COMP Mouse Monoclonal Antibody [A10H2]
cat.: HA601354
Product Type: Mouse monoclonal IgG1, primary antibodies
Species reactivity: Human, Mouse, Rat
Applications: WB, IHC-P
Clonality: Monoclonal
Clone number: A10H2
Form: Liquid
Storage condition: Shipped at 4℃. Store at +4℃ short term (1-2 weeks). It is recommended to aliquot into single-use upon delivery. Store at -20℃ long term.
Storage buffer: PBS (pH7.4), 0.1% BSA, 40% Glycerol. Preservative: 0.05% Sodium Azide.
Concentration: 1ug/ul
Purification: Protein A affinity purified.
Molecular weight: Predicted band size: 83 kDa
Isotype: IgG1
Immunogen: Synthetic peptide within human COMP aa 321-370.
Positive control: Mouse articular cartilage tissue lysate, Rat articular cartilage tissue lysate, HCT 116 cell lysate, mouse cartilage tissue, rat cartilage tissue.
Subcellular location: Secreted, extracellular space, extracellular matrix.
Recommended Dilutions:
  WB
  IHC-P

1:1,000
1:400
Uniprot #: SwissProt: P49747 Human | Q9R0G6 Mouse | P35444 Rat
Alternative names: cartilage oligomeric matrix protein (pseudoachondroplasia, epiphyseal dysplasia 1, multiple) Cartilage oligomeric matrix protein Cartilage oligomeric matrix protein precursor COMP COMP_HUMAN EDM 1 EDM1 EPD 1 EPD1 Epiphyseal dysplasia 1 Epiphyseal dysplasia 1 multiple Epiphyseal dysplasia multiple 1 MED MGC13181 MGC149768 PSACH pseudoachondroplasia (epiphyseal dysplasia 1, multiple) Pseudoachondroplasia THBS 5 THBS5 Thrombospondin 5 Thrombospondin-5 Thrombospondin5 TSP5
Images
HA601354_1.jpg Fig1: Western blot analysis of COMP on different lysates with Mouse anti-COMP antibody (HA601354) at 1/1,000 dilution.

Lane 1: Mouse articular cartilage tissue lysate (40 µg/Lane)
Lane 2: Mouse liver tissue lysate (negative) (40 µg/Lane)
Lane 3: Rat articular cartilage tissue lysate (40 µg/Lane)
Lane 4: Rat liver tissue lysate (negative) (40 µg/Lane)

Predicted band size: 83 kDa
Observed band size: 100 kDa

Exposure time: 3 minutes; ECL: K1802;
4-20% SDS-PAGE gel.

Proteins were transferred to a PVDF membrane and blocked with 5% NFDM/TBST for 1 hour at room temperature. The primary antibody (HA601354) at 1/1,000 dilution was used in 5% NFDM/TBST at 4℃ overnight. Goat Anti-Mouse IgG - HRP Secondary Antibody (HA1006) at 1/50,000 dilution was used for 1 hour at room temperature.
HA601354_2.jpg Fig2: Western blot analysis of COMP on different lysates with Mouse anti-COMP antibody (HA601354) at 1/1,000 dilution.

Lane 1: HCT 116 cell lysate (15 µg/Lane)
Lane 2: HCT 116 cell lysate (30 µg/Lane)

Predicted band size: 83 kDa
Observed band size: 100 kDa

Exposure time: 3 minute; ECL: K1801;

4-20% SDS-PAGE gel.

Proteins were transferred to a PVDF membrane and blocked with 5% NFDM/TBST for 1 hour at room temperature. The primary antibody (HA601354) at 1/1,000 dilution was used in 5% NFDM/TBST at 4℃ overnight. Goat Anti-Mouse IgG - HRP Secondary Antibody (HA1006) at 1/50,000 dilution was used for 1 hour at room temperature.
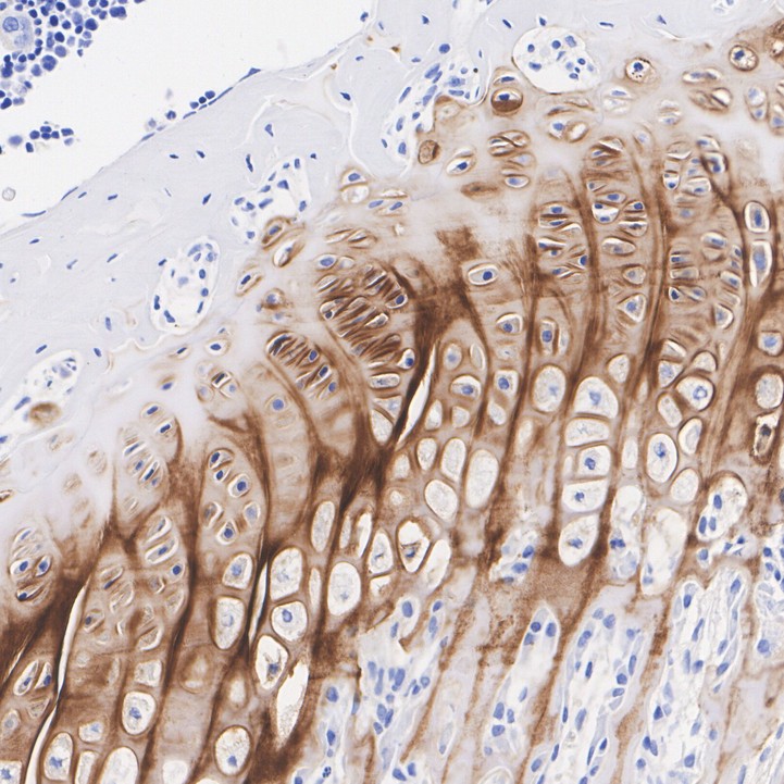
HA601354_3.jpg Fig3: Immunohistochemical analysis of paraffin-embedded mouse cartilage tissue with Mouse anti-COMP antibody (HA601354) at 1/400 dilution.

