Human CD45RA Recombinant Mouse Monoclonal Antibody [PSH04-97]
cat.: HA601341
Product Type: Recombinant Mouse monoclonal IgG1, primary antibodies
Species reactivity: Human
Applications: FC, IF-Cell, IHC-P
Clonality: Monoclonal
Clone number: PSH04-97
Form: Liquid
Storage condition: Store at +4℃ after thawing. Aliquot store at -20℃. Avoid repeated freeze / thaw cycles.
Storage buffer: PBS (pH7.4).
Concentration: 1ug/ul
Purification: Protein A affinity purified.
Molecular weight: Predicted band size: 147 kDa
Isotype: IgG1
Immunogen: Recombinant protein within
Positive control: human peripheral blood lymphocytes, Jurkat, Raji, human lymph nodes tissue, human tonsils tissue.
Subcellular location: Cell membrane, Membrane raft.
Recommended Dilutions:
  FC
  IF-Cell
  IHC-P

1:1,000
1:100-1:500
1:5,000
Uniprot #: SwissProt: P08575 Human
Alternative names: B220 CD45 CD45 antigen CD45R EC 3.1.3.48 GP180 L-CA LCA Leukocyte common antigen Loc Ly-5 LY5 Ly5, homolog of Lymphocyte antigen 5 Lyt-4 Protein tyrosine phosphatase, receptor type C Protein tyrosine phosphatase, receptor type, C Protein tyrosine phosphatase, receptor type, c polypeptide Ptprc PTPRC_HUMAN Receptor-type tyrosine-protein phosphatase C RT7 T200 T200 glycoprotein T200 leukocyte common antigen
Images
HA601341_1.jpg Fig1: Flow cytometric analysis of human peripheral blood lymphocytes labeling Human CD45RA.

Cells were washed twice with cold PBS and resuspend. Then stained with the primary antibody (HA601341, 1μg/mL) (red). After incubation of the primary antibody at +4℃ for an hour, the cells were stained with a iFluor™ 488 conjugate-Goat anti-Mouse IgG Secondary antibody (HA1125) at 1/1,000 dilution for 30 minutes at +4℃. Unlabelled sample was used as a control (cells without incubation with primary antibody; blue).
HA601341_2.jpg Fig2: Immunocytochemistry analysis of Jurkat cells labeling Human CD45RA with Mouse anti-Human CD45RA antibody (HA601341) at 1/100 dilution.

Cells were fixed in 4% paraformaldehyde for 15 minutes at room temperature, permeabilized with 0.1% Triton X-100 in PBS for 15 minutes at room temperature, then blocked with 1% BSA in 10% negative goat serum for 1 hour at room temperature. Cells were then incubated with Mouse anti-Human CD45RA antibody (HA601341) at 1/100 dilution in 1% BSA in PBST overnight at 4 ℃. Goat Anti-Mouse IgG H&L (iFluor™ 488, HA1125) was used as the secondary antibody at 1/1,000 dilution. PBS instead of the primary antibody was used as the secondary antibody only control. Nuclear DNA was labelled in blue with DAPI.

beta Tubulin (ET1602-4, red) was stained at 1/100 dilution overnight at +4℃. Goat Anti-Rabbit IgG H&L (iFluor™ 594, HA1122) were used as the secondary antibody at 1/1,000 dilution.
HA601341_3.jpg Fig3: Immunocytochemistry analysis of Raji cells labeling Human CD45RA with Rabbit anti-Human CD45RA antibody (HA601341) at 1/500 dilution.

Cells were fixed in 4% paraformaldehyde for 15 minutes at room temperature, permeabilized with 0.1% Triton X-100 in PBS for 15 minutes at room temperature, then blocked with 1% BSA in 10% negative goat serum for 1 hour at room temperature. Cells were then incubated with Rabbit anti-Human CD45RA antibody (HA601341) at 1/500 dilution in 1% BSA in PBST overnight at 4 ℃. Goat Anti-Rabbit IgG H&L (iFluor™ 488, HA1121) was used as the secondary antibody at 1/1,000 dilution. PBS instead of the primary antibody was used as the secondary antibody only control. Nuclear DNA was labelled in blue with DAPI.

Beta tubulin (HA601187, red) was stained at 1/100 dilution overnight at +4℃. Goat Anti-Mouse IgG H&L (iFluor™ 594, HA1126) was used as the secondary antibody at 1/1,000 dilution.
HA601341_4.jpg Fig4: Immunohistochemical analysis of paraffin-embedded human lymph nodes tissue with Mouse anti-Human CD45RA antibody (HA601341) at 1/5,000 dilution.

The section was pre-treated using heat mediated antigen retrieval with Tris-EDTA buffer (pH 9.0) for 20 minutes. The tissues were blocked in 1% BSA for 20 minutes at room temperature, washed with ddH2O and PBS, and then probed with the primary antibody (HA601341) at 1/5,000 dilution for 1 hour at room temperature. The detection was performed using an HRP conjugated compact polymer system. DAB was used as the chromogen. Tissues were counterstained with hematoxylin and mounted with DPX.
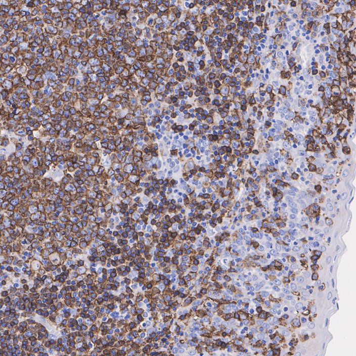
HA601341_5.jpg Fig5: Immunohistochemical analysis of paraffin-embedded human tonsils tissue with Mouse anti-Human CD45RA antibody (HA601341) at 1/5,000 dilution.

The section was pre-treated using heat mediated antigen retrieval with Tris-EDTA buffer (pH 9.0) for 20 minutes. The tissues were blocked in 1% BSA for 20 minutes at room temperature, washed with ddH2O and PBS, and then probed with the primary antibody (HA601341) at 1/5,000 dilution for 1 hour at room temperature. The detection was performed using an HRP conjugated compact polymer system. DAB was used as the chromogen. Tissues were counterstained with hematoxylin and mounted with DPX.
Note: All products are “FOR RESEARCH USE ONLY AND ARE NOT INTENDED FOR DIAGNOSTIC OR THERAPEUTIC USE”.