GAD65 Recombinant Antibody [PSH06-80] - Rat IgG1 (Chimeric)
cat.: HA601389
Product Type: Recombinant Chimeric Antibody IgG1, primary antibodies
Species reactivity: Mouse, Rat, Human, Cynomolgus monkey, Pig
Applications: IHC-Fr, IHC-P, WB
Clone number: PSH06-80
Form: Liquid
Storage condition: Shipped at 4℃. Store at +4℃ short term (1-2 weeks). It is recommended to aliquot into single-use upon delivery. Store at -20℃ long term.
Storage buffer: PBS (pH7.4), 0.1% BSA, 40% Glycerol. Preservative: 0.05% Sodium Azide.
Concentration: 1ug/ul
Purification: Protein A affinity purified.
Molecular weight: Predicted band size: 65 kDa
Isotype: IgG1
Immunogen: Recombinant protein.
Positive control: Mouse cerebellum tissue, rat cerebellum tissue, Mouse brain tissue lysate, Rat brain tissue lysate.
Subcellular location: Cytoplasm, cytosol, Cytoplasmic vesicle, Presynaptic cell membrane, Golgi apparatus membrane.
Recommended Dilutions:
  IHC-Fr
  IHC-P
  WB

1:2,000
1:1,000
1:2,000
Uniprot #: SwissProt: P48320 Mouse | Q05683 Rat
Alternative names: 65 kDa glutamic acid decarboxylase DCE 2 DCE2 DCE2_HUMAN GAD 2 GAD 65 GAD-2 GAD-65 Gad2 Glutamate decarboxylase 2 (pancreas) Glutamate Decarboxylase 2 (pancreatic islets and brain 65kDa) Glutamate decarboxylase 2 Glutamate Decarboxylase 65 Glutamate decarboxylase 65 kDa isoform Glutamic Acid Decarboxylase 2 Glutamic Acid Decarboxylase 65 MGC161605 MGC161607
Images
HA601389_1.jpg Fig1: Application: IHC-Fr

Species: Mouse

Site: Cerebellum

Sample: Frozen section

Antibody concentration: 1: 2,000 (GAD65, HA601389, green); 1:2,000 (EAAT1, ET1704-54, red)

Antigen retrieval: Not required
HA601389_2.jpg Fig2: Application: IHC-Fr

Species: Rat

Site: Cerebellum

Sample: Frozen section

Antibody concentration: 1: 2,000 (GAD65, HA601389, green); 1:2,000 (EAAT1, ET1704-54, red)

Antigen retrieval: Not required
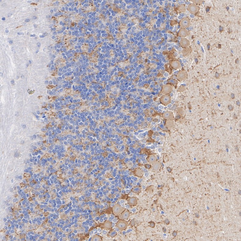
HA601389_3.jpg Fig3: Immunohistochemical analysis of paraffin-embedded mouse cerebellum tissue with Rat anti-GAD65 antibody (HA601389) at 1/1,000 dilution.

The section was pre-treated using heat mediated antigen retrieval with Tris-EDTA buffer (pH 9.0) for 20 minutes. The tissues were blocked in 1% BSA for 20 minutes at room temperature, washed with ddH2O and PBS, and then probed with the primary antibody (HA601389) at 1/1,000 dilution for 1 hour at room temperature. The detection was performed using an HRP conjugated compact polymer system. DAB was used as the chromogen. Tissues were counterstained with hematoxylin and mounted with DPX.
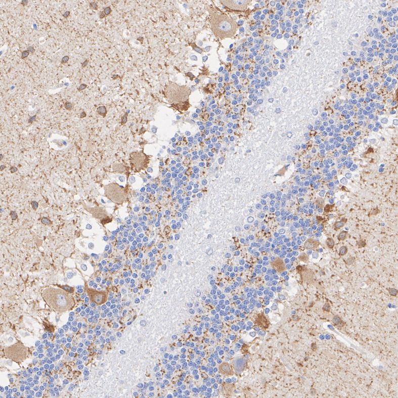
HA601389_4.jpg Fig4: Immunohistochemical analysis of paraffin-embedded rat cerebellum tissue with Rat anti-GAD65 antibody (HA601389) at 1/1,000 dilution.

The section was pre-treated using heat mediated antigen retrieval with Tris-EDTA buffer (pH 9.0) for 20 minutes. The tissues were blocked in 1% BSA for 20 minutes at room temperature, washed with ddH2O and PBS, and then probed with the primary antibody (HA601389) at 1/1,000 dilution for 1 hour at room temperature. The detection was performed using an HRP conjugated compact polymer system. DAB was used as the chromogen. Tissues were counterstained with hematoxylin and mounted with DPX.
HA601389_5.jpg Fig5: Western blot analysis of GAD65 on different lysates with Rat anti-GAD65 antibody (HA601389) at 1/2,000 dilution.

Lane 1: Mouse brain tissue lysate
Lane 2: Rat brain tissue lysate

Lysates/proteins at 20 µg/Lane.

Predicted band size: 65 kDa
Observed band size: 60 kDa

Exposure time: 3 seconds; ECL: K1801;

4-20% SDS-PAGE gel.

Proteins were transferred to a PVDF membrane and blocked with 5% NFDM/TBST for 1 hour at room temperature. The primary antibody (HA601389) at 1/2,000 dilution was used in primary antibody dilution (K1803) at 4℃ overnight. Goat Anti-Rat IgG H&L - HRP Secondary Antibody (HA1023) at 1/5,000 dilution was used for 1 hour at room temperature.
Note: All products are “FOR RESEARCH USE ONLY AND ARE NOT INTENDED FOR DIAGNOSTIC OR THERAPEUTIC USE”.