5-Hydroxymethylcytosine (5-hmC) Recombinant Mouse Monoclonal Antibody [PSH06-08]
cat.: HA601351
Product Type: Recombinant Mouse monoclonal IgG1, primary antibodies
Species reactivity: Species independent
Applications: WB, IHC-P, IF-Cell, Dot Blot, ELISA, MeDIP
Clonality: Monoclonal
Clone number: PSH06-08
Form: Liquid
Storage condition: Shipped at 4℃. Store at +4℃ short term (1-2 weeks). It is recommended to aliquot into single-use upon delivery. Store at -20℃ long term.
Storage buffer: PBS (pH7.4), 0.1% BSA, 40% Glycerol. Preservative: 0.05% Sodium Azide.
Concentration: 1ug/ul
Purification: Protein A affinity purified.
Isotype: IgG1
Immunogen: Recombinant protein fused with 5-Hydroxymethylcytosine.
Positive control: Human colon tissue, human colon cancer tissue, HeLa.
Recommended Dilutions:
  WB
  IHC-P
  IF-Cell
  Dot Blot
  MeDIP

1:1,000
1:200
1:100
1:1,000
Use 5 μg for 3 μg of chromatin.
Alternative names: 5-hmC 5-hydroxymethylcytosine 5hmC
Images
HA601351_1.jpg Fig1: Western blot analysis of 5-Hydroxymethylcytosine (5-hmC) on different conjugations with Mouse anti-5-Hydroxymethylcytosine (5-hmC) antibody (HA601351) at 1/1,000 dilution.

Lane 1: Uridine-BSA (negative)
Lane 2: Cytidine-BSA (negative)
Lane 3: 5-Methylcytosine-BSA (negative)
Lane 4: 3-Methylcytosine-BSA (negative)
Lane 5: 5-Hydroxymethylcytidine-BSA (positive)

Lysates/proteins at 2 μg/Lane.

Predicted band size: 66 kDa
Observed band size: 66 kDa

Exposure time: 6 seconds; ECL: K1801;

4-20% SDS-PAGE gel.

Proteins were transferred to a PVDF membrane and blocked with 5% NFDM/TBST for 1 hour at room temperature. The primary antibody (HA601351) at 1/1,000 dilution was used in 5% NFDM/TBST at room temperature for 2 hours. Goat Anti-Mouse IgG - HRP Secondary Antibody (HA1006) at 1/50,000 dilution was used for 1 hour at room temperature.
HA601351_2.png Fig2: Competitive ELISA analysis of 5-hmc was performed by coating wells of a 96-well plate with 50 µl per well of 5-hmc-BSA diluted in carbonate/bicarbonate buffer, at a concentration of 1 µg/mL overnight at 4℃. Wells of the plate were washed, blocked with 1%BSA blocking buffer, and incubated with 100 µl per well of 5-hmc monoclonal antibody at concentration of 1 µg/mL with serial diluted 5-hmc and its analogs starting from a concentration of 10,000ng/ml to 0.61ng/mL for 1 hours at room temperature. The plate was washed and incubated with 50 µl per well of an HRP-conjugated goat anti-mouse IgG secondary antibody at a dilution of 1/35,000 for one hour at room temperature. Detection was performed using an Ultra TMB Substrate for 8 minutes at room temperature in the dark. The reaction was stopped with sulfuric acid and absorbances were read on a spectrophotometer at 450 nm.

This antibody demonstrates high specificity for 5-hmc and little or no crossreactivity to it analogs.
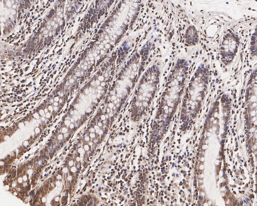
HA601351_3.jpg Fig3: Immunohistochemical analysis of paraffin-embedded human colon tissue with Mouse anti-5-Hydroxymethylcytosine (5-hmC) antibody (HA601351) at 1/200 dilution.

