polymer system. DAB was used as the chromogen. Tissues were counterstained with hematoxylin and mounted with DPX.
Note: All products are “FOR RESEARCH USE ONLY AND ARE NOT INTENDED FOR DIAGNOSTIC OR THERAPEUTIC USE”.