The section was pre-treated using heat mediated antigen retrieval with sodium citrate buffer (pH 6.0) in water bath overnight. The tissues were blocked in 1% BSA for 20 minutes at room temperature, washed with ddH2O and PBS, and then probed with the primary antibody (HA601354) at 1/400 dilution for 1 hour at room temperature. The detection was performed using an HRP conjugated compact polymer system. DAB was used as the chromogen. Tissues were counterstained with hematoxylin and mounted with DPX.
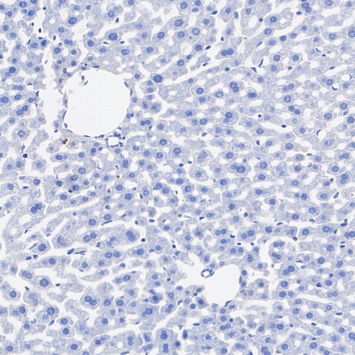
HA601354_4.jpg Fig4: Immunohistochemical analysis of paraffin-embedded mouse liver tissue (negative) with Mouse anti-COMP antibody (HA601354) at 1/100 dilution.

The section was pre-treated using heat mediated antigen retrieval with sodium citrate buffer (pH 6.0) in water bath overnight. The tissues were blocked in 1% BSA for 20 minutes at room temperature, washed with ddH2O and PBS, and then probed with the primary antibody (HA601354) at 1/100 dilution for 1 hour at room temperature. The detection was performed using an HRP conjugated compact polymer system. DAB was used as the chromogen. Tissues were counterstained with hematoxylin and mounted with DPX.
HA601354_5.jpg Fig5: Immunohistochemical analysis of paraffin-embedded rat cartilage tissue with Mouse anti-COMP antibody (HA601354) at 1/400 dilution.

The section was pre-treated using heat mediated antigen retrieval with sodium citrate buffer (pH 6.0) in water bath overnight. The tissues were blocked in 1% BSA for 20 minutes at room temperature, washed with ddH2O and PBS, and then probed with the primary antibody (HA601354) at 1/400 dilution for 1 hour at room temperature. The detection was performed using an HRP conjugated compact polymer system. DAB was used as the chromogen. Tissues were counterstained with hematoxylin and mounted with DPX.
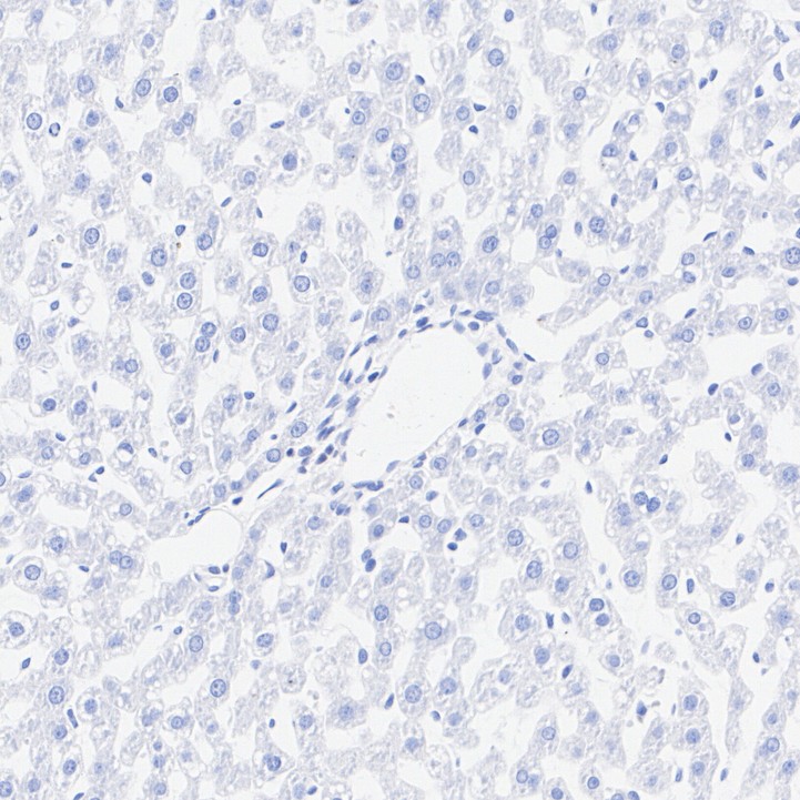
HA601354_6.jpg Fig6: Immunohistochemical analysis of paraffin-embedded rat liver tissue (negative) with Mouse anti-COMP antibody (HA601354) at 1/100 dilution.

The section was pre-treated using heat mediated antigen retrieval with sodium citrate buffer (pH 6.0) in water bath overnight. The tissues were blocked in 1% BSA for 20 minutes at room temperature, washed with ddH2O and PBS, and then probed with the primary antibody (HA601354) at 1/100 dilution for 1 hour at room temperature. The detection was performed using an HRP conjugated compact polymer system. DAB was used as the chromogen. Tissues were counterstained with hematoxylin and mounted with DPX.
Note: All products are “FOR RESEARCH USE ONLY AND ARE NOT INTENDED FOR DIAGNOSTIC OR THERAPEUTIC USE”.