The section was denatured in 2M HCl for 15 minutes at room temperature, then neutralized in 0.1M Tris-HCl (pH 8.3) for 10 minutes. The tissues were blocked in 1% BSA for 20 minutes at room temperature, washed with ddH2O and PBS, and then probed with the primary antibody (HA601351) at 1/200 dilution for 1 hour at room temperature. The detection was performed using an HRP conjugated compact polymer system. DAB was used as the chromogen. Tissues were counterstained with hematoxylin and mounted with DPX.
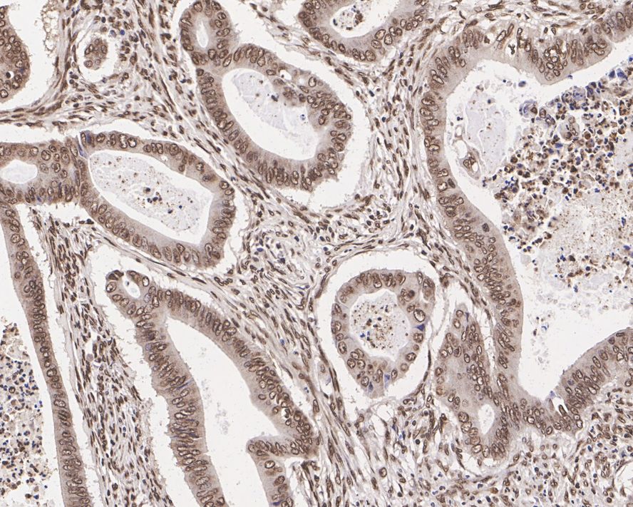
HA601351_4.jpg Fig4: Immunohistochemical analysis of paraffin-embedded human colon cancer tissue with Mouse anti-5-Hydroxymethylcytosine (5-hmC) antibody (HA601351) at 1/200 dilution.

The section was denatured in 2M HCl for 15 minutes at room temperature, then neutralized in 0.1M Tris-HCl (pH 8.3) for 10 minutes. The tissues were blocked in 1% BSA for 20 minutes at room temperature, washed with ddH2O and PBS, and then probed with the primary antibody (HA601351) at 1/200 dilution for 1 hour at room temperature. The detection was performed using an HRP conjugated compact polymer system. DAB was used as the chromogen. Tissues were counterstained with hematoxylin and mounted with DPX.
HA601351_5.jpg Fig5: Immunocytochemistry analysis of HeLa cells labeling 5-Hydroxymethylcytosine (5-hmC) with Mouse anti-5-Hydroxymethylcytosine (5-hmC) antibody (HA601351) at 1/100 dilution.

Cells were fixed in 70% ethyl alcohol for 5 minutes at room temperature, then subjected to acid hydrolysis using 2M HCl in TBST for 30 minutes at room temperature. Permeabilized with 0.1% Triton X-100 in PBS for 15 minutes, and then blocked with 2% BSA for 30 minutes at room temperature. Cells were then incubated with Mouse anti-5-Hydroxymethylcytosine (5-hmC) antibody (HA601351) at 1/100 dilution in 1% BSA in PBST overnight at 4 ℃. Goat Anti-Mouse IgG H&L (iFluor™ 488, HA1125) was used as the secondary antibody at 1/1,000 dilution. PBS instead of the primary antibody was used as the secondary antibody only control. Nuclear DNA was labelled in blue with DAPI.

beta Tubulin (ET1602-4, red) was stained at 1/100 dilution overnight at +4℃. Goat Anti-Rabbit IgG H&L (iFluor™ 594, HA1122) was used as the secondary antibody at 1/1,000 dilution.
HA601351_6.jpg Fig6: Dot blot analysis of 5-Hydroxymethylcytosine (5-hmC) on different conjugations with Mouse anti-5-Hydroxymethylcytosine (5-hmC) antibody (HA601351) at 1/1,000 dilution. Goat Anti-Mouse IgG - HRP Secondary Antibody (HA1006) at 1/50,000 dilution for 1 hour at room temperature.

Lane 1: Uridine-BSA (negative)
Lane 2: Cytidine-BSA (negative)
Lane 3: 5-Methylcytosine-BSA (negative)
Lane 4: 3-Methylcytosine-BSA (negative)
Lane 5: 5-Hydroxymethylcytidine-BSA (positive)

Proteins loading: 50ng, 10ng, 2ng, 0.4ng;

Blocking and dilution buffer: 5% NFDM/TBST;

Exposure time: 3 minutes; ECL: K1802.
HA601351_7.jpg Fig7: MeDIP was performed using anti-5-hmC antibody (HA601351) or Normal Mouse IgG. The same amount of unmethylated, 5-Methylcytosine (5-mC) or 5-Hydroxymethylcytosine (5-hmC) DNA standard was spiked in 1ug of genomic DNA isolated from HeLa cells as the control. Realtime PCR was then performed to determine the capture of DNA standard as in % of recovery, which is equivalent to one.
Note: All products are “FOR RESEARCH USE ONLY AND ARE NOT INTENDED FOR DIAGNOSTIC OR THERAPEUTIC USE”.